Week 36 Pathology 3

Cards (65)

  • What is optic neuropathy
    Optic neuropathy is damage to the optic nerve
  • What is optic atrophy?
    Optic atrophy is death of the retinal ganglion cell axons that make up the optic nerve
  • List causes of optic neuropathy
    Causes of optic neuropathy:
    • Inflammation (optic neuritis)
    • Glaucoma
    • Ischaemia
    • Raised intercranial pressure
    • Genetics/Hereditary
    • Nutritional and toxic optic neuropathies
    • Trauma
    • Compression (orbital lesion that leads to compression)
    • Infiltrative conditions (tumours, infections, inflammatory conditions)
  • What is optic neuritis
    Optic neuritis is inflammation of optic nerve
  • What are the 2 ways optic neuritis can be classified as
    According to
    -Portion of the optic nerve that is affected
    -cause
  • What is it called if posterior portion of optic nerve is affected by optic neuritis?
    Retrobulbar optic neuritis (behind the laminate cribosa). Optic nerve will look normal.
  • What is it called if the anterior portion of the optic nerve is affected by optic neuritis?
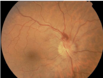
    Papillitis is when the anterior of optic nerve is affected by optic neuritis. Optic nerve will look swollen and hyperaemic (increased blood flow to an area, which in this context, means the optic disc is engorged with blood) and will have blurred margins.
  • What is it called when the inflammation involves both the optic head and peripapillary retina?
    Neuroretinitis is inflammation at optic head and peripapillary retina. Optic nerve will be oedematous (swollen or puffy due to an accumulation of fluid, specifically in the optic disc), hyperaemic (increased blood flow in that area resulting engorged optic disc) and there will be an accompanying macular star. Patients with hypertension also have that appearance.
  • Cause of optic neuritis
    1. Demyelination (nerve fibres lose their myelin sheaths which are key to the conduction of nerve impulse sand they get disrupted and damaged). Can have bladder problems due to this as signal does not get received fast enough.
    2. Infection
    3. Non-infectious causes (auto-immune conditions)
    4. Parainfectous causes (post viral infection, post vaccination)
  • Optic neuritis presentation
    • Young patient Associated with Multiple sclerosis Symptoms
    • Acute vision reduction in 1 eye
    • Central scotoma- classic (lose central vision)
    • Progressively declines for 7-10 days
    • Then slowly improves from 4-12 weeks
    • Pain around eye and particularly on eye movement (in retrobulbar neuritis). Detected using mobility test.
    • Vision worse on exercise or increase in body temperature (Uhthoff phenomenon)
  • Signs of optic neuritis
    Relative Afferent Pupillary Defect (RAPD)
    • Decreased colour vision. Direct patient to look at a red object monocularly one at a time and patient may report it to look washed off in one eye.
    VA changes (6/18-6/60)
    Central scotoma (a blind spot or area of reduced vision located in the center of the visual field)
    • Reduced perception of light intensity
    • Disc appearance: appears normal in retrobulbar optic neuritis
    • Swollen disc in papillitis and Neuroretinitis. Dialted pupil has a lesion.
  • Management of optic neuritis
    Urgent (<1 week) referral to HES
  • What is Glaucomatous optic neuropathy (Glaucoma)
    • Group of conditions that result in chronic progressive optic neuropathy.
    • It is often (but not always) associated with raised IOP.
    • This is a key modifiable factor.
    High IOP without the optic neuropathy is referred to as Ocular hypertension- no damage to optic nerve
    Characterized by:
    • Retinal ganglion cell death
    Visual field defects
  • How is aqueous produced and how does fluid flow in the anterior chamber
    Aqueous produced in ciliary body.
    It passes in front of lens through pupil aperture.
