Save
...
Wrist
Fractures around the Wrist
Scaphoid Fractures
Save
Share
Learn
Content
Leaderboard
Share
Learn
Created by
Hiri P
Visit profile
Cards (2)
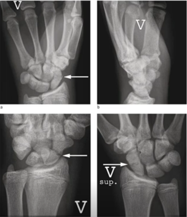
Scaphoid Fractures:
MOI:
high
energy
impact
or
fall
usually occurs in the
younger age
groups up to
20
-
30's
assessment:
painful weightbearing
in
wrist extension
snuff box tenderness
swelling
investigations
CT
scan is usually method of choice
xray
- 4 views
management
has to be
treated
as a
fracture
until proven
otherwise
:
splint
and
rescan
at
2
to
3
weeks
NWB
thermoplastic
splint
,
rescan
at
6
weeks
risk of
non-union
and
avascular necrosis
Scaphoid Fractures
- 4 xray views: