Coughing

Cards (38)

  • A cough is a sudden release of pressure from the thorax to remove something. It is only stimulated if the receptors are stimulated. These receptors end in the terminal bronchioles, and hence, if an animal is coughing, it has an irritated airway.
  • Acute coughing can have many causes…
    • Tracheobronchitis -"kennel cough"
    • Irritation by smoke/dust/chemicals/medicines!
    • Airway FB - may have been in there for some time.
    • Pulmonary haemorrhage - often also has dyspnoea
    • Acute pneumonia, e.g. inhalation - often also has dyspnoea
    • Acute oedema - often also has dyspnoea
    • Cardiogenic/non-cardiogenic
    • Airway trauma - choke chains/bites etc.
  • Don’t use cough suppressants unless necessary, the only time you would suppress a cough is if there is airway collapse or primary lung tumours (Structural issues). Coughs are a protective mechanism.
    • Butorphanol/codeine is commonly used
  • Feline airway disease is a continuum/spectrum with acute asthma becoming chronic bronchitis.
  • Feline bronchial disease has had various synonyms over the years e.g. feline asthma, and feline allergic airway disease, it is generally considered to be a type I hypersensitivity condition to inhaled allergens. There is a suspected genetic predisposition as some breeds are more commonly affected e.g. Siamese. Underlying factors include...
    • Smoke, feathers, aerosol inhalation, dust, cat litter
    • Seasonality is often seen and helps with identification of the cause
  • bronchial foreign bodies have a sudden onset coughing and gagging. There is a high frequency in working dogs or those living in rural environments
    • Often have a history of signs after exercising in agricultural fields
    There is often a good initial response to antibiotics but you may see weight loss if infection associated with FB becomes significant. Halitosis may be present and progressive
    • More substantial respiratory signs may suggest progression to pleural disease (can get secondary pyothorax)
  • Thoracic radiographs fully evaluate for signs of pleural involvement in cases of bronchial foreign bodies and determine if local lobar involvement is suggested or if the disease seems more diffuse. You can also perform a bronchoscopy which enables visualisation and retrieval of objects and allows for a BAL and culture for specific antibiotic therapy.
  • KC is a URT/nasal infection (bronchopneumonia) and can close a practice/ward. While spontaneous recovery can occur in 7–10 days systemic antibacterial agents are often dispensed if the patient is pyrexic, systemically ill or has muco-purulent nasal discharge.
    • Amoxicillin is commonly used for Bordetella
  • what lung pattern is seen below?
    bronchial
  • what pattern is seen below?
    bronchial
  • There are many causes to the chronic cough…
    • Chronic bronchitis/bronchiectasis (COMMON in small breed elderly dogs)
    • Left sided heart failure
    • Oslerus/Aelurostrongylus infestation
    • Tracheal collapse
    • Airway F.B. (COMMON)
    • Bronchopneumonia (COMMON)
    • Pulmonary neoplasia -primary or secondary
    • Extra-luminal mass lesions -thyroid, abscess, lymphoma
    • Eosinophilic disease –EBP/PIE/allergic airway disease
    • Pulmonary "fibrosis"
  • Chronic bronchitis commonly presents with daily coughing for more than 2 months and is characterised by
    • Neutrophilic/eosinophilic infiltration of mucosa and thickening of smooth muscle later, fibrosis and scarring of lamina propria
    • Increased goblet and glandular cell size and number
    • Oxidative injury and inflammatory products damage cells and lead to mucus hypersecretion
    • Loss of ciliated epithelial cells and failure of mucociliary clearance and debris
  • Chronic bronchitis causes thickening of bronchial tissue, overproduction of airway mucus and narrowing of the airways (particularly terminal bronchi). This creates the clinical signs of wheezing and productive coughing.
    • Complications are common such as the dilation of airways and airway collapse due to wall weakness (bronchomalacia, weakness of the bronchial wall. Upon auscultation of the cough you can hear the smack of the collapse)
    • The cause is unknown but can be secondary to underlying conditions
  • dogs with chronic bronchitis are worse on excitement and have a harsh cough with attempts at production (clear/frothy usually, yellow suggests infection and they can often swallow the mucous they bring up) and are often externally well but often obese.
