Muscle Tissue

Cards (37)

  • Muscular tissue
    Responsible for movement of the body and its parts and for changes in the sizes and shape of internal organs
  • Thin Filaments
    6 to 8 nm in diameter, 1.0 um long, composed primarily of the protein actin
  • Thin filaments
    Polymers formed from globular actin molecules (G-Actin)
  • Thick filaments
    15 nm in diameter, 1.5 um long, composed of the protein Myosin II
  • Actin and Myosin are also present in most other cell types (although in considerably smaller amounts), where they lay a role in cellular activities in cytokinesis, exocytosis, and cell migration
  • Muscle cells contain a large number of aligned contractile filaments that the cells use for the single purpose of producing mechanical work
  • Striated muscle
    Cells exhibit cross-striations at the light microscope level
  • Smooth muscle
    Cells do not exhibit cross-striations
  • Sarcolemma
    The plasma membrane of the muscle cell, its external lamina and the surrounding reticular lamina
  • Muscle innervation
    1. Signal from the nervous system arrives at the neuromuscular junction via motor neurons
    2. Neurotransmitters (acetylcholine) are released in the synaptic cleft in vesicles created in the terminal region of the motor neuron
    3. Acetylcholine binds to the Ach receptors (protein) of the junctional fold in the muscle
    4. Ach receptor acts as an ion channel (sodium potassium pump)
    5. Depolarization occurs once threshold is achieved = action potential
    6. Enzyme acetylcholinesterase in synaptic cleft breaks down Ach which causes ion channels to close
    7. Action potential continues to travel to the sarcolemma and T-tubules
    8. Ca+ ions are released in cytosol from sarcoplasmic reticulum
    9. Ca+ ions bind to troponin making myosin-actin binding available
    10. Repolarization occurs
