Feline resp disease

Cards (18)

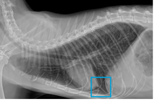
  • what can be noted in the blue box?
    air trapping
  • the cardiac silhouette and diaphragm should touch on radiograph, if they do not then this is indicative of air trapping
  • Heart failure is the most common cause of respiratory difficulty in the cats so be sure to rule this out when investigating as asthma. Even if you don't hear a murmur or gallop rhythm, consider heart disease! Coughs often rule this out
  • Age at presentation can be an important clue to diagnosis. Lower airway disease tends to affect young adult to middle aged cats but can affect cats of any age.
  • Laryngeal disease will present with laboured inspiration, stridor increased effort and a slow inspiratory phase +/-change in purr or vocalisation. In these cases, check the clinical history for signs of…
    • Dysphagia +/-salivation
    • Coughing /gagging (which may be triggered by eating/drinking)
    • “Head shaking” behaviour can indicate nasal disease
  • LRT disease is often more subtle than URT and signs include
    • Laboured expiration
    • A prolonged expiratory phase with an additional expiratory push and an audible expiratory wheeze
    • Increased airway resistance due to bronchospasm or mucous or bronchial wall thickening
    • +/- occasional paroxysmal cough
    Check if the signalments fit and the physical examination can be deceptively normal (helps to rule out other diseases). Be sure to auscultate in a quiet room and listen for an expiratory wheeze. Also be sure to check the heart for a murmur, gallop signs and rate
  • fill in the blanks
    A) neutrophillic
    B) coughing
    C) bronchoconstriction
    D) eosinophillic
  • Hyper-reactivity of the bronchial smooth muscle is a type I hypersensitivity due to an autonomic imbalance and or a mucociliary imbalance. Often there is acute bronchoconstriction in response to a trigger factor. Inflammation of bronchial mucosal lining leads to histamine and leukotriene release.
  • Airway obstruction occurs due to bronchoconstriction, inflammation and mucus plug in narrowed bronchioles. Air trapping leads to the destruction of alveoli. The end result is chronic damage that is irreversible due to remodelling.
    • Spontaneous rib fractures can occur
  • differentials for coughing are
    • Upper respiratory tract disease
    • Inflammatory lower airway disease
    • Infectious –bacterial, viral, parasitic
    • Foreign body
    • Neoplasia
  • differentials for hyperpnoea/tachypnoea are...
    • Stress/pain/fear response (mouth breathing)
    • CNS disease
    • Anaemia/hypovolaemia
    • Heatstroke
    • Cardiac disease
    • Respiratory disease (airways and lung parenchyma)
    • Pleural space disease
    • Mediastinal disease
    • Ruptured diaphragm
    • PPDH
  • differentials for eosinophilic inflammation on BAL cytology include: feline inflammatory airway disease (asthma/bronchitis), viral pneumonia, parasitic and HE
  • In a respiratory crisis, treatment includes…
    • Management of inflammation (dexamethasone iv)
    • Management of bronchospasm
    • Terbutaline (ideally rule out heart disease first)
    • A selective β2 receptor agonist that acts as a smooth muscle relaxant and also aids with bronchodilation
    • Inhaled salbutamol
    • A selective β2 receptor agonist that can be given every 30 mins for 2-4 hrs but stop if it stresses the patient
    • Oxygenation
  • Treatment longer term for asthma includes…
    • Reducing allergens
    • Giving prednisolone po for 2 to 3 weeks
    • If no response to prednisolone, review the case and repeat test for Mycoplasma/or try a treatment trial, consider if lungworm is possible and consider ciclosporin
    • Steroids are diabetogenic in cats. If side effects include polydipsia and polyuria treatment must stop
    • Consider inhaled fluticasone if improved
    • Studies have confirmed route of delivery works
    • Some oral ingestion/absorption might occur
  • feline lungworm requires the paratenic host of rodents and birds and have a pre-patent period of 1 to 2 months. Most infected cats are asymptomatic but clinical presentation can occur in young cats and these present with mild coughing but might become dyspnoeic.
    • Radiography: similar to inflammatory airway disease +/-alveolar component if severe
    Diagnosis involves identifying L1 larvae but be aware that false negatives can occur
    • Consider faecal flotation / Baermann's technique
    • Airway wash analysis
    Treatment trial can be done with fenbendazole
  • feline lungworm = aelurostrongylus abstrusus
  • M felis is associated with lower airway disease (pneumonia) in cats but might also cause URT signs.
    • Not all infections are significant and instead they might be a contributing factor in feline inflammatory airway disease
    Clinical signs include a fever, cough, tachypnoea and lethargy. Diagnosis is based on a PCR from the tracheal wash and treatment is doxycycline.
  • M. bovis and M. microti can cause pneumonia in the late stage of the systemic spread of infection. Early cutaneous signs include a bite from an infected vole or rodent or non-healing sores or nodules +/- large lymph nodes. Early GI signs can occur after ingestion via contaminated milk, for example, and include vomiting, diarrhoea, weight loss and poor appetite. Diagnosis involves histopathology and PCR (seek advice because we need to consider zoonotic aspects)