    • Occasionally pant excessively
    • Tracheal pinch positive
    • Often very little to find on exam
    • To diagnose, take a typical history and look at the physical findings (often exaggerated sinus arrhythmia) then move on to thoracic radiographs.
    • These cases have an increased bronchial lung pattern.
  • A bronchoscopy (which can help you see the airways collapsing) and BAL can also be performed in cases of chronic bronchitis. BAL results typically show:
    • Increased mucus
    • Non-degenerate neutrophils (there because of inflammation not infection), eosinophils and macrophages
    • Cushmann’s spirals (airway mucus casts)
    • The presence of bacteria / particulate matter is less common and if present would suggest an underlying cause present
  • General management of chronic bronchitis includes weight control the use of a harness rather than a lead and avoiding irritants / a smoking environment. Mucous is easier to shift if hydrated so avoid very dry environments and you can leave them in rooms full of steam from the bath/shower.
  • Medical management of chronic bronchitis includes
    • Glucocorticoids (Oral and inhaled)
    • Bronchodilator therapy
    • Theophylline
    • Beta-agonists – terbutaline, salbutamol, salmeterol
    • Inhaled medications – long-term goal to reduce side effects
    • Coupage - cup your hands and hit the chest, this helps break up the mucous so the dog can cough it up
    • Don’t use cough suppressants unless absolutely necessary
    • Antimicrobials based on evidence of need
  • treatments for LRT disease include…
    • Inhaled medications such as corticosteroids, bronchodilators and nebulisers
    • Oral therapy
    • Anti-inflammatories (corticosteroids mostly and rarely NSAIDs and anti-leukotrienes)
    • Bronchodilators (terbutaline and theophylline)
    • Antibiotics
    • Anthelmintics
    • Mucolytics (n-acetylcysteine)
  • Bronchodilators are helpful in cases of bronchospasm or constriction but will not necessarily help with weak walls and obstructions!
  • To deliver inhaled medications you need 3 items, a mask, a spacing device or chamber and a metered dose inhaler (MDI). Inhaled medications can help manage chronic airway disease, have a faster onset of action and have minimal absorption into the systemic circulation so there are less side effects (particularly with steroids).
  • Long-term control of chronic bronchitis is possible, but there is no cure so the dog will always cough. Most patients continue with periodically productive cough. The major goal is to prevent long-term sequelae which include
    • Secondary pneumonia
    • Bronchiectasis/bronchomalacia
    • Emphysema
  • URT and large airways are not sterile as they have commensal bacteria. These numbers are increased in dogs with reduced clearance. Evidence of infections includes intra-cellular bacteria, growth from BAL fluid and neutrophilic inflammation on cytology.
  • Primary infections of bacterial bronchopneumonia in healthy dogs (and cats) is rare, if this occurs you should promptly search for underlying cause.
    • Common pathogens are E Coli, Klebsiella, Pasteurella, staphs (coag positive), streps, mycoplasma and B bronchiseptica.
    Primary infections are most common with primary pathogens e.g. Bordetella bronchiseptica, Streptococcus equi sub species zooepidemicus and Mycobacteria. There is often mixed infections, with obligate anaerobes
  • S equi sub-species Zooepidemicus has been linked with the outbreak of acute fatal haemorrhagic pneumonia in dogs in several countries. It is highly contagious and has a sudden onset. The clinical signs include pyrexia, dyspnoea, haemorrhagic nasal discharge and haemoptysis which causes severe fibrino-suppurative necrotising haemorrhagic pneumonia.
  • Factors predisposing to bronchopneumonia include…
    • Debilitation
    • Prolonged recumbency (so get these dogs moving!)