  • Sliding filament theory
    Mechanism of muscle contraction where actin and myosin filaments slide past each other
  • 3 types of muscle tissue
    • Skeletal muscle
    • Cardiac muscle
    • Smooth muscle
  • Skeletal muscle

    • Contains bundles of very long, multi-nucleated cells with cross-striations, contraction is quick, forceful, and usually under voluntary control
  • Cardiac muscle
    • Has cross-striations and is composed of elongated, often branched cells bound to one another at structures called intercalated discs, contraction is involuntary, vigorous, and rhythmic
  • Smooth muscle
    • Consists of collections of fusiform cells which lack striations and have slow, involuntary contractions
  • Skeletal muscle
    • Makes up between 30 to 40% of your total body mass, voluntary muscles, attach to bones either directly or via tendons
  • Components of skeletal muscle organization
    • Epimysium
    • Fascicles
    • Perimysium
    • Endomysium
    • Myofibrils
    • Sarcomeres
  • Epimysium
    External sheath of dense irregular connective tissue that surrounds the entire muscle
  • Fascicles
    Bundles of muscle fibers within a muscle, surrounded by connective tissue called perimysium
  • Perimysium
    Thin connective tissue layer that immediately surrounds each bundle of muscle fibers (fascicle)
  • Endomysium
    Very thin, delicate layer of reticular fibers and scattered fibroblasts that surrounds the external lamina of individual muscle fibers
  • Myofibrils
    Thread-like structures found within muscle fibers, composed of numerous sarcomeres arranged in series, responsible for the contraction of muscle fibers
  • Sarcomeres
    The basic contractile units of muscle fibers, contain overlapping filaments of actin and myosin proteins
  • Actin
    The thin filament
  • Myosin
    The thick filament
