Pelvic walls and floor

Cards (38)

  • Pelvic boundaries
    The slide shows the boundaries of the pelvis – the posterior and anterior walls are bony, the lateral walls are bony and muscular. The inferior boundary (floor) is muscular at the pelvic outlet but the superior boundary at the inlet is open to the abdominal cavity. This allows coils of small intestine to fill part of the pelvic cavity and pelvic organs such as the bladder and uterus to expand and rise into the abdominal cavity.
  • Bones – innominate (os coxae)
    The pelvis is formed from two innominate bones that articulate with each other and with the sacrum. The slide shows the main bony points of interest. The greater and lesser sciatic notches allow the passage of nerves, arteries, veins and muscles from the internal surface of the pelvis to the perineum and gluteal region. They are turned into foramina by the presence of ligaments.
  • Bones – innominate (os coxae)
    The obturator foramen allows the anterior part of the pelvis to be lighter as there is less bone but the foramen is almost completely closed by obturator ineternus, obturator externus and the obturator membrane, they are pierced by the obturator nerve and vessels. The ischial spine provides an attachment site for muscles such as coccygeus and is also an important bony landmark for the pudendal nerve. The acetabulum is the site of the hip joint – a synovial ball and socket joint formed with the femur.
  • The iliac blades provide muscle attachment for iliacus anteriorly and the gluteal muscles posteriorly. The iliac crest provides an attachment site for the muscles of the abdominal wall. The anterior superior and anterior inferior iliac spines provide attachment sites for sartorius and rectus femoris respectively. The anterior superior iliac spine and the pubic tubercle are points of attachment for the inguinal ligament. The lumbosacral joint and the joint at the pubic symphysis are both secondary cartilaginous joints
  • Bones - sacrum
    The bony sacrum is formed from 5 fused vertebra and articulates with the L5 vertebrae and the coccyx. The sacral nerves pass through the sacral foramina to exit the vertebral column and supply structures within the pelvis and lower limb.
  • Ligaments
    •Sacrotuberous and sacrospinous ligaments form the greater sciatic foramen (A) and the lesser sciatic foramen (B)
  • Ligaments
    Two large ligaments attach to the sacrum – the sacrotuberous and sacrospinous ligaments. The sacrotuberous ligament passes to the ischial tuberosity and the sacrospinous ligament passes to the ischial spine. They form the posterior boundaries of the greater and lesser sciatic foramina. The inguinal ligament is formed by the aponeurosis of external oblique as it rolls over itself to create the anterior wall and floor of the inguinal canal.
  • As seen from above, it is also apparent that the sacrotuberous (ST) and sacrospinous (SS) ligaments also support the posterior wall and floor of the pelvic cavity.
    The sacroiliac joints are a combination of plane synovial joint anteriorly protected by the anterior sacroiliac ligament and a fibrous joint supported by the posterior sacroiliac ligament posteriorly.
  • Male and female pelvic morphology differs due to the requirement for a female pelvis to create a birth canal in addition to locomotion at the hip joint. There are several features that increase the internal diameter of the pelvis in a female – the pubic angle at the pubic symphysis is wider, the ischial spines do not protrude into the pelvic cavity as markedly and the sacrum is flatter when compared to that of a male.
  • The classic female shape at the pelvic inlet is described as gynecoid, the class male pattern as android but there are also shapes such as a more flattened inlet (in the anterior –posterior direction) called a platypelloid shape and an inlet that is wider in an anterior-posterior direction called an anthropoid shape (is is similar to the shape seen in apes).
  • Wall muscles - iliacus
    •Iliac fossa to join psoas as iliopsoas and insert into lesser trochanter of femur
    •Hip flexion
    •Femoral nerve
    Iliacus originates from the iliac blades, joins with psoas to insert into the femur and flex the hip.