    • Systemic immunosuppression (HAC, chemo, pred’s)
    • Immunodeficiency states (weimaraners, caveliers)
    • Defective respiratory defences
    • Damaged respiratory epithelium
    • Aspiration (history of V+ or regurgitation or even swimming)
    • Airway obstruction
    • Systemic sepsis
    • Bronchiectasis
  • The clinical signs of bronchopneumonia vary and these cases occasionally only have minor clinical signs. The signs often relate to the extent of pneumonia and include a cough, respiratory distress, anorexia, lethargy, exercise intolerance and severe infections that may produce hyperthermia. Increased or decreased lung sounds may be present and may include crackles
    • Respiratory distress and cyanosis may develop in severe cases
  • The diagnostic approach to bronchopneumonia involves a CBC, biochemistry, UA, faecal analysis and then thoracic radiographs
    • Alveolar pattern with variable distribution
    • Aspiraion–cranial-ventral
    • Early disease may show only interstitial pattern
    Airway sampling is helpful (TTW/BAL) you can then perform culture and cytology on the fluid. I
  • Treatment of bronchopneumonia includes…
    • Antibiotics –broad spectrum?
    • Supplemental humidified oxygen
    • IVFT
    • Anti-inflammatories
    • Bronchodilators
    • Mucolytics
    • Physiotherapy
    • Nebulisation
    • Surgery
  • Primary lung tumours are often solitary and cause a cough. These tumours are often large and occupy the diaphragmatic lung lobe, dogs are more affected than cats and there are weak links with passive smoking. The more common cause is metastatic disease of oral melanoma, thyroid carcinoma, osteosarcoma, haemangiosarcoma or mammary carcinoma.
  • Why don't lung mets cause coughing?
    They travel vascularly so don’t interfere with the cough receptors in the airways like primary tumours do
  • The median affected age of primary lung cancer is 11 years and they are generally carcinomas (these are classified by location but it is often hard to tell exact origin) but can also get pulmonary lymphoma, pulmonary lymphomatoid granulomatosis and malignant histiocytosis. These cases present with non-productive coughs or exercise intolerance. The prognosis depends on size, location (resectability) and spread.
    • Often you can remove the affected lung lobe
  • list two bronchodilators
    terbutaline and theophylline
  • Filaroides hirthi has the same life cycle as Oslerus osleri. Infection is generally asymptomatic, it was considered ubiquitous and few dogs showed clinical signs. The worms live in the alveoli but radiographs rarely show an alveolar pattern but instead show a diffuse broncho-interstitial pattern.
    • Diagnosis is usually found at PM
    Treatment is rarely indicated but when it is, treated as O. Osleri
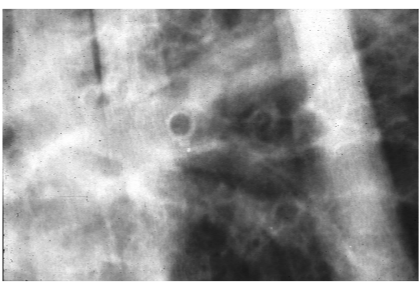
  • The pre-patent period of O. osleri varies between 10 to 18 weeks, and nodules in which worms live appear around 2 months after infection. It is the immune response to adults in the trachea and bronchus that causes the worm to encapsulate. The characteristic nodules (1-1.5cm) can be seen via bronchoscopy, particularly at the tracheal bifurcation, and is the most reliable method of diagnosis
    • Small nodules contain immature worms
    • Large nodules often contain tight coils of adults
  • sampling of tracheal mucus can be used to identify O. osleri eggs and larvae (characteristically coiled in appearance). It is also possible to identify L1 in faeces or BAL fluid (+ eosinophils) but this is less reliable due to variable shedding and requires an experienced parasitologist. Clinical signs may include a chronic cough that is often dry and raspy and particularly occurs after exercise.
    • More notable in young dogs: 6 to 12 months but is rare now
  • Oslerus osleri cases can be hard to treat as nodules remain and may even calcify causing the cough to persist. Commonly fenbendazole is used at 50mg/kg daily for 10 days.
    • Licensed products: Panacur (MSD), Granofen–(Virbac)
    You often need to repeat the treatment 4 weeks later and be sure to check in contacts.
  • crenosoma vulpis is usually a parasite of wolves and foxes that occasionally affects dogs. In dogs, it leads to chronic bronchopulmonary disease and a productive cough. This parasite has an indirect life cycle that involves slugs / snails as intermediate hosts (paratenic hosts eating primary hosts also infective) and has a pre-patent period around 3 weeks
    • The highest incidence autumn
    The adults live in bronchi and bronchioles where they cause bronchitis without creating nodules. Treat with fenbendazole
  • what is the diagnosis?
    O. osleri