Cells of the immune system

Cards (68)

  • What is the role of natural killer cells?
    • They kill tumor and virus-infected cells
    • lack T and B cell receptors - part of innate immune system
    cytotoxic cells containing granules filled with potent chemicals and kill on contact- binds to target and kills it. - plays a role in rejection and destruction of tumour cells and cells infected by viruses.
  • What is the function of interleukins?
    They are cytokines that mediate immune responses
  • What happens if IL-2 is blocked?

    T cell proliferation/ activation is blocked
  • What does IFN-y do?
    Activates macrophages and MHC class 1 and 2
    produced by T cells
  • What is the role of IL-4?

    Activates B cells
    produced by Th2 cells,
    causes growth and survival of T cells
  • What are the types of effector T cells and their functions?
    • CD8 cytotoxic Killer T cells: Kill virus-infected cells
    • CD4 Th1 cells-: Activate infected macrophages and assist B cells for antibody production
    • CD4 T cells: Help in antibody production and switching to IgE
    • CD4 regulatory T cells: Suppress T-cell responses
  • What is the significance of the Major Histocompatibility Complex (MHC)?

    • Binds fragments of antigens
    • Presents them to T cells
    • Essential for T cell activation
  • What is the role of macrophages in the immune response?
    • Recognize and engulf pathogens
    • Present antigens to T cells
    • Release cytokines to recruit other immune cells
    • express toll like receptors (TLRs) that recognise different aspects of microbes
  • What are the main components of the immune system?
    • B cells: Produce antibodies
    • T cells: Help and kill infected cells
    • Cytokines: Mediate communication between cells
    • Phagocytes: Ingest and destroy pathogens
  • What are the consequences of a weakened immune system?
    • Increased susceptibility to infections
    • Reduced ability to fight off pathogens
    • Potential for uncontrolled cell growth (cancer)
  • How do T cells recognize antigens?

    • Through T cell receptors (TCR) - recognises fragments of antigen associated with MHC glycoproteins on neighbouring cells
    • TCR binds to antigen-MHC complexes - bind fragments of antigen after it has been subjected to antigen processing.
    • Essential for T cell activation
  • What are cytokines?

    Soluble factors secreted by cells of immune system- T,B cells and macrophages.
    • many cytokines are known as interleukins
  • cytokines funciton 

    • encourage cell growth, cell activation, direct cellular traffic and destroy target cells
    • serve as messenger between WBC or leukocytes.
    • bind to specific receptors on target cells - leads to recruitment of other cells and substances to site of infection.
  • What does IL-2 do?

    Important for T cells to proliferate and grow.
  • Function of CD8 cytotoxic T cells

    Kill virus infected cells - rabies, influenza
  • function of CD4 Th1 cells 

    activate infected macrophages provide help to B cells for antibody production,
    helper T cell
  • function of CD4 Th2 cells

    provide help to B cells for antibody production especially switching to IgE
  • what happens without CD4
    weakened immune system n- no antibodies produced due to lack of B cell help
  • lymphocytes?
    cells with distinct receptors for specific antigens with a varying affinity.
    cell with the highest affinity for the most abundant antigen in the system will generate more of itself - clonal expansion - antigen driven
    • part of adaptive immune system
  • where are T cells produced
    stem cells migrate to the thymus where they become T cells - Only blood cell not made in the bone marrow
  • clonal expansion
    Each receptor is created through the epitope - antigen which might never have been in the body)
    • if an antigen with that epitope should enter the body those lympocytes with the corresponding receptor will bind to it. These few lymphocytes will then expand and give rise to effector and memory cells - acquired adaptive immunity
    • memory cells recognise the same antigen in the future
  • what are B cells
    secrete antibodies - a soluble substance
    • produced in the bone marrow
    • when a B cell encounters a triggering antigen they produce plasma cells which will then produce the specific antibody.
    • see antigen in its original unaltered form.
  • what are T cells 

    • made in the thymus
    • do not make antibodies - have a TCR that recognises fragments in association with MHC
  • mononuclear phagocytes
    • white blood cells
    granulocytes
    • neutrophils
    • eosinophils
    • basophils
  • what do mononuclear phagocytes do?

    take up particular antigens, pieces of tissue, senescent cells and bacteria by phagocytosis.
    • these are cells of the Reticulo-endothelial system (RES).
  • toll like receptor types-bacteria recognising
    bacteria recognising -
    • TLR2 - peptidoglycan
    • TLR4- lipopolysaccharide (LPS)
    • TLR5- flagellin
    • TLR9- CpG DNA - some viral components
  • scavenger receptors
    • recognise carbohydrate moietes often found in fungi and bacteria
    • scavenger receptor A - modified LDL and LPS
  • Mannose receptor
    • MMR -carbohydrates -dextron
    • CD205 - dec-205-?
  • toll like receptors
    when there I engagement of a receptor with a microbe - causes phagocytosis and the releasing of soluble factors- brings other WBCs ad antibodies to scene
  • monocyte properties
    • front line defence -recognise bacteria and viral proteins
    • can act as antigen presenting cells (APC) for T cell
    • activated by T cell cytokines and inflammatory mediators
    • monocytes and all phagocytic cells have receptors for antibodies and complement- these cells bind immune complexes
    • act as scavengers for cell Debris + senescent cels - important in apoptosis
  • Neutrophils - granulocytes
    • part of innate immune system also known as polymophonuclear leukocytes- express receptors for immunoglobulin and complement and involved in the acute inflammatory response
  • Eosinophils- granulocytes
    • carry receptors for IgE and are involved in the destruction of IgE coated parasites -helminths,
    • involved in allergic response - contain histamine
  • basophils - granulocytes
    • are the circulating counterpart of tissue mast cells. express high affinity receptors for IgE and are stimulated to secrete the chemicals responsible for immediate hypersensitivity following antigen induced aggregation of these receptors
    • plays a small role in allergic response
  • dendritic cells (DC) function 

