Cards (9)

  • Fractures
    •Can be occult and may  only be identified after callus  formation
    •Can be difficult to  identify if cause is inflicted or accidental
    •Use of imaging can assist  identification
    •Most abuse fractures  occur in children under 18 months
  • Fractures
    •Do the injuries  (placement and  severity) fit with the  explanation?
    •Are the injuries  consistent with the  developmental stage of  the child?
    •Are there multiple  injuries with different  timings?
  • Fractures
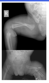
    •Multiple fractures are more common after physical abuse than after non-abusive traumatic injury
    •A child with rib fractures has a 7 in 10 chance of having been abused
    •A child with a femoral fracture has a 1 in 3-4 chance of having been abused
    •Femoral fractures resulting from abuse are more commonly seen in  children who are not yet walking
    •A child aged under 3 with a humeral fracture has a 1 in 2 chance of having  been abused
  • Fractures
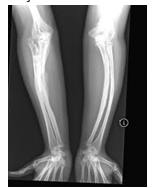
    •Mid-shaft fractures of the humerus are more common in abuse than in  non-abuse, whereas supracondylar fractures are more likely to have non-  abusive causes
    •An infant or toddler with a skull fracture has a 1 in 3 chance of having been  abused
    •Parietal and linear skull fractures are the most common type of skull fracture  seen in abuse and non-abuse
    •No clear difference exists in the distribution of complex skull fractures  between the two groups
  • Rib fractures
    •Multiple
    •Often at different stages  of healing or become re-fractured
    •Method of injury gives a pattern of damage
  • Bucket handle fractures
    Metaphyseal fractures
    Corner fractures
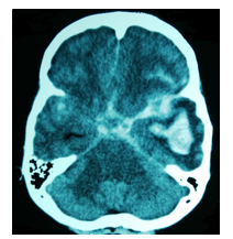
  • Skull fractures
    •High likelihood of  subdural/subarachnoid  haematomas
    •More likely to have  multiple subdural  haematomas of  different ages
    •More extensive retinal haemorrhages
  • Identification of fractures
    • Skeletal survey-radiographic AND CT scan
    • If child is living this should be  repeated in a couple of weeks.
    • Bone scintigraphy (nuclear medicine  scan) can also be considered –  intravenous  radiopharmaceuticals
    • The forensic anthropologist needs to  be aware that it can be difficult to  identify fractures
  • Any investigation
    •Should ensure that  there is no underlying  health problem-disease,  osteogenesis imperfecta  etc.
    •Differential diagnosis-  could trauma have an  accidental explanation?
    •Disagreements on the so called SBS (shaken baby  syndrome) triad of injuries-subdural haematomaretinal haemorrhage, cerebral oedema