infectious respiratory disease

Cards (41)

  • Strangles cases may have draining tracts from abscesses or lymph nodes, and palpable abnormalities associated with dental disease include bony swellings, pain or gaps in dental arcade on palpation, and discharging tracts.
  • The risk for respiratory viruses is aerosols (& fomites) the risk factors with bacteria and parasites are shared water / pasture.
  • The best time to swab for influenza is at the peak of clinical signs. So, for example, if a horse has secondary bacterial infection (mucopurulent discharge) then they have likely passed this peak so it would be more beneficial to test the horses around the presenting horse.
    • Virus shedding is brief and hence you want paired antibody samples
  • Horses can hide how sick they feel and look quite bright however they may be shedding a virus
  • equine influenza virus infects the epithelial cells in the upper respiratory tract (URT) and destroys cilia. There is nasopharyngeal virus shedding. Clinical signs are…
    • Fever
    • Cough
    • Affects the mucociliary elevator and hence the horse is forced to cough. This can be deep and dry
    • Nasal discharge: serous, may become mucopurulent due to secondary bacterial infection (MPD)
  • The risk of a secondary infection is high with influenza due to the loss of protective mechanisms e.g., mucociliary elevator. This can cause a second peak of pyrexia (often 7-10 days post infection) which is often higher than the original fever.
    • It can be beneficial to inform owners about taking a temperature regularly after influenza has been diagnosed so the secondary bacterial infection can be caught early
  • Diagnostic tests for equine influenza are…
    • Nasal swab
    • Detection of viral antigen (ELISA)
    • Detection of RNA (RT-PCR)
    • Serum (serology)
    • ELISA
    • Haemagglutination inhibition (HI) a 4-fold increase in titre indicates seroconversion
  • what type of virus is equine herpes virus?
    DNA virus
  • equine herpes virus causes an initial infection of respiratory epithelial cells leading to a cell-associated viraemia (white blood cells) virus disseminated to sites of secondary replication (endothelium). This virus can be latent and consequently reactivates during stress. The clinical signs involve fever, occasional mild cough and slight nasal discharge.
  • fill in the blanks
    A) 1
    B) 4
  • which herpes virus causes abortion storms?
    1
  • which herpes virus causes sporadic abortion?
    4
  • this disease is easily missed in the respiratory form or can be mistaken for equine influenza. Diagnostic tests for equine herpesvirus include…
    • Nasal swab (and placenta / fetus) for PCR
    • Be sure to get the swab all the way to the back of the nose and spin it to collect some cells
    • Blood samples
    • Virus isolation in tissue culture (acute anti-coagulated blood)
    • Detection of antibodies by complement fixation test (serum)
  • is strangles notifiable?
    no
  • is EAV notifiable?
    yes
  • Equine arteritis virus (EAV) invades the upper and lower respiratory tract. Infected monocytes and T lymphocytes transport virus to the regional lymph nodes (e.g. bronchial), where it undergoes a further cycle of replication before being released into the bloodstream (cell-associated viraemia).
    • 10–70% of stallions become persistently infected and carrier stallions may shed virus in their semen
  • Cases of EAV are often asymptomatic but clinical signs can include…
    • Fever, nasal discharge, loss of appetite, respiratory distress
    • Skin rash, muscle soreness, conjunctivitis, and depression.
    • Can cause abortion in pregnant mares (mostly due to the fever it causes)
  • The diagnostic tests for EVA are…
    • Body secretions or fluids or tissue
    • Virus detection by virus isolation, RT-PCR and in situ hybridization for identification of viral antigen in tissues
    • Whole blood
    • Detection of viral-specific antibodies
    • Virus detection by virus isolation, RT-PCR
    • ELISA used for routine screening of horses for pre-breeding or sales requirements
  • what is the causative agent of strangles?
    streptococcus equi
  • streptococcus equi forms abscesses in the lymph nodes of the head and neck, causing coughing fits and difficulty swallowing. This causes fever, profuse mucopurulent nasal discharge, abscessed lymph nodes of the head and neck (‘strangles’). Diagnosis involves…
    • Culture of bacteria from pus emitting from enlarged lymph nodes, ND, NP swabs or guttural pouch wash
    • qPCR
    • ELISA for serum antibodies
  • Testing for carrier status with strangles involves guttural pouch wash at least three weeks post-resolution of clinical signs
  • Prevention is better than cure and involves…
    • Vaccination
    • Management (educate / train clients / owners)
    • Maintain horses in small, consistent groups
    • Use separate tack and equipment
    • Avoid shared water sources / contact across stable or field boundaries
    • Handle new or young horses last
    • Monitor at risk animals (observation, temperature etc.)
