Examples

Cards (12)

  • Atelectasis:
    • right upper lobe patchy whiteness
    • heart has shifted
    • diaphragm has shifted
  • Interstitial fluid:
    • patchy whiteness on both sides
    • enlarged heart
  • Emphysema:
    • flat diaphragm
    • patchy whiteness
    • presence of bullae with few lung markings
  • Pleural effusion
    • patchy whiteness in right middle lobe
  • Tumour:
    • round white circle
    • left upper lobe
  • Atelectasis:
    • solid whiteness in left lung
    • trachea has shifted
    • heart has shifted
    • no meniscal line
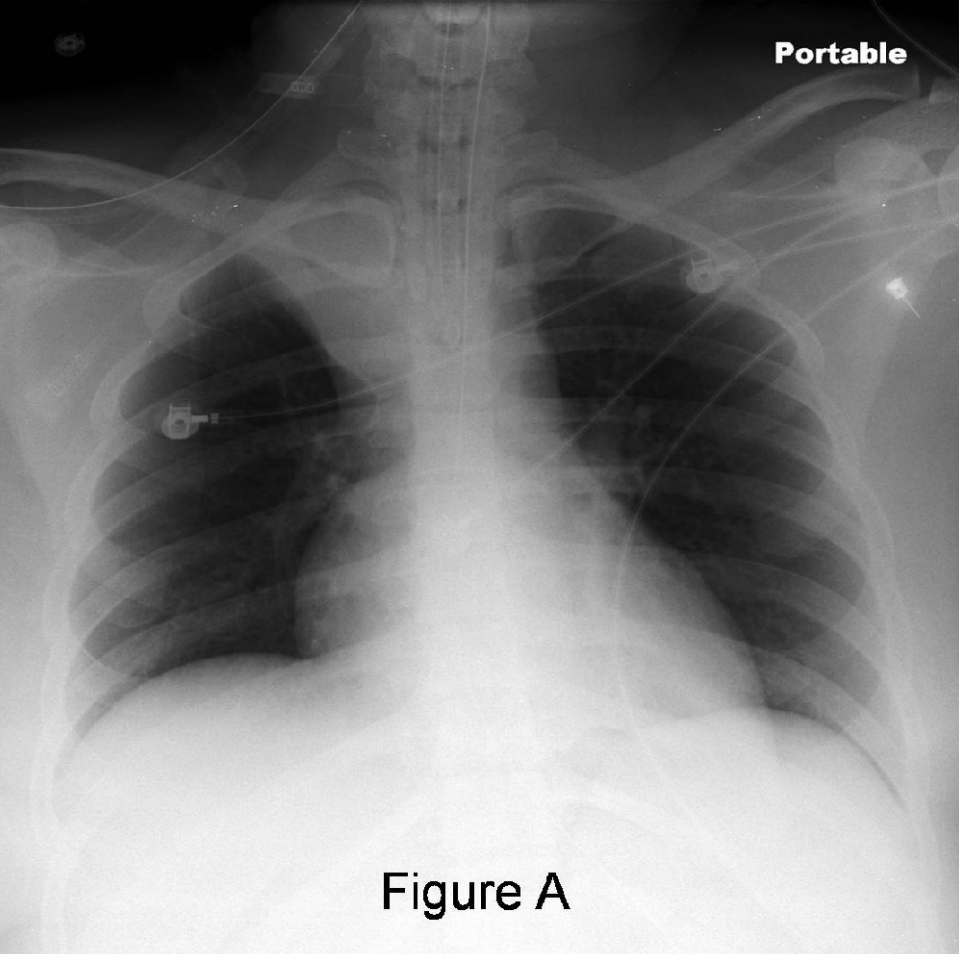
  • Atelectasis
    • solid whiteness on left lung
    • heart has shifted
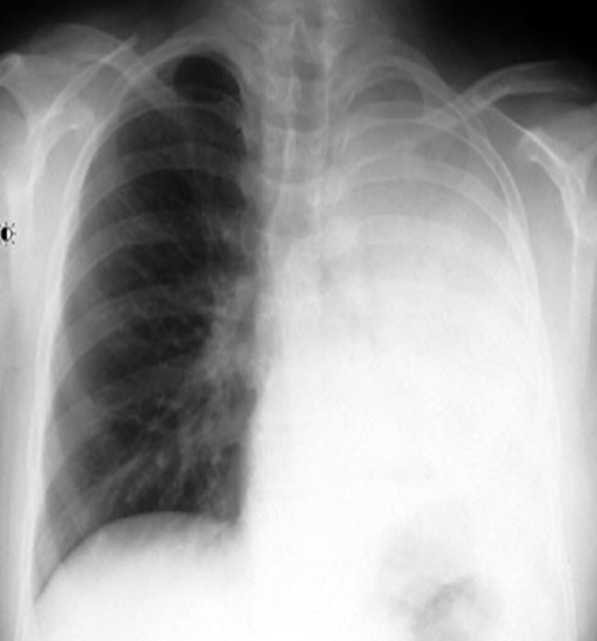
  • Pleural effusion
    • solid whiteness on right lung
    • presence of meniscal line (looks like a U)
  • Pneumothorax
    • blackness
    • no lung markings
    • collapsed lung - line of visceral pleural has shrunk
    • diaphragm is not domed
  • Subcutaneous emphysema
    • air in soft tissue - shown by patchiness
  • Tension Pneumothorax:
    • blackness in left lung
    • shift in mediastina towards right side
    • collapsed lung
    • life threatening - heart cant fill properly
  • interstitial fluid and pulmonary oedema are the same thing