  • Wall muscles - psoas
    •T12-L4 bodies and intervertebral discs (superficial) and L1-L5 (deep) to join iliacus as iliopsoas – lesser trochanter of femur
    •Hip flexion, bend trunk laterally (one), raise trunk from supine position (both)
    •Lumber plexus direct branches L2-4 anterior rami
    psoas that originates in the abdomen from the vertebral bodies and is pierced by nerves of the lumbar plexus as it descends into the pelvis to join with iliacus.
  • Gluteal muscles
    •Gluteus maximus, medius and minimus
    •Attaching to pelvic bones but not within pelvic cavity
    •Act on the hip joint
    The gluteal muscles gain attachment from the posterior surface of the iliac blade
  • Wall muscles - obturator externus
    •Outer surface of the obturator membrane to the trochanteric fossa of the femur
    the muscle that covers the external surface of the obturator foramen – obturator externus
  • Wall muscles - obturator internus
    •Inner surface of obturator membrane to medial surface of greater trochanter of femur
    •Lateral rotation of the hip
    •Nerve to obturator internus direct from sacral plexus (L5, S1)
  • Wall muscles - obturator internus
    The equivalent muscle to obturator externus lies on the inside of the pelvis and covers the inner surface of the obturator membrane. It attaches to the membrane and then sends its tendon through the lesser sciatic notch to reach the greater trochanter of the femur. When seen in the gluteal region it is only a tendon but is closely associated with the superior and inferior gemelli muscles that lie either side of the tendon of obturator internus. It is one of several small lateral rotators of the hip joint.
  • Wall muscles - obturator internus
    The thickened fascia above obturator internus provides an attachment site for the iliococcygeus part of the levator ani muscles that form the pelvic floor. Obturator internus also acts to support the lateral pelvic wall covering the opening of the obturator foramen.
  • Wall muscles - piriformis
    •Pelvic surface of the sacrum to greater trochanter of the femur
    •Lateral rotation of the hip joint
    •Nerve to piriformis direct branch of sacral plexus (S1, S2)
  • Wall muscles - piriformis
    It originates inside the pelvis from the anterior surface of the sacrum and then passes through the greater sciatic foramen to cross the gluteal region to reach the greater trochanter of the femur. It is also a small lateral rotator of the hip joint. Piriformis is a useful landmark inside the pelvis as the sciatic nerve and pudendal nerve form on its superior surface.
  • Wall muscles - piriformis
    It is also a good landmark in the gluteal region as the superior and inferior gluteal nerves and vessels lie either side of piriformis and the sciatic nerve descends from the greater sciatic notch beneath it. Piriformis also acts to support the pelvic wall by partially covering the opening of the greater sciatic foramen.
  • Piriformis and the sciatic nerve seem to disappear as they pass out of the pelvis through the greater sciatic foramen to reach the gluteal region.
  • Pelvic diaphragm
    •Muscular floor to prevent prolapse
    •Pelvic diaphragm = levator ani + coccygeus
    •Levator ani is the muscular roof of the anal triangle
  • Pelvic diaphragm
    The pelvic and abdominal cavities are continuous, so as pressure rises in the abdomen, it also rises in the pelvis. The abdominal wall muscles contract to prevent herniation of abdominal contents and the pelvic floor muscles prevent prolapse of pelvic contents. Ideally, the pelvic floor would have a large bony component but this would make the pelvis very heavy and would impede the exit of urine and faeces from the pelvic outlet.
  • Pelvic diaphragm
    The floor is therefore a combination of muscular and connective tissue components that support the pelvic contents whilst allowing the exit of the urethra, anal canal and vagina through the pelvic floor.
    The pelvic diaphragm is composed of two muscle blocks – levator ani anteriorly and coccygeus posteriorly.
  • Coccygeus
    •Ischial spine and sacrospinous ligament to the coccyx and inferior sacrum
    • Support pelvic viscera, flexion of coccyx
    •Direct branches from sacral plexus (S4,S5)
    Coccygeus passes from the ischial spine to the coccyx and lower part of the sacrum. It acts to flex the coccyx but also completes the posterior part of the pelvic floor. It can appear very membranous in elderly individuals, as shown by the white arrow in the photograph.
