neonatal orthopaedic disease

Cards (49)

  • There are six main orthopaedic diseases to consider in the neonatal foal…
    • Incomplete ossification of cuboidal bones
    • Septic arthritis / physitis/ osteomyelitis (SAPO)
    • Physitis
    • Physeal fracture
    • Angular Limb deformity
    • Flexural deformity
    • The cuboidal bones are found in the carpus and tarsus
    • In the carpus they consist of the radial, intermediate, ulnar, 2nd, 3rd and 4th carpal bones
    • In the tarsus they consist of the central, 2nd, 3rd and 4th tarsal bones
  • The skeleton is formed as a soft cartilage in utero which normally ossifies (mineralises from inside out in the last 2 to 3 months of gestation (months 9 to 11).
  • incomplete ossification of cuboidal bones affects premature / dysmature foals which can be due to placentitis/ colic/ abnormal positioning during gestation.
    • Peri-articular laxity is present at birth which can lead to crushing and damage to cartilage during movement. The bones can suffer irreparable damage if this trauma is maintained / severe
  • to identify incomplete ossification of the cuboidal bones, perform radiography
    • If a foal is born like this they can develop arthritis when they are around 2-3 years old if the management was not sufficient
    • Excess exercise may cause damage to soft cartilages which can lead to joint and limb malformations. Hence, it is important to restrict exercise, place splint limbs if laxity exists and wait for bones to ossify
  • Physitis involves inflammation of the physis (growth plate) at the end of a long bone and can occur anytime until closure of the growth plates
    • Growth phases are active for different lengths in different locations…
    • Distal metacarpus = 4 months
    • Distal radius and tibia = 18-20 months
  • Potential triggers of physitis are…
    • Rapid growth e.g., during specific growth phases (which is different for different growth plates) or in periods of increased feed intake
    • Trauma to the physis (a type 5 Salter-Harris injury may be implicated)
    • Indirectly through exercise i.e. running after the mare too much
    • Indirectly through severe contra-lateral limb lameness (increased weight bearing in non-lame limb)
    • Directly through external injury
    • Genetic predisposition
  • Clinical signs of physitis include heat, swelling, pain on palpation and possibly lameness. This condition is commonly bilateral and occurs in the forelimbs. Radiographs will show widening, sclerosis and periosteal new bone with bridging
    • Risk of angular limb deformities (ALD)
    • Treatment involves exercise restriction, analgesia (meloxicam is preferred with omeprazole due to the gastric ulcer risk) and correction of the underlying cause e.g., diet restriction
    • Distal metacarpus physitis is commonly seen in 3 to 6 month old foals while distal radius physitis is more common in yearlings
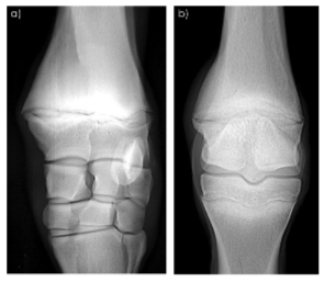
  • what condition can be seen on this image?
    physitis
  • type II fractures are the most common and are often due to being trodden on. They can be treated with either conservative or surgical management
    • Conservative management = cast coaptation confinement
    • Surgical correction = internal fixation
    • Damage to physis creates risk of growth deformities e.g., ALD or flexural deformity
  • angular limb deformities = Deviation from the long axis of the limb in the frontal plane, observed when foal viewed from in front or behind
  • label the image
    A) valgus
    B) varus
  • angular limb deformities are described according to:
    1. Direction of deviation – valgus or varus
    2. Centre of deviation – fetlock / carpus / tarsus etc
    3. Severity – angle of deviation
  • Angular limb deformities are either congenital or acquired…
    • Congenital–present from birth
    • Periarticular laxity, the bone sin the joint is normal but the soft tissues are not e.g. the collateral ligaments. This means the joints can be moved from side to side via palpation
    • Incomplete ossification of cuboidal bones (this is also flexible so you can make the leg appear straight)
    • Uterine malpositioning (can't straighten or manipulate the deformity)
    • Acquired –asymmetrical growth across physis
    • Physitis
    • Direct trauma
  • Some cases of angular limb deformities may walk normally in a straight line but may not intermittently
  • A persistent ulna causes an anchor on the lateral aspect of the limb preventing growth.
    • This is common in Shetlands and miniature horses
  • what is the yellow arrow pointing to?
    a persistent ulna
  • Surgical treatment can be done in angular limb deformity cases that meet the following criteria…
    • Severe deformity
    • Conservative treatment failed
    • When approaching age of physeal growth cessation
    • Distal metacarpus/tarsus = 4 months
    • Distal radius / tibia = 18 months
    • Persistent ulna (Usually in miniature horses)
    • Osteotomy to cut the ulna is the recommended treatment
  • Conservative treatment of angular limb deformities involves…
    A) box rest
    B) rest with controlled exercise
    C) valgus
    D) varus
  • growth retardation aims to inhibit growth on the long side of the limb (with an angular limb deformity) by the use of screws and wire (often done in the distal radius) or a transphyseal screw (often done in the distal metacarpals) in the transphyseal bridge. If this is left in too long, the deviation will over correct so regular re-evaluation is required (approx. every 2 weeks).