  • Types of skeletal muscle fiber
    • Slow oxidative
    • Fast glycolytic
    • Fast oxidative-glycolytic
  • Slow oxidative muscle fibers
    • Adapted for slow contractions over long periods without fatigue, have many mitochondria, many surrounding capillaries, and much myoglobin
  • Fast glycolytic muscle fibers
    • Specialized for rapid, short-term contraction, have few mitochondria or capillaries and depend largely on anaerobic metabolism of glucose
  • Fast oxidative-glycolytic muscle fibers
    • Have physiological and histological features intermediate between slow oxidative and fast glycolytic fibers
  • Properties of skeletal muscle
    • Extensibility
    • Elasticity
    • Excitability
    • Contractility
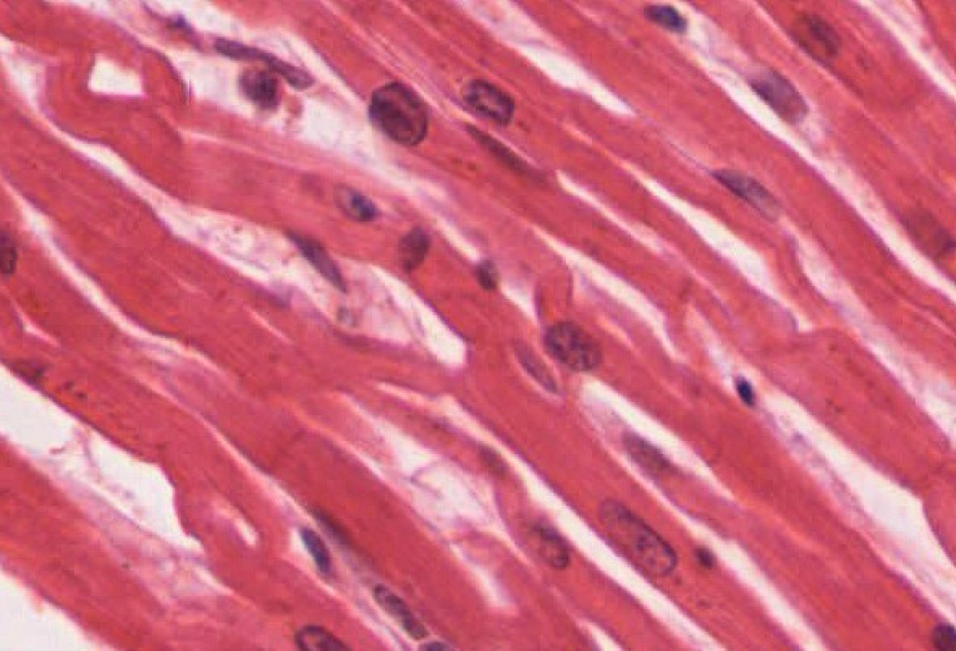
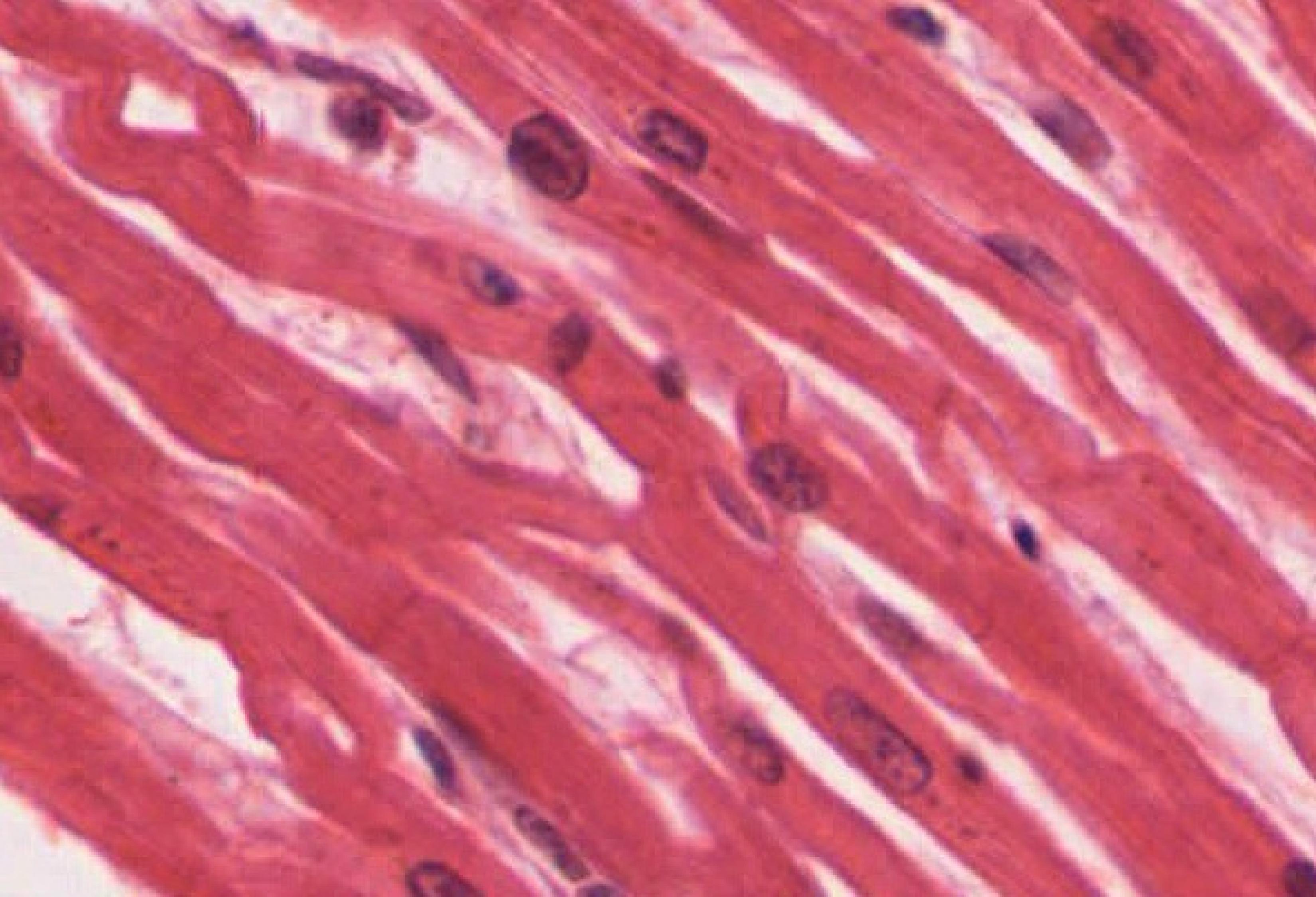
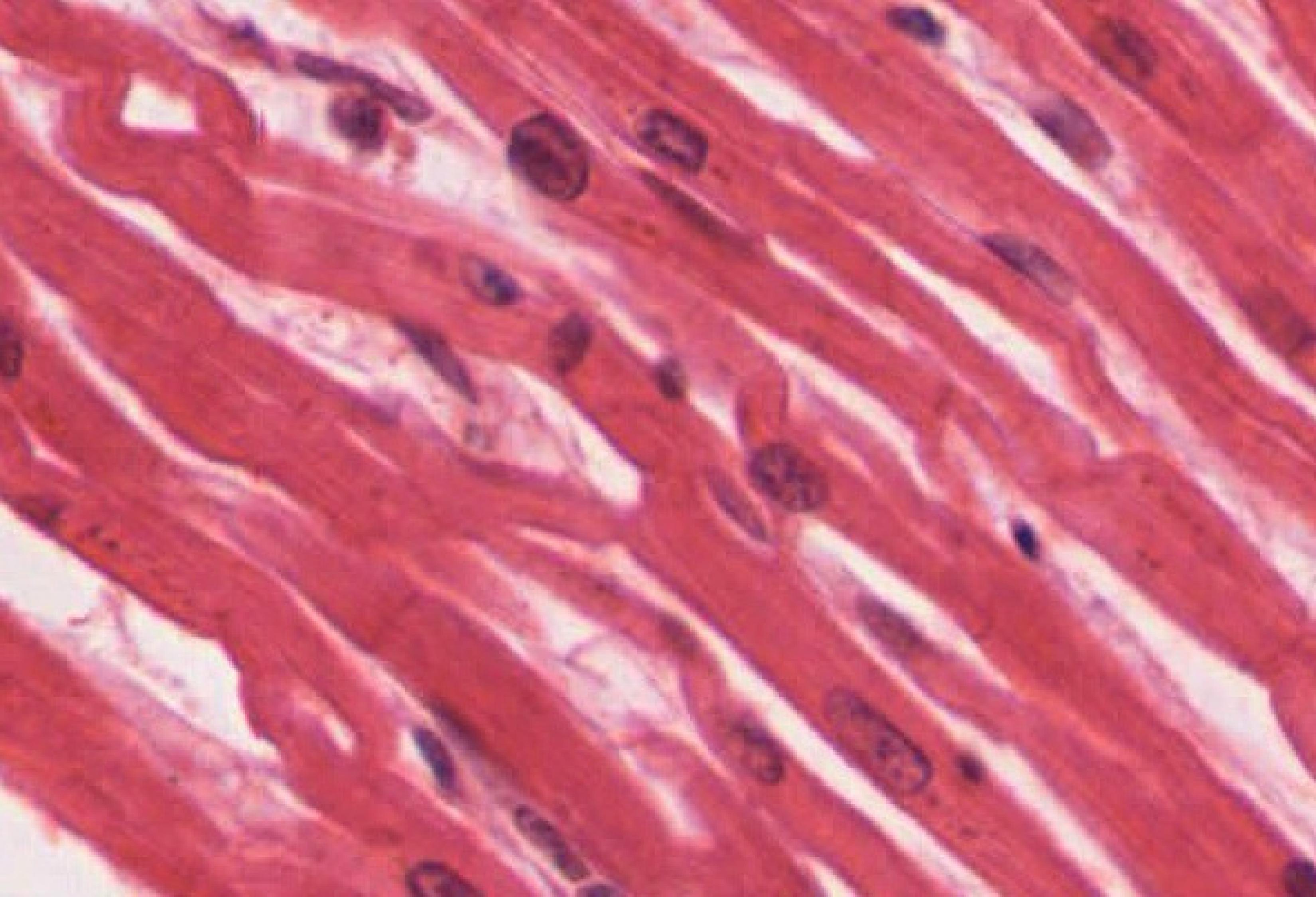
  • Cardiac muscle
    • Structurally and functionally unique subtype of muscle tissue located in the heart, capable of strong, continuous, and rhythmic contractions that are automatically generated
  • Components of cardiac muscle
    • Cardiomyocytes
    • Intercalated discs
    • Myofibrils and sarcomeres
  • Cardiomyocytes
    Cardiac muscle cells, usually contain one elongated nucleus that lies in the centre
  • Intercalated discs
    Interfaces between adjacent cardiac muscle cells, consist of many junctional complexes
  • Intercalated discs contain two compartments that are orientated transversely and laterally (parallel) in relation to the myofibrils, resembling a flight of stairs
  • Types of cell junctions in intercalated discs
    • Fascia adherens
    • Desmosomes
    • Gap junctions
  • Myofibrils and sarcomeres
    Sarcomeres are the functional subunits of myofibrils and the contractile units of cardiac muscle tissue, arranged into a branched pattern forming a 3D network