ophthalmology

Cards (104)

  • Ophthalmic disease in horses is relatively common as they have very prominent eyes. Their cornea is protruding out and hence corneal trauma and disease is common. Other examples include…
    • Immune-mediated uveitis
    • equine recurrent uveitis
    • Cataracts
  • the ophthalmic exam is a big part of the pre-purchase exam.
    • The owner only notices visible signs such as blepharospasm, swelling and epiphora.
  • label the image
    A) choroid
    B) optic disc
    C) tapetal fundus
    D) posterior chamber
    E) anterior chamber
    F) aqueous
    G) ciliary body
  • Horses have an ellipsoid cornea and elliptical pupil. They also have a corpora nigra (also known as a granula iridica) which helps to prevent bright light from hitting the retina when the pupil is constricted.
    • In general, there is little concern with the corpora nigra except for when it becomes enlarged
  • Endothelium transports water from the stroma into the anterior chamber keeping the stroma (the main component of the cornea) dry. If the endothelium becomes damaged there is an alteration in this water transport mechanism causing fluid to build up in the stroma leading to a corneal oedema (cloudiness to the eye)
  • label the layers of the cornea
    A) mucous or tear film
    B) epithelium
    C) basement membrane
    D) stroma
    E) descement membrane
    F) endothelium
  • The tapetum is the green/yellow/red/blue reflective portion of the fundus. The non-tapetal fundus (NTF) is brown-red in colour. Within the NTF lies the large optic disc which has around ~60 fine blood vessels (no vessels between 5 and 7
    o’clock).
  • The start of an ophthalmic exam begins with observing from afar. At this point you can assess for…
    • Blepharospasm
    • Swelling (asymmetry)
    • Ptosis (eyelid points downwards inside of sideways)
    • Micro / macrophthalmus
    • Conjunctival inflammation
    • Epiphora/ocular discharge
  • Be sure to do the menace response prior to any sedation
  • The corneal reflex is where you gently press the cornea and see if the globe retracts
  • Dazzle reflex requires a powerful light. This reflex (subcortical reflex) is where the horse closes its eye in response to a very bright light
  • You can you two types of PLR…
    • Direct is where the eye you are shining constricts
    • Indirect is where the opposite eye to the one you are shining constricts
  • Foals acquire a menace response 1-2 weeks after birth and hence you will need other ways to assess a foals vision.
  • fill in the blanks
    A) miosis
    B) mydriasis
    C) anisocoria
  • The main component of the ophthalmic exam requires a quiet and dark environment. The horse doesn’t tend to like individuals around their eye so you often need sedation and nerve blocks but also maybe topical anaesthesia. The most common nerve block if the auriculopalpebral nerve block, this is a motor block which desensitises the upper eyelid.
  • The supraorbital nerve block desensitises the cornea
  • There are three sites where the auriculopalpebral nerve can be blocked and these are shown in red.
    1. Caudal to the posterior ramus of the mandible (auriculopalpebral)
    2. Dorsal to the highest point of the zygomatic arch
    3. Caudal to the bony process of the frontal bone (palpebral)
  • To perform the lacrimal nerve block, insert the needle subcutaneously just dorsal to the lateral canthus and direct medially across the dorsal orbital rim during injection
  • To perform an infratrochlear nerve block, insert a needle at the medial canthus and direct it along the bony notch on the dorsal rim of the orbit (toward the medial canthus).
    • This provides desensitisation of the medial eyelid
  • Mydriatics help the pupil to dilate and this can be useful when needing to see into the posterior section of the eye. Atropine is used in small animals but this is not an option for the non-painful equine eye. Atropine will last up to 2 weeks in the non-painful horse eye and has side effects. Instead, use tropicamide, this requires just over 20 min to dilate the pupil and its effect will last for 4-6 hours.
  • what mydriatic can be used to dilate the eye in horses?
    tropicamide
  • atropine can be used for uveitis nut never in the non-painful eye
  • To perform a zygomatic nerve block, provide local anaesthetic along the ventral and lateral aspect of the bony orbit, near the junction where the orbit begins to curve upward.
    • This provides desensitisation of the remainder of the lower lid
  • The direct ophthalmoscope is good to look at the anterior and posterior portions of the eye. It needs to be held 1-2 inches from the eye
    • The lower the number the deeper into the eye you can see
    • It also has different light settings
  • The lens allows for an indirect ophthalmoscopy and needs to be held at arm's length and 2-3cm from the eye. This allows for visualisation of the posterior portion of the eye only (fundic exam).
