Small animal

Subdecks (16)

Cards (1923)

  • 7yo MN lab X presents with a hx of nasal discharge and recent epistaxis. the nasal discharge has been present for 2 weeks and has gotten worse, progressing to epistaxis. the dog has also had episodes of reverse sneezing. what questions do you want to ask the owner?
    • any change in energy / demanour?
    • any trauma / injury?
    • is the discharge unilateral or bilateral?
    • any other abnormalities / signs noticed?
  • A 7-year-old MN lab X has a history of nasal discharge and recent epistaxis. The nasal discharge has been present for 2 weeks and has gotten worse, progressing to epistaxis. The dog has also had episodes of reverse sneezing. What specific areas will you focus on during your exam?
    • facial symmetry
    • dental / oral examination
    • assess for discharge from the nose
    • rectal temperature
    • mucous membrane colour
    • heat / swelling or pain over the nose
    • assess eye health
    • palpate the nearby lymph nodes
    • assessment of the respiratory system
  • what causes reverse sneezing?
    an irritant or obstruction in the nasopharynx e.g., FBs, URT infections, allergies, polyps, tumours etc. anatomy e.g., brachycephalic breeds are predisposed
  • what are the four differentials for mucopurulent nasal discharge / epistaxis in dogs?
    • neoplasia
    • foreign body
    • aspergillosis
    • allergic rhinitis
  • 7yo MN lab X presents with a hx of nasal discharge and recent epistaxis. the nasal discharge has been present for 2 weeks and has gotten worse, progressing to epistaxis. the dog has also had episodes of reverse sneezing and the discharge is unilateral. how will you investigate?
    • rhinoscopy - assess for polyps, FBs, masses etc, collect samples for cytology and biopsy
    • haem + biochem - signs of inflammation + assess the general health for sedation/ GA
    • coagulation profile
    • radiography of the nasal turbinates
    • culture and cytology of the discharge
  • a cat is being rushed in for breathing difficulties what equipment and drugs do you need to get ready?
    • oxygen cage
    • ET tube and anaesthetic machine
    • IV catheter
    • Ultrasound machine
    • induction agent e.g., propofol
    • butorphanol
    • terbutaline (bronchodilator)
  • on thoracic ultrasound of the lungs what two key signs should be observed?
    • glide signs in the near field representing normal motion of the pleura along the thoracic wall
    • a lines - parallel lines in the horizontal plane representing the resonance of US between pulmonary fissures
  • how would you differentiate V+ from regurg?
    • how soon is it after eating? (regurgitation occurs soon after eating while V+ is more variable)
    • is there any hypersalivation or attempts to swallow? this is consistent with V+
    • is there any active retching or abdominal effort? this is present with V+ only
    • what does it look like? if undigested food is present regurgitation is more likely
  • list gastrointestinal causes for V+ in cats
    • inflammatory bowel disease
    • lymphoma
    • parasitic bacterial or viral disease
    • food responsive enteropathy
  • list extra-GIT causes of V+ in cats
    • hyperthyroidism
    • pancreatitis
    • hepatobiliary disease
    • renal disease
    • vestibular disease
    • medication reactions
  • what is the mode of action for the maropitant?
    NK 1 receptor antagonist - blocks the action of substance P to prevent nausea signals from reaching the brain
  • what are the three categories of jaundice with examples?
    • pre-haptic e.g., IMHA, babesiosis and onion toxicity
    • hepatic e.g., carcinoma, lymphoma and leptospirosis
    • post-hepatic e.g., cholelithiasis, gallbladder mucocele and pancreatitis
  • determining if anaemia is hyper, normo and hypochromic depends on what value?
    MCHC
  • determining the cell size in anaemia is dependent on what?
    MCV
  • what type of anaemia does this dog have?
    regenerative, normocytic, hypochromic anaemia
  • how to perform the coombs test?
    • collect blood into an EDTA tube
    • spin to remove plasma
    • expose the washed RBCs to coombs reagent
    • microscopic examination is performed to see if agglutination has occurred
    • if they have clumped together this is a positive test which indicates the presence of IMHA
  • what blood types or typed for in the UK prior to a blood transfusion?
    DEA 1.1 negative and DEA 1.1 positive
  • which canine blood type is the universal donr?
    DEA 1.1 negative
  • what are the causes of pink/red urine?
    • haematuria e.g., bleeding disorders, bladder stones and UTI
    • iatrogenic blood from sampling (cystocentesis only)
