soft tissue pathology

Cards (56)

  • Precursor alpha chains triple helix into procollagen which is then further organised so the fibrils becomes fibres. This structure is then surrounded by fascia forming the subfascicles and fascicle. Finally the tertiary fibre bundle is formed and the tendon is the final product.
  • These graphs show the biomechanics. Stress is the pressure per cross-sectional area, the strain is the amount of deformation of the structure under each unit of stress.
    1. Straightening of tendon crimp
    2. Elastic deformation (this is the ideal section, the deformed tendon bounces back creating movement)
    3. Non-elastic deformation (partial recoil of the structure)
    4. Failure/rupture
  • Some of the factors affecting structural properties…
    • Crimp:
    • Straightens out in the initial phase of tendon loading
    • Distributed differently over the cross section of the tendon in older horses
    • Glycosaminoglycans (GAGs)
    • Important components of the extracellular matrix
    • Cartilage Oligometric Matrix Peptide (COMP)
    • This correlates with the elasticity of the tendon, the higher COMP is , the more elastic the structure
    • Collagen:
    • Size and number of fibrils
    • Collagen types and distribution
  • COMP is expressed excessively in young horses in areas where they need to be elastic. This quickly tapers off, this, therefore, indicates the training window as training for the tendon is the best when COMP is high
  • Clinically important points are…
    • COMP and crimp reduce with age–tendons become less elastic and this affects injury rates
    • Tendons consist of large amounts of extracellular matrix (ECM) and relatively few cells
    • Implications for healing and remodelling (inflammatory markers are not present)
    • Blood supply is poor –particularly within sheaths and bursae which causes a poor recruitment of inflammatory cells
  • The DDFT is a good example of variations in collagen deposition…
    • In the mid metacarpal region, lots of type 1 collagen with elastic properties
    • In the fetlock region, more type 2 collagen which is resistant to compression (but is less elastic)
  • The suspensory ligament is even more varied, evolutionarily the suspensory ligament should be called the interosseous muscle. The proximal end of the ligament still retains some muscle fibres and some fat, this makes ultrasound challenging!
  • The vast majority of SDFT injuries/pathology occur in the mid metacarpal region of the forelimb
    (Occasionally hindlimb pathology is seen, and occasionally disease of the branches close to the insertion onto second phalanx)
  • The vast majority of DDFT injuries/pathology occur within the digital flexor tendon sheath, pastern or within the hoof.
    (Occasionally seen in the mid-metacarpal region in the forelimb alongside severe check ligament injury)
  • The majority of SL injuries/pathology occur at the proximal origin or at the branches of insertion onto the proximal sesamoid bones.
    (Occasionally lesions in the suspensory body are seen but rarely as solitary lesions)
    In the forelimb this presents with an acute unilateral lameness while in the hindlimb it presents as bilateral degenerative disease. This can differ
  • Check ligament injuries are easily palpated in the proximal third of the forelimb metacarpus, usually larger on the lateral side.
    (Hind limb injuries are VERY rare, some horses don’t have a hindlimb check ligament at all!)
  • Some soft tissue injuries are true acute traumatic incidents e.g., interference/overreach injuries. Horses at speed can strike a loaded forelimb with a rapidly protracting hind limb leading to acute damage of a previously normal soft tissue.
    • Often skin lacerations are seen alongside
  • Overreach injuries are not the majority of soft tissue injuries, microdamage is. In many cases microdamage precedes acute injury. An overload event causes a failure of loads of fibres which occurs when a horse has suffered many microdamage's but has remained sound. Sometimes ultrasound can predict this but this is hard to detect clinically so it is hard to sell to clients.
  • tendon can’t remodel indefinitely, but there is probably a window of opportunity to prevent damage. The neonate 0 tp 2 years of age has a large training window where adaptability is higher than injury risk. Training these tendons inadvertently by running in a paddock with other horses is likely the best opportunity to reduce future soft tissue injury.
  • Boots can help to reduce interference injuries, solid boots reduce risk of direct trauma but consider the implications these might have for the physiological heating effect as this can worsen tendon injuries.
  • A SDFT injury is an easy diagnosis by palpation/visual inspection. There is a characteristic “palmar bow” seen to the profile of the tendon
    • Heat, pain, swelling, resentment of palpation
    • After the injury, the immediate events are the inflammatory phase (days). In this phase, anti-inflammatory drugs are helpful for the acute clinical signs.
    • The next phase is the reparative/proliferative phase where fibrosis occurs (Weeks). This phase actually starts before the inflammatory phase is over. You can't trust soundness as an indicator to go back to work at this stage! The body is still trying to repair function
    • The next phase is the remodelling/maturation phase (months-years)
  • In the healthy tendon you have parallel cross-linked fibres, under stress, everything elongates. In comparison, if there is a mature core lesion (which arises after an injury) stress causes elongation of the normal fibres (type III collagen in the core lesion are not elastic) but the core lesion is not very compliant hence, the higher areas of stress are just above and below the scar tissue.
  • If you rehabilitate a horse with a SDFT injury and it goes again, the injury is likely in these areas of higher stress (above and below) while the original mature core lesion looks fine. In some cases you can get a distal or proximal expansion from the core lesion but this is not common.