    • Clean boxes, trailers / lorries between each occupant
    • Develop outbreak strategy in advance, considering available facilities and risk
  • Outbreak control includes…
    • Disinfection
    • Isolation
    • Submission (samples for diagnosis)
    • Hygienic procedures
    • Vaccination in the face of an outbreak
    Common hurdles with outbreak control are…
    • Slow identification of affected horses
    • Delay in diagnostic test results
    • Owner compliance
    • Declaration of end of outbreak
  • lungworm causes moderate–severe coughing (exercise). Diagnosis involves…
    • L1 in faeces (infrequent & few)
    • Tracheal wash for eggs, larvae & white blood cells
    • Failure of antibiotic therapy, season, history
    Treatment involves antiparasitic drugs e.g., Moxidectin and ivermectin and be sure to bring indoors to treat
  • there is a lungworm risk for horses if co-pastured with donkeys as there is a possibility (debated) that donkeys are carriers
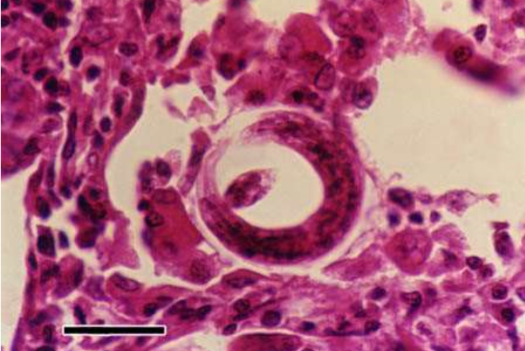
  • what does this image show?
    lungworm - dictyocaulus arnfieldi
  • lungworm = dictyocaulus arnfieldi
  • Rhodococcus equi = foal pneumonia
  • Rhodococcus equ is transmitted via the inhalation of air, faeces, water, soil laden with bacterium. There is a zoonotic potential. Clinical signs include…
    • A cough
    • Mild increase in RR
    • Increased respiratory effort
    • Mild tracheal rattling
    • Pulmonary crackling
    • Fever
    • Bronchopneumonia
    • (polysynovitis, diarrhoea)
  • Diagnostic tests for foal pneumonia are…
    • Tracheobronchial wash / aspirate
    • Bacteriology
    • Cytology
    • PCR (vapA gene)
  • Strangles (Streptococcus equi subsp. Equi) is very contagious. Carrier state accounts for 10% and they intermittently shed. There is also environmental persistence and can survive quite well in the correct conditions. Transmission occurs via fomites, contact and others.
  • Abscessation occurs 3 to 14 days after infection with strangles and commonly affects the Retropharyngeal LN and Submandibular LN but it can also affect the Parotid and Cranial cervical LN
    • Some of these may drain externally, the submandibular LN commonly does this
    • Retropharyngeal LNs commonly rupture into the guttural pouches leading to guttural pouch empyema (or it can drain into the GP causing a build-up of mucopurulent fluid
  • Pharyngitis can occur with strangles and this leads to…
    • Nasal discharge
    • Dysphagia
    • Coughing
    • Laryngeal-associated pain
    • Extending the head
  • Complications of strangles include…
    • Pneumonia
    • +/- pneumothorax
    • Development of distant abscess in different body systems e.g., the thoracic inlet
    • This occurs via lymphatic or haematogenous spread)
    • Development of severe dyspnoea
    • It may be necessary to perform a tracheostomy
    • Purpura haemorrhagica is an uncommon complication
    • Type 3 hypersensitivity reaction that can occur weeks after infection
  • For acute strangles diagnostics involve…
    • History (onset, management, exposure, travel, new horses?)
    • Clinical signs (variable, non-specific) but vital
    • Endoscopy, ultrasonography, radiography.
    • Pathogen identification
    • Culture has a 34-45% sensitivity
    • qPCR of nasopharyngeal lavage is optimal
    • Followed by nasopharyngeal swabbing and then nasal swabbing
  • For persistent strangle infections diagnostics involve…
    • Culture is specific but not sensitive (34-45% sensitivity)
    • qPCR of endoscopic guttural pouch lavage is best, especially if done 3 times
    • qPCR 3xNP lavage + qPCR 1xGP lavage (alternatively)
  • Serology has its place in diagnosing strangles in outbreaks or to identify those that need further testing…
    • SeM-based ELISA
    • Dual-target ELISA to ID exposed (Optimal)
    • Identify exposed animals for GP lavage PCR testing
  • Wait 3-4 weeks after a strangles outbreak to identify carriers of the disease.
  • General treatment of strangles involves…
    • NSAIDs (to manage pyrexia and pain)
    • Soft, palatable, calorific diet.
    • Some horses may be anorexic or dysphagic so a soft diet is ideal
    • Abscess management (hot packing, surgical drainage and lavage)
    • Careful not to lance an abscess before it has matured as it can cause some material to be left behind and cause recurrence
    • Isolation to minimise spread
    • Nursing care
  • chondroids are bean-sized balls of dried pus that can form in the guttural pouches of horses that have recovered from strangles.