    • Remember this method will produce images that are upside down.
    You are likely to need mydriatics to dilate the pupil to allow vision into the posterior chamber
  • The panoptic ophthalmoscope allows for visualisation of the posterior portion of the eye only (can see the fundus but not the cornea). This option provides a more panoramic view than the lens and can be used without needing to dilate the pupil
    • Relatively easy to use need to focus on the dial
    You will not be able to assess the small vessels from the optic disc either!
  • There are three types of ophthalmoscope…
    A) lenus
    B) direct opthalmoscope
    C) panoptic
  • Split ophthalmoscopy can be done with the direct ophthalmoscope or the split lamp, this technique allows for the identification of abnormalities in shape on the surface of the eye (the cornea).
    • Ideally, to look at the surface use a split lamp - this has a similar shaped light and you can select your angle better. This also provides a better magnification than a microscope (10-20x)
  • the settings below are for the direct ophthalmoscope. what structure do they allow you to look at?
    0 = Chorioretina
    1-5 = Vitreous
    6-10 = Lens
    11-15 = Iris/Ant Chamber
    20-40 = Cornea
  • When using the direct ophthalmoscope be sure to angle the light at a 20-45 degree angle while you look at the eye straight on otherwise, you will not be able to assess the structure of the cornea.
  • If the split light thickens, then this means that there is a protrusion/thickening of the cornea
  • In general, split ophthalmoscopy only allows for assessment of the cornea (anterior segment) and hence will not allow for assessment of the posterior section of the eye such as the fundus.
  • Tonometry can be either rebound (a projection pulsates and hits the eyes - tonovet) or applanation (which needs to be pressed onto the cornea - tonopen). Applanation tonometry measures amount of “flattening” (area of contact) of the cornea when a weight touches it. However, rebound tonometry measures amount of force bouncing back from the cornea. In comparison rebound measure higher than applanation.
  • To perform tonometry, be sure to calibrate the machine, place it perpendicular to the central cornea and then average 3 separate readings. However, if there is diffuse corneal fibrosis/scarring then perform on the part of the cornea that looks the most normal.
    • Normal IOP is about 14-22mmHg
  • Falsely elevated IOP can occur with corneal fibrosis/scarring as the cornea becomes harder.
    A) xylazine
    B) ACP
    C) Glaucoma
  • An important to step to be able to perform tonometry is topical anesthesia as the cornea is very sensitive. Options are…
    • Tetracaine
    • Proxymetacaine aka proparacaine
  • Corneal staining is used when there is a suspicion of corneal pathology which may be indicated by signs of pain (myosis, blepharospasm, epiphora and swelling) or corneal opacity. There are two options for staining the cornea
    • Fluorescein is very common. This dye sticks to the stroma so a positive result means that there is an area of staining on the stroma indicating an ulcer
    • Rose bengal/lissamine green which is better for identification of poor integrity of the epithelium (superficial)
  • When staining you can perform the seidel test. This doesn’t require any additional steps by you after staining the cornea. Instead wait a few moments and check again and see is the stain is being washed out from underneath the corneal lesion. If so this is a positive result and indicates that aqueous humour is leaking out of the puncture.
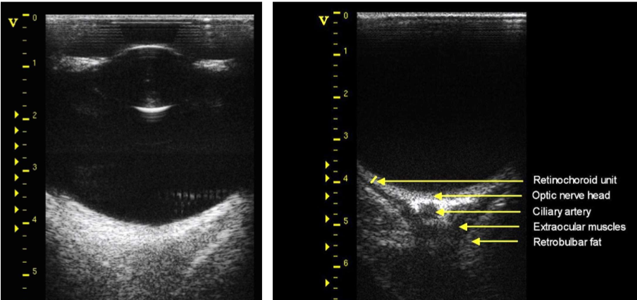
  • Ultrasonography allows for vision into the back of the eye even if the cornea is cloudy/opaque
    A) optic nerve
    B) fat
  • Common pathology of the anterior segment includes
    • Oedema
    • Bullae
    • Synechiae (anterior/posterior)
    • These are fibrin bridges that occur after inflammation these can be iris to lens or iris to cornea
    • Cataracts
    • Iris cysts
    • Iris cysts can spook the horse (be a cause of anxious/abnormal behaviour)
    • Tumours (SCC!)