Save
Taphonomy, Trauma and Skeletal Biomechanics
Torture and Abuse
Abuse: Neglect
Save
Share
Learn
Content
Leaderboard
Share
Learn
Created by
holly
Visit profile
Cards (5)
Neglect
•Poor care
•Lack of food/drink
•Lack of
hygiene
•Lack of supervision leading to accidents
•Lack of
medical
and
dental
care
Lack of food
•Kwashiorkor
-Severe lack of
protein
but with sufficient calorie intake
-
Oedema
, irritability,
ulcerating
dermatose, enlarged liver and hair
discolouration
Lack of food
•Marasmus
Lack of
protein
and calories
Emaciated, dehydrated, prone to
infections
and circulatory disorders
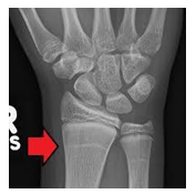
Harris Lines
•Reaction to:
-stress
-
Pathological
-Nutritional
-Emotional
Transverse
sclerotic layers in the
metaphysis
indicating times of reduced growth
Most frequently observed in the ribs and long bones particularly in
tibia
and
distal femur
.
Enamel Hypoplasias
•Poor, thin enamel, can be laid down in lines
•Linked to periods of ill-health and infection
•Have been linked to periods of
starvation