Save
...
1st sem
HISTOLEC FINALS
12
Save
Share
Learn
Content
Leaderboard
Share
Learn
Created by
aaaa
Visit profile
Cards (84)
What is the main function of the lymphatic system?
Return
lymph from tissues to bloodstream
View source
How does the lymphatic system relate to the circulatory system?
It complements the functions of the
bloodstream
View source
What does the lymphatic system regulate in the body?
Balance of fluids
View source
What does the lymphatic system filter from the blood?
Pathogens
View source
What begins the lymphatic system?
Lymphatic capillary meshwork
View source
What does lymph travel through to reach the bloodstream?
Larger lymph
vessels
View source
What do lymphoid organs contain that monitors incoming lymph?
Immune cells
View source
What is lymph?
Clear
,
yellowish
fluid in
tissues
View source
How is lymph created?
Filtration of
plasma
through
capillary
walls
View source
What percentage of interstitial fluid becomes lymph?
About 10%
View source
What varies in lymph composition?
Location
of lymph production
View source
What are lacteals?
Special
lymphatic
capillaries absorbing nutrients
View source
What are lymphatic capillaries?
Smallest
lymphatic
vessels
collecting
interstitial fluid
View source
How are lymphatic vessels categorized?
Superficial
and
deep
lymphatic vessels
View source
Where are superficial lymphatic vessels located?
In the
subcutaneous layer
of the skin
View source
What do deep lymphatic vessels carry lymph from?
Internal organs
View source
What assists lymph flow in deep lymphatic vessels?
Pulsation of
arteries
and skeletal muscle
contractions
View source
What are the four pairs of lymphatic trunks?
Lumbar
,
bronchomediastinal
,
subclavian
,
jugular
View source
What is the function of valves in lymphatic vessels?
Promote
unidirectional flow
of lymph
View source
What do afferent lymphatic vessels do?
Bring lymph to the
lymph node
View source
What happens when foreign particles are detected in lymph?
Immune response
is initiated
View source
What are lymphocytes?
Main
immune
cells in the body
View source
Where do lymphocytes arise from?
Stem cells
in
primary lymphoid organs
View source
What are the three major groups of lymphocytes?
B lymphocytes
,
T lymphocytes
,
NK cells
View source
What do B lymphocytes do?
Produce
antibodies
to destroy
antigens
View source
What is the role of T lymphocytes and NK cells?
Directly kill
infected
or cancerous cells
View source
What are the primary lymphoid organs?
Bone marrow
and
thymus
View source
What happens to T cells after they arise from stem cells?
They travel to the
thymus
for differentiation
View source
What is antigen-dependent activation?
Final maturation process of
lymphocytes
View source
What is bone marrow responsible for?
Production of
blood cells
View source
What are the two types of bone marrow?
Red marrow
and
yellow marrow
View source
Where is red marrow most abundant?
In all skeletal structures until age
5
View source
What supports the cells in bone marrow?
Reticulin
, a type III
collagen
View source
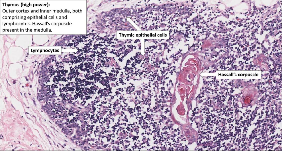
What is the thymus?
Encapsulated
primary lymphoid organ
View source
What is hematopoiesis?
Process of
blood cell
production
View source
What are the regions of the thymus?
Subcapsular cortical
, cortical, medullary
View source
What characterizes the cortex of the thymus?
Darker region with more
T-lymphocytes
View source
What are thymic epithelial cells?
Endodermal derivatives that differentiate in
thymus
View source
What do cytoreticular cells do in the thymus?
Present
antigens
and release
cytokines
View source
What forms the corticomedullary barrier?
Inner layer of squamous
cortical thymic epithelial cells
View source
See all 84 cards