núcleo

Cards (36)

  • ¿Qué tipo de células se mencionan en el estudio del núcleo?

    Fibroblastos de ratón.
  • ¿Cuáles son los colores utilizados para marcar las diferentes estructuras en los fibroblastos de ratón?
    • Verde: F-Actina, FITC
    • Rojo: Tubulina, Cy5
    • Azul: Núcleos, DAPI
  • ¿Cuáles son las estructuras y componentes del núcleo mencionados en el material?
    • Envoltura nuclear
    • Cromatina
    • Núcleo
    • Nucléolo
  • ¿Qué separa la membrana nuclear interna?
    Separa el nucleoplasma del espacio perinuclear.
  • ¿Qué separa la membrana nuclear externa?
    Separa el espacio perinuclear del citoplasma.
  • ¿Qué se encuentra entre las membranas nuclear interna y externa?
    La cisterna perinuclear.
  • ¿Con qué se une la cisterna perinuclear?
    Con el retículo endoplásmico rugoso (RER).
  • ¿Qué son los complejos de poro nuclear?
    Fusión de ambas membranas nucleares.
  • ¿Cuáles son los papeles fisiológicos de la envoltura nuclear?
    • Barrera selectiva para el paso de productos.
    • Organizar los cromosomas mediante interacciones con la lámina nuclear.
    • Organizar su ruptura y reconstrucción durante la mitosis.
  • ¿Qué es la lámina nuclear?
    Proteínas de filamentos intermedios que se ubican en el lado nucleoplasmático.
  • ¿Cuál es la función de la lámina nuclear?
    Proporciona soporte estructural para el núcleo y regula procesos nucleares.
  • ¿Qué procesos nucleares ayuda a regular la lámina nuclear?
    La replicación del ADN, la transcripción y la organización de la cromatina.
  • ¿Qué es el complejo de poro nuclear?
    Una estructura compuesta por 8 subunidades proteicas que rodean un tapón central.
  • ¿Qué tipo de moléculas pueden difundir a través del complejo de poro nuclear?
    Iones y pequeñas moléculas hidrofílicas.
  • ¿Qué tipo de transporte realiza el complejo de poro nuclear para partículas mayores de 9 nm?
    Transporte activo selectivo.
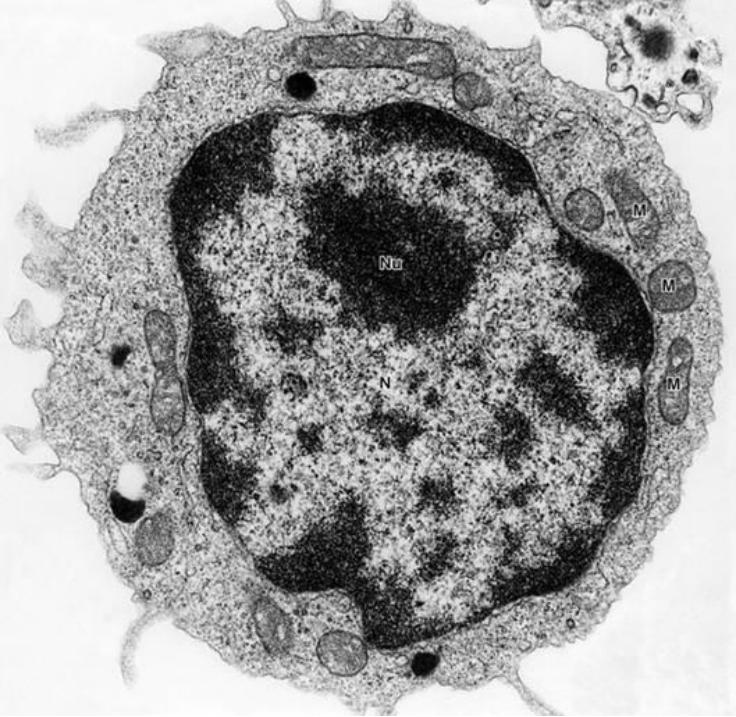
  • ¿Qué es el núcleo celular?
    El núcleo celular es una estructura esencial en las células eucariotas que contiene el material genético (ADN) y controla las actividades celulares.
  • ¿Cuáles son los principales componentes estructurales del núcleo celular?
    Los principales componentes estructurales del núcleo celular son: la envoltura nuclear, la cromatina y el nucleolo.
  • ¿Qué es la envoltura nuclear?
    La envoltura nuclear es una estructura compuesta por dos membranas (la membrana nuclear interna y la membrana nuclear externa) que rodean y delimitan el núcleo celular.
  • ¿Cuáles son las funciones fisiológicas de la envoltura nuclear?
    Las principales funciones fisiológicas de la envoltura nuclear son: 1) Actuar como una barrera selectiva para el paso de moléculas entre el núcleo y el citoplasma, 2) Organizar los cromosomas mediante interacciones con la lámina nuclear, y 3) Organizar la ruptura y reconstrucción de la envoltura nuclear durante la mitosis.
  • ¿Qué es la lámina nuclear?
    La lámina nuclear es una red de proteínas de filamentos intermedios (láminas) que se ubica en el lado nucleoplasmático de la membrana nuclear interna.
  • ¿Cuáles son las funciones de la lámina nuclear?
    Las principales funciones de la lámina nuclear son: 1) Proporcionar soporte estructural al núcleo, y 2) Ayudar a regular procesos nucleares como la replicación del ADN, la transcripción y la organización de la cromatina.
  • ¿Qué es el complejo de poro nuclear?
    El complejo de poro nuclear es una estructura formada por múltiples subunidades proteicas (nucleoporinas) que rodean un poro central y se encuentra incrustada en la envoltura nuclear.
  • ¿Cuáles son las funciones del complejo de poro nuclear?