    • another group of phagocytic cells that reside in skin tissue and migrate to lymph node
    • antigen taken up by immature DC - migrate to nearest lymph node as mature DC and generate an immune response
    • lead to activation of T cells
  • stem cell differentiation to produce blood celslow

    produces all blood cells
    • can self renew or differentiate into different cell types
    • the pathway of differentiation the stem cell takes is related to the physiological condition of the individual soluble factors produced.
    • during an infection stem cells can differentiate to produce more B cells to produce antigens to fight this.
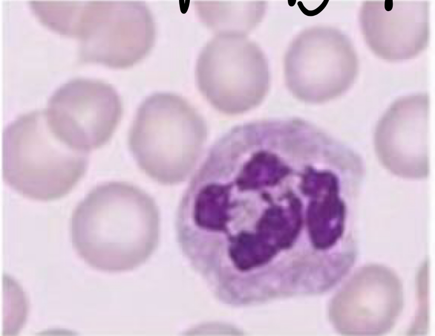
  • What cell is this?
    Neutrophil -polymorph
  • what cell is this?
    Eosinophil
  • What cell is this?
    basophil
    Rare in RBC smear
    Full of granules
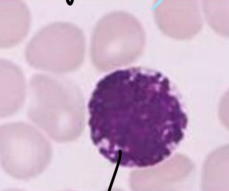
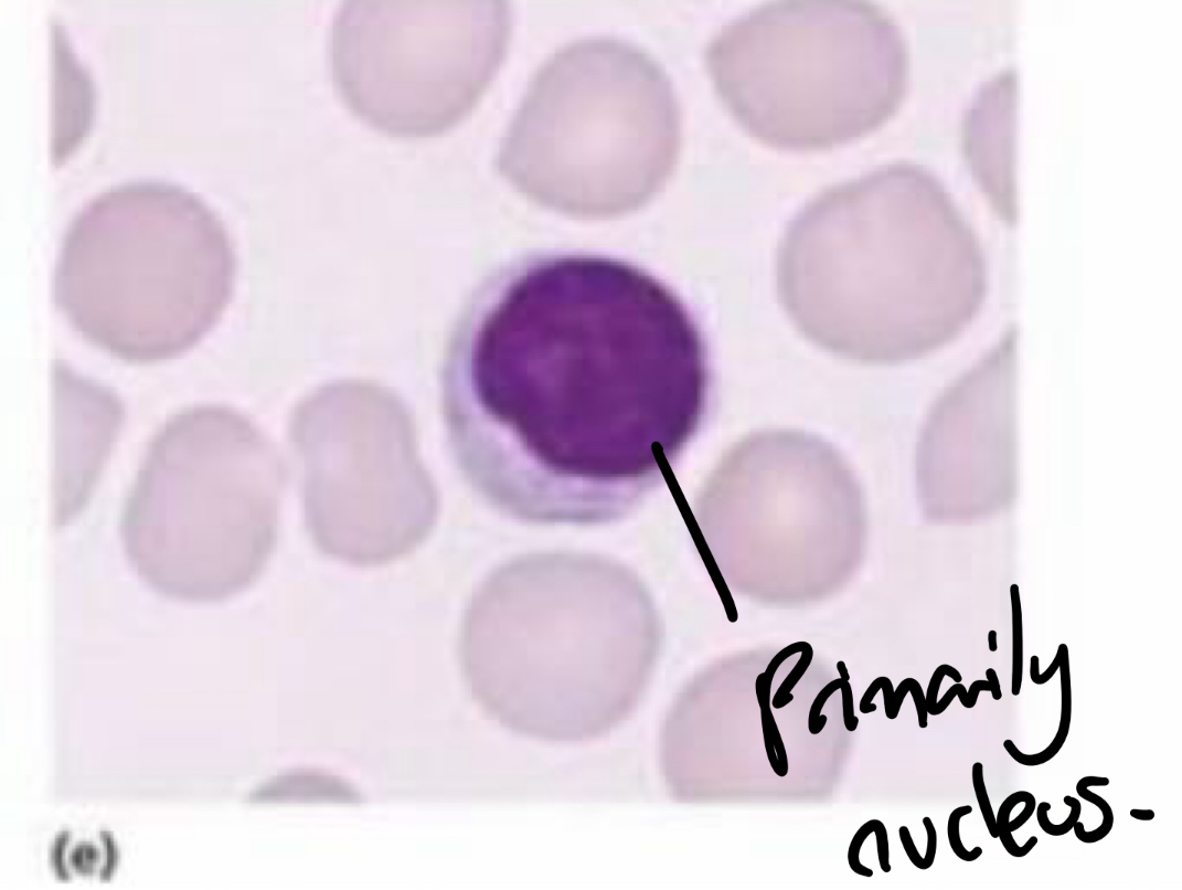
  • What cell is this?
    Lymphocyte.
  • What cell is this?
    Monocyte - largest cell