(pleuro)pneumonia

Cards (26)

  • Horses with pleuropneumonia may have a stiff stance and reluctance to move which is associated with pleural pain.
  • Pneumonia is an infection of the lower respiratory tract.
    A) bronchopneumonia
    B) pleuropnemonia
  • Bronchopneumonia = infection in the Bronchi and parenchyma
  • Pleuropneumonia has different stages…
    • Exudative stage –sterile transudate increases in the pleural space
    • Fibrinopurulent stage-bacterial invasion and fibrin deposition
    • Organization stage –Fibroblasts grow into exudate (pleural peel)
  • Risk factors for pneumonia are…
    • After viral infections
    • Strenuous exercise
    • Transportation and elevation of the head
    • General anaesthesia
    • Overcrowding & inclement weather
    • Dysphagia (predisposes to aspiration)
  • There are a variety of causes…
    • Streptococcus equi subsp. Zooepidemicus (this is the most commonly associated pathogen which is a normal commensal in many horses)
    • Staphylococcus aureus and S. pneumoniae (also commonly encountered)
    • Actinobacillus spp (gram negative non-enteric)
    • Escherichia coli, Pasteurella spp, Enterobacter spp, Klebsiella spp and Bordetella bronchiseptica (gram negative bacteria)
    • Bacteroides fragilis (anaerobe)
    • Fusobacterium an Peptostreptococcus anaerobius (anaerobe)
  • Clinical signs of pneumonia are…
    • Tachycardia /tachypnoea
    • Respiratory distress
    • Fever
    • Anorexia, depression
    • +/- nasal discharge
    • Exercise intolerance
    • Auscultation is very important
    • A rebreathing bag can help identify these sounds.
  • Adventitious lung sounds include…
    • Crackles & wheezes
    • Dull areas
    • Dull area follows flat line
    • This indicates a fluid line which often indicates pleuropneumonia
    • Pleural rubs (pleuropneumonia)
    • Radiation of cardiac sounds when there is consolidation around the heart or fluid in the chest
  • Additional signs seen with pleuropneumonia are…
    • Pain in the intercostal spaces
    • Reluctance to walk and possible colic signs
    • Abducted elbows are common
    • Grunting during respiration
    • Abduction of elbows
    • Ventral oedema of the chest
  • fill in the blanks
    A) transportation
    B) mucociliary
    C) dysphagia
    D) obstruction
    E) cleft palate
  • Suspicion is based on physical examination and a rebreathing bag. This can then be followed by…
    • Haematology and biochemistry
    • CBC can indicate the presence of systemic inflammation
    • Neutrophilic leucocytosis
    • Leukopenia (indication of an infectious agent)
    • Anaemia (in chronic cases)
    • Increased fibrinogen and SAA
    • Decreased Fe2+
    • Endoscopy
    • Transtracheal wash (TTW) & BAL
    • Thoracic ultrasonography
    • Radiography
    • Thoracocentesis
    • Thoracoscopy
  • with endoscopy, mucous may be identified in the trachea (severe cases of equine asthma or bacterial pneumonia.
    • Sometimes you can identify the infected bronchi
  • label the image
    A) percutaneous transtracheal wash
  • A transtracheal wash is extremely useful in suspected pneumonia cases. The fluid can then be assessed via…
    • Culture & sensitivity (best if percutaneous TTW)
    • Aerobic & anaerobic bacterial culture
    • Anaerobic culture media (do not refrigerate!)
    • Cytology representative of both lungs
    • This should be obtained even if pleural fluid is available for culture!
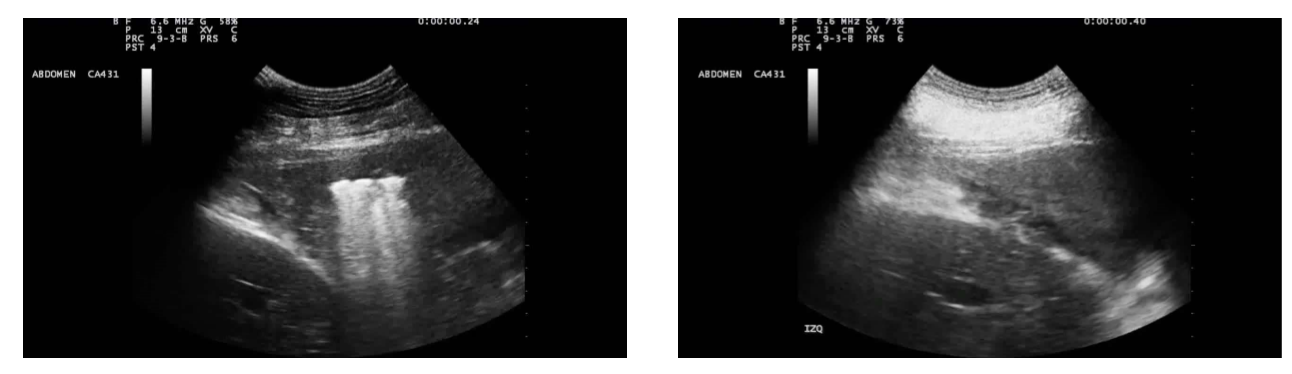
  • ultrasound is beneficial for pathology on the periphery of the lung which is affecting or reaching the pleura. The ultrasound may not reach more internal pathology
  • On the left, there is a consolidated lung with a small amount of gas. On the right-hand side, there is a consolidated lung without air in it.
  • Bronchoalveolar pattern and a collapsed lung on the RHS due to a pneumothorax
     
    A fluid line on the LHS.
  • what pattern is seen in this image?
    bronchoalveolar
  • Radiography can help identify more internal pathology of the lungs. When trying to take images of the lungs attempt to remove fluid from the thorax beforehand to get a more clear image of the lungs.
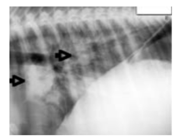
  • what is the diagnosis from this image?
    pulmonary abscess
  • With thoracocentesis, aim to drain with US to avoid the thoracic vein. To perform…
    • Identify 7/8 ICS above costochondral junction
    • Clip, prep aseptically and sedate (local)
    • Perform a stab incision at the cranial edge of the rib
    • Advance drain through incision (pop!)
    • Withdraw trocar, advance blunt tube
    • Secure w/ Chinese finger trap suture (Heimlich valve!)
  • Thoracocentesis has diagnostic value (Culture and sensitivity as well as cytology) but also therapeutic value…
    • Drain pro-inflammatory products
    • Removes bacteria
    • Helps to decrease adhesion formation
    • Provides respiratory function improvement
  • First line antibiotics are used such as…
    • Penicillin + Gentamycin IV
    • Penicillin + Gentamycin + Metronidazole (aspiration pneumonia) 
    Adjustments are based on culture and sensitivity. Inhaled drugs have been investigated in horses including gentamycin, ceftiofur and cefquinome
  • fill in the blanks
    A) jet
    B) ultrasonic
    C) mesh
  • fill in the blanks
    A) cefquinome
    B) cequinome
    C) saline
    D) gentamicin
    E) ceftiofour
    F) gentamicin
  • fill in the blanks
    A) jet
    B) ultrasonic
    C) mesh