    Then takes either 2 routes to exit eye:
    1. Trabecular pathway (90% of aqueous exits this way)
    2. Uveoscleral pathway (10% of aqueous exists this route)
  • Fibres at back of eye towards optic disc
  • Clinical appearance of normal vs glaucoma optic disc and cup
  • Optic disc
  • ISNT rule
    -Inferior rim small in glaucoma
  • Classification of Glaucoma
  • What is ocular hypertension?
    Hypertension is the state of consistently raised IOP (>21 mmHg) using Goldmann Applanation Tonometry (GAT) without the associated optic nerve damage. Signs are asymptomatic.
  • Management of ocular hypertension
    -If IOP <24mmHg (with GAT)
    • Monitor in practice
    -If IOP ≥24mmHg (with GAT)
    • Repeat measures before referring to the HES. If IOP is still raised, refer routinely to consultant Ophthalmologist / optometrist with specialist qualifications in glaucoma
  • Primary Open Angle Glaucoma (POAG)
    • Progressive, chronic optic neuropathy.
    Patients have:
    • An open anterior chamber angle
    • Retinal nerve fibre layer loss- bright optic cup
    • Visual field loss
    • This occurs because of increased resistance to drainage through the trabecular meshwork (slow flow of aqueous)
  • Investigation of Primary Open Angle Glaucoma (POAG)
    Visual field assessment
    Slit lamp examination:
    -Optic nerve head assessment
    Anterior chamber assessment (Van Hericks, Gonioscopy)
    • Check the IOP: Goldmann Applanation Tonometry/ Perkins
    • Fundus imaging
    • OCT (Anterior OCT and Optic Nerve Head OCT)
  • Glaucomatous visual field defects
    Paracentral scotoma (Figure A)
    Nasal step scotoma (Figure B)
    Arcuate scotoma (Figure C)
    Ring scotoma (Figure D)
  • What is this type of Glaucomatous visual field defect know as?
    Paracentral scotoma- a blind or blurry spot in your vision that is slightly off-center, within 10 degrees of your line of sight
  • What is this type of Glaucomatous visual field defect know as?
    Nasal step scotoma- early sign of glaucoma, where there's a noticeable depression or "step" in the nasal visual field, respecting the horizontal midline.
  • What is this type of Glaucomatous visual field defect know as?
    Arcuate scotoma-  type of visual field defect, or "blind spot," that appears as an arc or bow-shaped area of vision loss, often starting at the blind spot and arching over the macula.
  • What is this type of Glaucomatous visual field defect know as?
    Ring scotoma- annular (ring-shaped) field defect, meaning a blind spot or area of reduced vision that forms a ring around the central point of vision. 
  • How is papilloedema managed?
    Emergency referral to HES for BP check, MRI, and possibly lumbar puncture.
  • What are signs of papilloedema?
    Blurred disc margins, swollen optic nerve head, enlarged blind spot, loss of spontaneous venous pulsation.
  • What are symptoms of papilloedema?
    Headaches, transient visual obscurations, nausea, vomiting, diplopia, normal VA early on.
  • What are causes of raised ICP (intracranial pressure)?
    Tumour, aneurysm, space-occupying lesions.
  • What is papilloedema?
    Swelling of the optic nerve due to raised intracranial pressure.
  • What causes AAION?
    Giant cell arteritis (vasculitis).
  • Who is at risk of AAION?
    Elderly (mean age 70), especially women.
  • What are symptoms of AAION?
    Sudden vision loss, headache, scalp tenderness, jaw claudication, weight loss, fever, malaise.
  • What are signs of AAION?
    Severe vision loss, RAPD, pale swollen optic disc, thick/tender temporal artery.
  • How is AAION managed?
    Emergency referral with blood tests (ESR, CRP, platelets) and possible temporal artery biopsy.
  • What causes Non-arteritic AION (NAION)?
    Occlusion of short posterior ciliary arteries causing ONH infarction.
  • Who typically gets NAION?
    40–60-year-olds with "disc at risk" (small, crowded disc), often hyperopic.