cell cycle

Cards (24)

  • Stages of Cell cycle
    1. Interphase
    2. Mitosis
    3. Cytokinesis
  • during interphase the cell increase in mass and size
  • 3 stages of interphase:
    1. G1 phase
    2. S phase
    3. G2 phase
  • in the S (synthesis) phase DNA replicates
  • in the G1 (growth) phase cells make RNA, enzymes and other proteins required for growth
  • in the G2 phase the cell continues to grow and newly synthesised DNA is checked for damage (mutations)
  • 4 stages of mitosis
    1. Prophase
    2. Metaphase
    3. Anaphase
    4. Telophase
  • during mitosis the cell stops growing
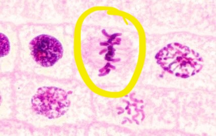
  • Prophase
    1. Chromosomes condense and become visible
    2. Chromosomes contain sister chromatids
    3. Chromatids are held together by centromeres
    4. Nuclear envelope breaks down
  • Metaphase
    1. Sister chromatids line up at the equator of the cell
    2. Spindle fibres attach to the centromeres of each sister chromatid
  • Anaphase
    1. The centromere divides into two
    2. Spindle fibres contract
    3. Each chromatid is pulled to opposite poles of the cell
  • Telophase
    1. Chromatids uncoil (decondense) into chromatin
    2. Nuclear envelope reforms
    3. Spindle fibres break down
  • Cytokinesis
    1. Cytoplasm and Cell membrane divides
    2. two genetically identical daughter cells form
  • Prophase
  • Metaphase
  • Anaphase
  • Telophase
  • Method of preparing a root tip squash (1)
    1. Add 1M of hydrochloric acid to a vial and place the vial in a water bath at 40 degrees
    2. After 5 minutes of incubation, carefully transfer the clove from the vial onto a tile and rinse the clove with distilled water
    3. Use a fixed blade scalpel to cut the last 12 millimetres of the root tip off
    4. Use forceps to transfer two root tips onto the microscope slide, one on each side
  • Method of preparing a root tip squash (2)
    1. Use a mounted needle to macerate the root apart into a thin layer of cells
    2. Add a drop of toluidine blue stain to each root tip and leave for 2 minutes
    3. Place a coverslip on each stained root tip, cover the slide with a paper towel and press firmly but gently to squash the cells
  • why are the roots placed in hydrochloric acid?
    the acid hydrolyses the pectin in the middle lamella therefore...
    1. the stain can diffuse into the cells
    2. the tissue can be squashed into a thin layer
  • why are the roots + acid heated to 40 degrees?
    increases the rate of hydrolysis of the middle lamella
  • why is the root tip used in the practical?
    the root tip contains the meristem tissue, where lots of mitosis occurs
  • why are several root tips used?
    increases the chance that one root tip will survive and provide a good root tip squash
  • why are the root tips placed in the toluidine stain for 2 minutes?
    to make the chromosomes visible and clearly defined