Cards (14)

  • Types of Fracture
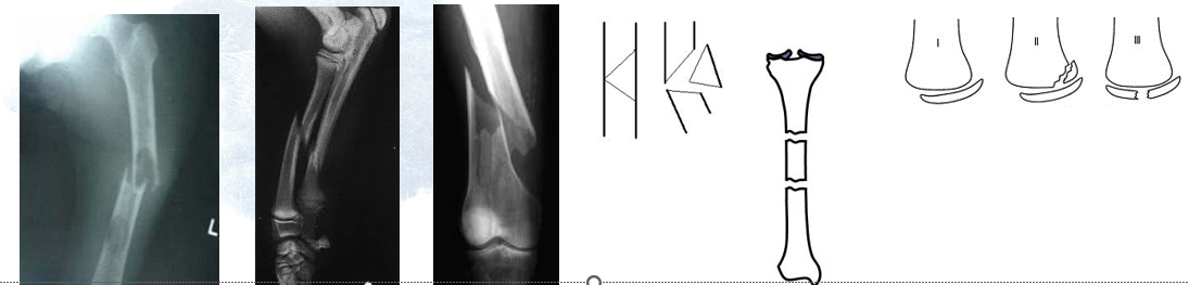
    –Incomplete
    •Bow fracture (plastic deformation) – compression  bend to bone (juvenile) result of micro fractures
    •Bone bruise (occult intraosseous fracture) – visible  radiographically – compression micro fractures
    •Torus or buckling fracture –unilateral buckling of  cortex
    •Greenstick fracture – incomplete transverse  fracture
    •Toddler’s fracture – incomplete spiral or oblique  fracture
    •Vertical fracture – fracture along long axis -  compressive
    •Depressed fracture – inward pointing defect -  compressive
  • Fracture Types
    Complete
    –Transverse – crosses diaphysis at  right angles to long axis
    –Oblique – crosses diaphysis at 45  degree angle
    –Spiral – due to excessive torsion –  fracture spirals up long axis
    –Comminuted – break resulting in  production of more than two pieces
    •Butterfly – wedge of bone separates  from fractured ends
    •Segmental -  three segments
    –Epiphyseal – occurs at ends of long  bones, can separate epiphysis from  diaphyseal metaphysis
  • Directionality of Fracture
    •Blunt force injuries can be examined in terms of  tension/compression for directionality of fracture
    •Bone is stronger in compression than tension
    •Bone usually fails under tension (some unique  circumstances)
    •These simple principles often allow for fracture  directionality to be determined.
    –Butterfly fracture example
    •Compression at site of impact, tension occurs at opposite  side. Bone fails under tension. Fragment sheers towards  impact site
  • Skull Fracture Types
    Linear
    Diastic
    Depressed
    Stellate
  • Effects of Blunt Force Instruments
    Skull
    •The vault passes through several phases when a blunt force of sufficient magnitude is applied to  the skull
    •First phase: in-bending at impact site with concomitant out-bending surrounding the impact site
    •Second phase: fracture lines begin at various points on the out-bent surface and progress inward to  impact site and outward where they form radiating fracture lines
    –If force has not been dissipated by these events the lines continue outwardly, causing the formation of  wedge shaped pieces of bone
  • Effects of Blunt Force Instruments
    Skull
    •Third phase: If force is sufficient to penetrate the vault, concentric fractures occur around the area  of impact as the tips of the wedge shaped pieces are forced inwards
    –Fractures occur from the outer table to the inner table angling away from the point of impact (Hoop  fractures)
  • Skull: Bone strength
    A:  Elastic bone deforms inwardly at the point of impact
    –Outer table under compression, inner table under tension
    –Bone fails more readily under tension fractures begin on  inner surface of the point of impact and radiate out
    B:  Brittle bone differs – with sufficient force both tables are fractured
    –Drives plug of bone into vault
  • Skull: Bone strength
    C:  When trabecular bone is brittle or weak the diploe will   crush under force
    –Depressed fracture
    D:  If inner table is weaker than outer table, tensional  forces   will cause the inner table to fracture
    –Inner table should always be analysed even when no  evidence of external fracturing.
    Must look at inside as in cases A and D there may be very little damage on the outer surface.
  • Facial Fracturing
    •Blunt forces are guided by facial buttresses
    –Alveolar ridge, Malar eminences, Nasofrontal process of the maxilla
    •The position of these buttresses explains the pattern  of facial fracturing that can occur
  • Facial Fracturing
    •LeFort fractures
    –LeFort I – separation of the alveolar part of the maxilla from  the rest of the viscerocranium
    •Results from blow to face from front or side
    –LeFort II – separation of the mid-face from the rest of the  viscerocranium
    •Results from a blow to the anterior mid-face
    –LeFort III – separation of the entire viscerocranium from the  neurocranium
    •Result of a blow to the upper face
  • Ring Fracture
    •Caused by skull being forced down onto the vertebral  column
    –Fall onto head from height
    –Fall onto locked legs or buttocks
    •Fracture begins at posterior occipital and progresses  anteriorly
    –Mild force only affects occipital
    –Severe force results in complete ring fracture
  • Other Cranial Blunt Force Trauma
    •Mandible
    –Order of fracture
    •Body – angle – condyles – symphysis –  ascending ramus – coronoid process –  temporal bone fracture
    •Zygomatic
    –Sutural fractures
    –Zygomatic arch fracture
    •Ususally three fractures occur
    •One at focus of blow, one anterior and  one posterior to blow
  • Long Bone Blunt Force Trauma
    •Blunt force trauma usually delivers  compressive and bending forces to long  bones
    •Usually results in complete, simple  fractures without fracture lines
    •Exception is greenstick fractures observed  in subadults
    •Comminuted fractures can occur when  force is sufficient to shatter thick long  bone cortex
    –  Butterfly fracture common in  car/pedestrian collisions
  • Blunt Force Trauma to Other Bones
    •Ribs
    –Can break anywhere along body but prone to break at anterior ends
    –Anterior or lateral blows
    –Break at right angles to long axis when viewed externally
    –When viewed superiorly or inferiorly they are observed to break from outside to inside
    •Vertebrae
    –Simple fractures of transverse or spinous processes
    •Pelvis
    –Ischiopubic ramii
    –Iliac crest
    •Scapula
    –Separation of glenoid
    –Fracture of coracoid