P3 and navicular fractures

Cards (13)

  • label the image
    A) navicular bone
    B) flexor tendon sheath
    C) suspensory ligament
    D) superficial flexor tendon
    E) DDFT
    F) extensor tendon
  • Based on your assessment of this fracture, which treatment option would you recommend?

    internal fixation with a screw
  • Clinical signs of P3 and navicular fractures can be difficult, you can’t directly palpate these bones as they are enclosed within the hoof, which means that the fractures are often minimally displaced. Instead, you have to palpate the surrounding structures, any inflammation in the foot results in increased pulse strength or bounding pulses, which can be felt at the site of the palmar digital nerve blocks or the site of the abaxial sesamoid nerve blocks. Heat can also be felt in the hoof or pastern reflecting underlying inflammation.
  • The pedal bone forms part of the distal interphalangeal joint, which has a dorsal component which can be palpated at the front of the coronary band, and the navicular bone is connected to both this joint and the flexor tendon sheath, so can have effusions of either or both these structures.
  • The foot can be palpated indirectly with hoof testers to better identify the site of pain. The clinical signs depend on fracture site and severity…
    • Small extra articular fragments cause low grade lameness with minimal localising signs
    • Significant / complete fractures have an acute onset, severe lameness with localising signs e.g., bounding digital pulses, heat in hoof, positive response to hoof testers)
    • Articular fragments cause distal interphalangeal joint effusion (pedal bone and navicular bone)
    • Tendon involvement leads to digital flexor tendon sheath effusion (navicular bone)
  • The diagnostic approach depends very much on clinical signs and history, an acute onset severe lameness with marked inflammation or effusion would be a flag for an acute fracture and would be imaged first and not blocked.
    • The fractures may not displace because they are held together by the hoof, so some fracture lines are not visible until some bone resorption has occurred, and consider repeat radiographs around 10 to 14 days.
    • Fractures in these sites also often heal with a fibrous union only, and therefore remain as a lucent line, and trying to decide if these are significant unstable fractures, or old healed stable fractures can be difficult
    • Regional nerve blocks or joint blocks may be needed to try and confirm this.
  • A separate osteochondral fragment at the extensor process of the pedal bone may be a recent acute fracture or an old fracture which has healed without a bony union
  • There are some lesions which look like fractures but aren’t, a fragment at the site of the extensor process can have a number of possible causes…
    • Recent fracture
    • Previous fracture, now healed and stabilised with a fibrous union
    • Separate centre of ossification from how the pedal bone develops
    • Dystrophic mineralisation in the extensor tendon
  • The standard foot radiographic series of both feet include…
    • Lateromedial
    • Dorsopalmar
    • Dorsoproximal Palmarodistal 60o oblique centred on pedal bone (upright pedal)
    • Dorsoproximal Palmarodistal 60o oblique centred on navicular bone (upright navicular)
    • Palmaroproximal Palmarodistal 45o oblique (flexor navicular)
    • Plus additional oblique views of the pedal bone..
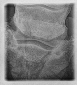
  • what view is this?
    dorsoproximal Palmarodistal 60o oblique
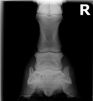
  • what view is this?
    dorsoproximal Palmarodistal 60o oblique (upright navicular)
  • what view is this?
    dorsopalmar