    • haemoglobinuria e.g., IMHA and toxins
    • myoglobinuria e.g., muscle damage
  • what four biochemistry markers increase with HAC?
    phosphate, cholesterol, ALP and ALT
  • Cytological examination of fluid obtained by thoracocentesis from a dog with dyspnoea showed the following: A cellular effusion containing a mixture of non-degenerate neutrophils and small lymphocytes with scattered occasional red blood cells. What is the underlying cause likely to be?
    chylothorax
  • You are presented with an 8 ]yo MN springer spaniel, the owner reports that the dog has been sneezing and rubbing the right side of its face on the carpet for the last 10 days. This has been getting progressively worse and recently the dog has developed a unilateral right-sided purulent nasal discharge. Your colleague prescribed a course of broad spectrum antibiotics which resulted in a decrease in the severity of the discharge which has worsened again since the antibiotic course was completed. Which condition affecting the canine nasal cavity is the most likely diagnosis?
    nasal foreign body
  • A 10-year old female neutered springer spaniel presents to you with a 6 month history of coughing, the cough is dry and non-productive and is not getting any better or worse. The dog is otherwise well, plain lateral and dorso-ventral thoracic radiographs are largely unremarkable, a bronchoalveolar lavage sample reveals 76% non-degenerate neutrophils, no infectious organisms are seen or cultured. What is the most likely diagnosis?
    chronic bronchitis
  •  
    You evaluate a kitten that you suspect has cat flu.  The kitten has ocular discharge, corneal ulceration, sneezing, pyrexia and inappetence. Which feline virus is most likely to account for these signs?
    herpes
  • You are presented with a 9 yr old, female German shepherd dog which stopped eating 5 days previously, has vomited several times and has been dyspnoeic for 3 days prior to radiography. You obtain a plain left lateral thoracic radiograph. What is the predominant lung pattern you can see in the cranial fields?
    alveolar
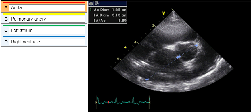
  • label the image
    A) D
    B) C
    C) A
    D) B
  • This electrocardiogram was taken from a 7 year old Labrador who the owner reports has been suffering from sudden onset exercise intolerance. The dog has a grade I/VI systolic heart murmur which is loudest over the mitral valve. Given these findings, what is the most likely heart disease that is causing his clinical signs?
    Dilated cardiomyopathy
  • What red cell abnormality, detected on a blood smear, arises as a result of retention of nuclear remnants?
    Howell-Jolly bodies
  • A 14 year old cat is presented with increased thirst and reduced appetite.  Initial biochemical and urine samples suggest chronic renal disease.  Her haematology data shown below. What type of anaemia is present?
    Microcytic hypochromic, non-regenerative.
  • What describes the likely haematological changes during an acute inflammatory response?
    Leucocytosis, neutrophilia, left shift.
  • You have diagnosed a case of alimentary lymphoma in an 11 year old cat and decide to use the COP protocol. 
    Which THREE chemotherapeutic agents does it contain?
    Cyclophosphamide, Vincristine and Prednisolone.
  • A 3 year old DSH cat from a multi cat household is very lethargic with a reduced appetite. Which of the following features found on ultrasound would be most helpful in differentiating FIP from feline lymphoma in this case?
    • Small volume of peritoneal, pleural and pericardial fluid.
  • A specific marker of hepatocellular damage = alanine aminotransferase
  • A marker of cholestasis not affected by steroid administration.= gamma-glutamyl transferase
  • A marker of liver function often measured as part of a dynamic test = bile acids
  • A marker of liver function which is also increased in haemolytic anaemia = total bilirubin
  • Which toxin would you expect to be the cause of tremors, hyperaesthesia, seizures and salivation in a dog who primarily lives outside and is known to scavenge snails and slugs?
    Metaldehyde
  • Gingivitis is an important and reversible disease in dogs and cats. It requires prompt and effective treatment to reduce the risk of progression to WHAT which is an irreversible sequel?
    periodontitis
  • A urine dipstick test shows a strongly positive result for protein. What is the most common post-renal cause for this?
    • Lower urinary tract infection.
  • You need to prescribe a suitable diet for an overweight diabetic cat. What dietary features will you recommend and why?
    Low carbohydrate/high protein diet to reduce glucose toxicity and normalise fat metabolism.