  • Levator ani
    •Pubococcygeus – most medial fibres, attach to and support vagina/prostate gland and rectum
    •Iliococcygeus –more lateral fibres of levator ani, anterior to coccygeus
    •Pubococcygeus usually divided into puborectalis, levator prostatae (puboprostaticus) and pubovaginalis
    •Some texts also mention small slips called puboanalis and puboperinalis (not important here)
    •Levator ani supports the pelvic viscera- contract during forced expiration, coughing
    •Levator ani must relax to allow urination and defecation
  • Pelvic diaphragm
    The slide shows levator ani and coccygeus filling the space between the bones of the pelvis to create a diaphragm in the floor of the pelvis. Structures in the ‘gap’ near the pubic bones are supported by the urogenital diaphragm. The diagram on the right shows pubococcygeus medially, iliococcygeus more laterally (and posterior) that together form levator ani.
  • Pubococcygeus
    •Males = most medial fibres pass around prostate and insert into perineal body = levator prostatae (puboprostaticus)
    •Females = most medial fibres pass around vagina and insert into perineal body = pubovaginalis
    •Both sexes = puborectalis
    •Motor innervation from the pudendal nerve and nerve to levator ani
  • Pubococcygeus
    The fibres of pubococcygeus pass from the pubic bones to wrap around the prostate gland or vagina and the rectum. Fibres that support the vagina and prostate gland insert into the perineal body and are often given specialist names (levatore prostatae and pubovaginalis) to indicate their function but they are still part of pubococcygeus muscle. In both sexes the more posterior fibres of pubococcygeus wrap around the rectum and are called puborectalis.
  • Puborectalis
    •Fibres mix with those from external anal sphincter, modified as a sling around the rectum to help maintain faecal continence
    •Especially important immediately after the rectum has filled (internal anal sphincter open)
    •Pudendal nerve (S2-4) and nerve to levator ani (S4)
  • Iliococcygeus
    •Attaches to fascia of obturator internus (OI) and the anococcygeal body/ligament/levator plate
    •More fibrous than pubococcygeus
    •Area of attachment to the fascia of obturator internus described as the tendinous arch of levator ani
    •Pudendal nerve and nerve to levator ani
  • The bladder has been reflected to reveal the muscular pelvic floor, the thin fibres of iliococcygeus can be seen passing medially from the fascia above obturator internus.
  • •Perineal body composed of fibrous connective tissue
    •Levator prostatae, pubovaginalis, external anal sphincter and perineal muscles attach here
    The perineal body is a small piece of tough connective tissue that lies in the pelvic floor at the edge of the urogenital diaphragm between the openings of the vagina or urethra and the anal canal. It provides attachment for many small muscles of the perineum and the external anal sphincter.
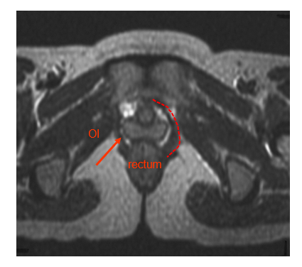
  • The red dotted line and arrow indicate the position of the fibres of puborectalis as they pass around the rectum.
  • Fascia
    •Parietal pelvic fascia covering the internal wall – thickened over obturator internus to form tendinous arch of the pelvis (and levator ani)
    •Anterior – puboprostatic ligament (male), pubovesical ligament (female)
    •Visceral pelvic fascia covers the organs, parietal and visceral blend as organs pierce the pelvic floor
    •Lateral extension of visceral fascia from vagina to tendinous arch = paracolpium
  • Fascia
    •Endopelvic fascia acts as a packing material around the organs, 2 basic types: loose and condensed
    •Loose fills ‘spaces’ in the pelvis, for example the retropubic (pre-vesical) space
    •Condensations are thickenings of the fascia, for example the primary condensation is the hypogastric sheaths running along the posterolateral walls of the pelvis
  • Fascia
  • Peritoneum
    pelvic contents are subperitoneal – they are covered by a continuation of the peritoneal lining of the abdominal cavity, which forms pouches in females and males.