neuron

Cards (17)

  • konwergencja
    wykształcanie zbliżonych przystosowań przez organizmy niespokrewnione, występujące w podobnych siedliskach
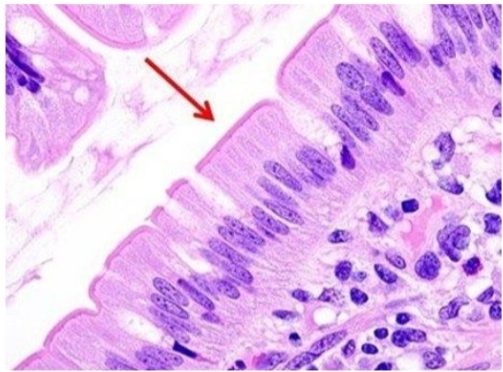
  • podaj pełną nazwę tkanki
    nabłonek jednowarstwowy walcowaty
  • kodominacja
    w fenotypie heterozygot pojawia się każdy z alleli; allele są równorzędne, co oznacza, że nie można wyróżnić wśród nich allelu dominującego i recesywnego
  • epistaza
    zjawisko kiedy jeden gen maskuje efekt działania drugiego genu
    • gen epistatyczny - maskujący
    • gen hipostatyczny - maskowany
  • Kiedy geny są bliżej siebie na tym samym chromosomie, są określane jako sprzężone. To znaczy, że allele, warianty genów, już będące razem na ch
    • Kiedy geny znajdują się na innych chromosomach lub są daleko od siebie na tym samym chromosomie, segregują niezależnie od siebie i nazywane niesprzężonymi.
  • określanie częstości rekombinacji
  • Wyjaśnij, jakie znaczenie dla hibernacji świstaków w okresie zimowym ma fakt zmniejszenia częstotliwości pracy mięśnia sercowego

    pozwala uniknąć wysokiego tempa metabolizmu niezbędnego do utrzymania właściwej temperatury ciała w okresie chłodów, dzięki czemu zwiększona jest tolerancja na niskie temperatury
  • Jakie organizmy wiążą azot atmosferyczny?
    • bakterie z rodzaju Rhizobium lub Azotobacter
    • bakterie brodawkowe
    • bakrerie wiążące N2 z powietrza
    ! Nie można wymienić BAKTERII NITRYFIKACYJNYCH, bo one tylko utleniają związki azotu w glebie, ale go nie wiążą
  • Podaj, jak można opisać odporność nabywatą przez ludzi, którym wprowadzono do organizmu osocze "ozdrowieńców". Podkreśl trzy właściwe stwierdzenia odnoszące się do typów odporności
    • bierna
    • sztuczna
    • swoista
  • Podaj nazwę enzymu, który rozkładając w komorkach H2O2 przyczynia się razem z glutanionem do zmniejszenia stresu oksydacyjnego
    katalaza
  • określ, która siateczka śródplazmatyczna jest odpowiedzialna za unieszkodliwianie substancji jak alkohol etylowy poprzez ich enzymatyczny rozkład
    gładka (sER)
  • która siateczka śródplazmatyczna zwiększa wydajność rekacji poprzez dzielenie cytozolu na kompartmenty o małej obiętości
    obie
  • Uzasadnij słuszność zdania: Chityna jest jednym z polisacharydów najbardziej rozpowszechnionych na kuli ziemskiej. W odpowiedzi uwzględnij chitynę jako składnik organizmów żywych
    Chityna jest jednym z polisacharydów najbardziej rozpowszechnionych na kuli ziemskiej, ponieważ wchodzi w skład pancerzyków stawonogów, które są najliczniejszą grupą zwierząt na Ziemi. Chityna wchodzi w skład ściany komórkowej grzybów
  • Wyjaśnij związek pomiedzy wykształceniem się klatki piersiowej u owodniowców a przystosowaniem tych zwierząt do oszczędzania wody
    Wykształcenie klatki piersiowej u owodniowców spowodowało, że zwierzęta te zaczęły przeprowadzać efektywniejszą wentylację płuc. Dzieki temu owodniowce porzuciły wymianę gazową przez powłoki ciała i mogły wykształcić mniej przepuszczalną skórę, a tym samym zaczęły oszczędzać wodę
  • Podaj możliwą przyczynę zwiększonej przepuszczalności ścian naczyń krwionośnych
    • stan zapalny
    • reakcja alergiczna
  • Wymień rodzaje bodźców ze względu na wywoływaną ich działaniem reakcje. W odpowiedzi uwzględnij efekt, jaki wywołuje bodziec
    Bodziec podprogowy - nie wywołuje polaryzacji
    Bodziec progowy i nadprogowy - wywołuje polaryzację