    • The implant should be removed when the limb is almost straight (85-95% straight) as straightening will continue a bit once implants removed.
  • growth acceleration involves a periosteal strip in the periosteum on the short side of the limb. This should be transected transversely to ‘release’ the limb to grow faster
    • Lack of evidence of efficacy for angular limb deformities
  • flexural limb deformities are named according to the joint involved and occur in the sagittal plane. They are commonly bilateral, in the forelimbs and best assessed by viewing from the side.
  • congenital hyperextension (flexural limb deformity) is common and usually presents in the distal limb (fetlock and phalangeal joints). In these cases, the toe is elevated and palmar/plantar fetlock is sunken due to flaccidity of flexor muscles after birth.
  • congenital hyperextension (a flexural limb deformity) usually self corrects within a few weeks so management involves confining the foal to a small grass pen (firm flooring with minimal exercise). Skin abrasions may occur in severe cases on the palmar/plantar fetlock so protect it with bandages.
    • Glue on heel extension shoes may be required if spontaneous correction doesn’t occur
  • congenital hyperflexion (a flexural limb deformity) occurs at the coffin, pastern, fetlock, carpal or tarsal joints. This can cause dystocia in the mare and may even prevent the foal from standing
  • congenital hyperflexion (a flexural limb deformity) is commonly corrected with medical treatment which involves…
    • Light exercise until it spontaneously resolves in a few days
    • 3g oxytetracycline in 500ml saline slow IV within a few days of birth (usually within 48 hours but definitely within a week)
    • Toe extensions and heel reduction to stretches musculotendinous unit during weight bearing and hence encourages correction
    • + NSAIDs (and omeprazole due to the gastric ulcer risk) are given
    • Splints or casts - alternative to toe extensions and heel reductions
  • oxytetracycline is used in congenital hyperflexion as it inhibits tractional structuring of collagen fibrils so tendons and ligaments are more susceptible to elongation during normal weight bearing.
    • it is not being used as antimicrobial
  • Pain causes flexion withdrawal reflex and subsequent muscle contraction (proximal to the pain), which leads to an acquired hyperflexion. This can occur due to…
    • Rapid bone growth with tendons unable to keep up leading to functional shortening of tendons and the resulting tension in the tendon is painful
    • Specific injury e.g. osteochondrosis, fracture, septic arthritis, foot abscess
  • Coffin joint contracture (club foot) = acquired hyperflexion = flexural limb deformity
  • Coffin joint contracture occurs at 1 to 4 months old as this is when the metacarpal/ tarsal bones are growing rapidly causing a functional shortening of DDFT (as the DDFT can't grow as the same speed).
    • Stage 1 is when the dorsal hoof wall has not past vertical, these cases have a good prognosis
    • Stage 2 is when the dorsal hoof wall has progressed past vertical, these cases have a guarded prognosis
  • Medical management is only suitable for Coffin joint contracture cases that are stage one and involves…
    • Toe extensions and heel reduction to stretch the DDFT musculotendinous unit during weight bearing.
    • NSAIDs (and omeprazole due to the gastric ulcer risk).
    • Reducing the foals growth rate by reducing nutrition
    • Reduce feed to foal and mare
    • Early weaning if possible - if this is done the mare does not need a feed reduction
    • Address other causes of pain
  • Surgical management techniques are performed in addition to medical therapies in cases of coffin joint contracture
    A) desmotomy
    B) accessory
    C) proximal
    D) good
    E) tenotomy
    F) DDFT
  • Fetlock joint contracture = acquired hyperflexion = flexural limb deformity
  • Fetlock joint contracture occurs at 10 to 18months old as this is where the radius / tibia is growing rapidly which causes functional shortening of SDFT and suspensory ligament (as their growth can't keep up)
    • Stage 1: Fetlock is upright but remains behind vertical
    • Stage 2: Fetlock positioned in front of vertical, but can move behind vertical during weight bearing.
    • Stage 3: Fetlock positioned in front of vertical always.
  • Medical management alone is only suitable for stage one fetlock contracture and involves…
    • Toe extensions to increase tendon strength
    • NSAIDs (and omeprazole due to the gastric ulcer risk).
    • Reducing the foals growth rate by reducing nutrition
    • Reduce feed to foal and mare
    • Early weaning - if at the correct age
    • Splint to force fetlock into extension
    • Address other causes of pain
  • Surgical management is performed in addition to medical therapies in cases of fetlock joint contracture. Careful palpation under GA. with limb in full extension reveals which structure(s) is causing contracture (while also helping to identify severity) and hence guides the procedure
    A) accessory
    B) SDFT
    C) accessory
    D) DDFT
    E) desmotomy
  • Which of the following abnormalities is associated with an increased risk of SAPO (septic arthritis, physitis and osteomyelitis) in a 7-day old foal -Fetlock joint laxity, Patent urachus, Dysmaturity, plasma IgG concentration of 800mg/dL or omphalophlebitis?
    omphalophlebitis
  • Omphalophlebitis or inflammation of the umbilical vein is usually associated with bacterial infection, providing a source of haematogenous bacterial spread