  • this horse has thickening on the lateral aspect of the limb in the proximal third of the metacarpus. which soft tissue is involved in this injury?
    accessory ligament of the DDFT
  • what is your top differential?
    digital flexor tendon sheath injury
  • which ligament is damaged?
    suspensory ligament
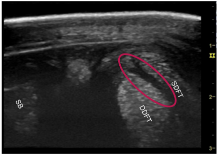
  • which structure is injured?
    manica flexoria due to the fluid between the DDFT and SDFT
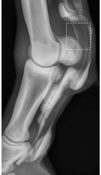
  • does this show a manica flexoria tear or is it normal?
    normal
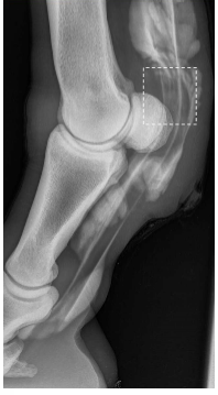
  • does this show a manica flexoria tear or is it normal?
    tear
  • First aid aims to prevent the injury becoming worse and to reduce pain. This is done by…
    • Reducing inflammation
    • Providing stability
    • Reducing tendon loading
  • Treatment in the inflammatory phase involves…
    • NSAIDs
    • IV dose immediately and then an oral course for the next few weeks until the inflammation has resolved
    • Steroid (single IV dose on the first day after injury to reduce the inflammatory cascade e.g., dexamethasone)
    • External support e.g., bandage, splint or cast depending on the severity of the injury
    • The pressure reduces the oedema but also the compression provides some pain relief
    • Cold therapy e.g., 10mins of cold hosing or ice bandages to reduce inflammation
    • This is continued until there is no longer heat in the leg
    • Confinement
  • At the start of the repair phase, intralesional therapies can be implemented (2-3 weeks postinjury). These are only suitable when a hole / space is present, hence they are done for core lesions (hypoechoic circle in the tendon). The therapy is injected into lesion under ultrasound guidance (As if you inject a healthy tendon you will cause stretching of fibres and another injury), in the aim to improve the speed and quality of healing (supra-physiological healing)
  • what are the options for intra-lesional therapy?
    stem cell therapy, platelet rich plasma and bone marrow aspirate concentrate
  • Stem cell therapy involves an autologous graft (taken from the animal being treated) of mesenchymal stem cells collected from bone marrow or fat. These cells are then cultured in the laboratory (3 weeks). They differentiate into tenocytes (or ligament cells) to promote healing. Hence, this is a two-stage procedure (collection and implantation).
    • Expensive but good efficacy.
  • platelet rich plasma involves an autologous graft of platelets suspended in plasma which is collected from blood (from the animal being treated) by filtration or centrifugation. This stimulates angiogenesis (new blood vessel formation), proliferation and differentiation of tissues.
  • bone marrow aspirate concentrate involves an autologous graft of fluid & cells from within bone marrow are collected from the sternum or tuber coxae. This contains mesenchymal stem cells, platelets & growth factors. The fluid is centrifuged to concentrate cells and injected into the lesion under ultrasound guidance.
    • This provides fewer stem cells/platelets than stem cell therapy/PRP but is a single stage procedure.
  • A few tendon and ligament injuries are amenable to surgical treatment, some injuries are known to heal better by surgical management or can be done in cases that have been unexpectantly unresponsive to medical management. Soft tissue injuries within tendon sheaths or joints heal poorly by medical management due to exposure of tendon fibrils to synovial fluid.
    • Exposed fibres are best treated by arthroscopic removal.
    • Constriction / contraction of some structures following injury can be managed by transection.
  • Below are some conditions which are amenable to surgical therapy…
    A) annular
    B) SDFT
    C) manica flexoria tear
    D) DDFT tear
  • The best time to introduce rehabilitation programmes is the end of the inflammatory phase.
    • If rehabilitation starts during the inflammatory phase then the inflammatory phase will be prolonged
  • Increasing exercise intensity goes as follows…
    • Walking in hand or under saddle
    • Trotting under saddle in straight lines (walking around corners)
    • Trotting under saddle on circles and bends
    • Canter work in straight lines (trotting around circles and corners)
    • Canter work on circles and bends
  • Turnout, lunging, loose schooling are uncontrolled exercises which come with a high risk of re-injury. The decision to restart these exercises will depend on temperament.
    • A calm horse with access to small individual paddock can be turned out sooner
    • An anxious horse living in a herd will be kept indoors for longer
    To reduce the risk of re-injury anxiolytic medication can be given to anxious horses (acepromazine, can be safely used medium-long term) but also enrichment (access to stimuli and food) while under box rest.
  • Many modalities to manipulate the injury site exist but the evidence is variable, the below are ordered from a subjected rank from most efficacy to least with current evidence…
    • Extracorporeal shockwave therapy (ESWT)
    • Laser (class 4)
    • Cold/heat treatment
    • Therapeutic ultrasound
    • Pulsed magnetic field therapy
  • The best evidence is for class 4 lasers, the lower classes have some thermal effects. There is good evidence that high power laser can reduce lesion size, increase doppler signal (sign of vascularity), change collagen deposition, improve ultrasound fibre pattern
    • Contraindications for the use of high powered (class 4) lasers are eye exposure, neoplasia and haemorrhage.
    • Probably more logically applied to more superficial structures e.g., suspensory branches and flexor tendons. There are multiple treatments as for ESWT but this is prohibited for use at FEI events
  • Extracorporeal shockwave therapy (ESWT) involves the delivery of high-pressure waves to tissues, probably most focused at the junction between soft tissue and bone (as in this area there is likely amplification) so has a practical application to the proximal suspensory ligament, suspensory branches and thoracolumbar spine
    • Shockwave seems to temporarily improve lameness, but has limited effects on structure and function. It is commonly applied to chronic injuries as part of a management plan but it likely is not effective for acute cases.