Chest X-Rays

Cards (8)

  • Tissue Density
    the more dense the subject, the more radio-opaque it is
    air/gas is the least dense = black
    fat
    soft tissues + fluids
    bones
    metal implants is the most dense = bright white
  • Systematic Approach to Reviewing Chest X-Rays
    Airways
    Bones
    Cardiac
    Diaphragm
    Exposure
    Fields
    Gadgets
    Hilar
  • Airway
    tracheal alignment
    foreign objects
    does trachea splits properly
  • Bones
    r there 6-8 ribs in lung space (9-10 posterior)
    fractures
    rib crowding
    clavicle rotation
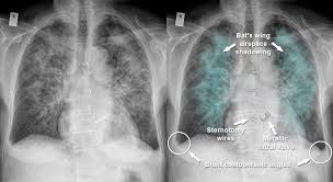
  • Pulmonary Oedema
    excess fluid in lungs caused by decreased cardiac function/heart failure
    bat-wing appearance in imaging
  • ARDS
    rapid onset of widespread inflammation in the lungs
    provoked by an acute injury to the lunfs that results in flooding of the alveoli
    looks like ground glass in imaging
    causes - pneumonia, aspiration, inhalational lung injury, lung contusion, chest trauma, spesis...
  • Arterial Blood Gases
    measures pH of blood, levels of oxygen + carbon dioxide in the blood
    give immediate info regarding electrolytes, Hb + lactate levels
    usually taken from radial artery
    tells about activity in resp + metabolic systems
    if one system is disturbed, the other tries to compensate
    pH is the priority over oxygen, body corrects pH first
  • ABGs - Measures
    pH - measures the balance of acids + bases in blood
    PaO2/CO2 - partial pressure of oxygen/CO2 in blood
    HCO3 (bicarbonate) - calculated using the measured values of pH + PaCO2 to determine amount of basic compound made from CO2
    BE (base excess) - marker for metabolic issues - quantifies the presence of strong acid/ase
    HB, spO2, lactate, glucose, sodium, potassium...