    Las principales funciones del complejo de poro nuclear son: 1) Permitir la difusión pasiva de iones y pequeñas moléculas hidrofílicas, y 2) Facilitar el transporte activo y selectivo de partículas de mayor tamaño, como proteínas nucleares, ARN y ribonucleoproteínas, entre el núcleo y el citoplasma.
  • ¿Qué es la cromatina?
    La cromatina es el conjunto de ADN, histonas y proteínas no histónicas que se encuentran en el núcleo celular y constituyen el genoma de la célula.
  • ¿Cuáles son los diferentes tipos de cromatina?
    Los diferentes tipos de cromatina son: 1) Eucromatina, que es la forma transcripcionalmente activa y descondensada, y 2) Heterocromatina, que es la forma inactiva y densamente condensada, la cual se divide en heterocromatina constitutiva y heterocromatina facultativa.
  • ¿Qué es el nucleolo?
    El nucleolo es una estructura nuclear que se caracteriza por tener un aspecto alveolar y está formada por ARN, ADN y proteínas.
  • ¿Cuáles son las principales funciones del nucleolo?
    Las principales funciones del nucleolo son: 1) La síntesis, maduración y ensamblaje del ARN ribosómico (ARNr) y 2) El ensamblaje de las subunidades ribosómicas.
  • ¿Cuáles son los principales componentes estructurales del nucleolo?
    Los principales componentes estructurales del nucleolo son: 1) El centro fibrilar, donde se encuentran los genes que codifican para el ARN ribosómico, 2) El componente fibrilar denso, que rodea al centro fibrilar y es el sitio de transcripción activa de los genes de ARN ribosómico, y 3) El componente granular, donde se ensamblan las subunidades ribosómicas.
  • ¿Cuáles son los principales tipos de ARN ribosómico (ARNr) que se sintetizan en el nucleolo?
    Los principales tipos de ARN ribosómico (ARNr) que se sintetizan en el nucleolo son: ARNr 28S, ARNr 18S y ARNr 5.8S.
  • ¿Cómo se lleva a cabo la síntesis de ribosomas en el nucleolo?
    La síntesis de ribosomas en el nucleolo implica: 1) La síntesis del transcrito primario ARNr 45S, 2) La maduración del transcrito primario ARNr 45S, y 3) El ensamblaje de las cuatro moléculas de ARNr (18S, 5.8S, 28S y 5S) junto con más de 80 proteínas ribosómicas para formar las subunidades ribosómicas 40S y 60S.
  • ¿Cuál es la estructura básica de un ribosoma eucariota?
    La estructura básica de un ribosoma eucariota consta de dos subunidades: la subunidad menor 40S, que contiene el ARNr 18S, y la subunidad mayor 60S, que contiene los ARNr 28S, 5.8S y 5S.
  • Si quisieras observar la superficie de una célula para estudiar sus características externas en detalle, ¿qué tipo de microscopio utilizarías?
    Para observar la superficie de una célula en detalle, utilizarías un microscopio electrónico de barrido (SEM).
  • ¿Cómo difiere la función de un microscopio electrónico de barrido (SEM) de un microscopio electrónico de transmisión (TEM)?
    Los microscopios electrónicos de transmisión (TEM) producen imágenes 2D, mientras que los microscopios electrónicos de barrido (SEM) producen imágenes 3D.
  • ¿Cuál es el área de un círculo con radio r=r =5 cm 5\text{ cm}?

    A=A =πr2= \pi r^2 =π(5 cm)2= \pi (5\text{ cm})^2 =25π cm278.54 cm2 25\pi \text{ cm}^2 \approx 78.54 \text{ cm}^2
  • ¿Cuáles son las fortalezas y debilidades de los métodos de investigación cualitativa?
    Fortalezas:
    • Proporciona datos ricos y en profundidad
    • Flexible y adaptable a nueva información
    • Captura fenómenos complejos

    Debilidades:
    • Consume mucho tiempo y es laborioso
    • Potencial de sesgo del investigador
    • Baja generalización
    • Dificultad para replicar resultados
  • ¿Cuál es el límite de resolución de un microscopio óptico?
    0.2 µm