URT surgery

Cards (20)

  • Primary and secondary factors of BOAS include…
    • Stenotic external nares (primary)
    • Relative overlength and hypertrophy of the soft palate (primary but hypertrophy is secondary)
    • Tonsillar hypertrophy (secondary)
    • Relative oversize of the tongue (primary)
    • Everted laryngeal ventricles/saccules and laryngeal collapse (Secondary)
    • Pharyngeal collapse (secondary)
    • Tracheal hypoplasia / stenosis (primary and means a small trachea)
    • Glosso-epiglottic mucosa displacement (secondary)
    • Scrolling of epiglottic cartilage (secondary)
    • Vomiting/regurgitation (secondary)
    • Sliding hiatal hernia (primary)
  • label the image
    A) epiglottis
    B) vocal folds
    C) cuneiform
    D) piriform
    E) cricoid arch
  • Stertor is common with BOAS breeds but they can present with stridor if they have laryngeal disease / collapse
  • Relative overlength and hypertrophy of the soft palate can be corrected surgically with either a partial staphylectomy (Cut back to the length of the tonsillar fossa) or a folded flap palatoplasty (This method removes muscle and shortens the palette)
  • Everted laryngeal ventricles/saccules and laryngeal collapse can be treated surgically with excision. the severity of this condition can be graded
    • Stage one includes laryngeal saccule eversion
    • Stage two includes medial deviation of the cuneiform cartilage and aryepiglottic fold or aryepiglottic collapse
    • Stage three includes medial deviation of the corniculate process of the arytenoid cartilages or corniculate collapse
  • with acute respiratory distress due to BOAS, rest and calm both the dog and owner while cooling and providing supplemental oxygen to the dog. It may be necessary to sedate the dog, obtain intravenous access (IV corticosteroids) and then anaesthetise and place a tracheostomy tube. It is likely that once a dog starts collapsing / can't be brought back to "normal" with oxygen therapy they immediately need to go for airway reconstruction
  • The size of the rima glottidis is determined by the respiratory needs of the animal.
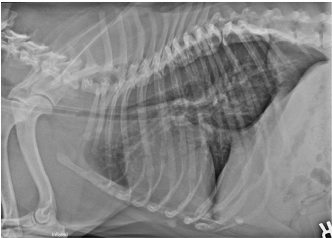
  • what has happened in this image?
    tracheal hypoplasia / stenosis
  • During inspiration, the cartilages are abducted while in expiration, the cartilages are adducted.
  • Laryngeal paralysis is often idiopathic and causes the following signs: stridor, cough, dyspnoea, change in phonation, exercise intolerance, open-mouthed breathing, increased abdominal effort, and collapse. These signs are common in older large-breed dogs (typically labradors and retrievers).
    • The signs are related to the severity of the paralysis present and most dogs present late in the course of the disease (owners often can't say when it started)
    • Clinical signs worse when the dog is hot, excited and exercised
  • To diagnose laryngeal paralysis, anaesthetise the animal and perform a laryngoscopy, you won't see adduction and abduction of the larynx. Paradoxical adduction can occur (due to the drop in air pressure) so it is important to know when the dog is moving in and out to identify normal laryngeal movement better.
    You can also survey inflated radiographs of the thorax, perform a neurological examination as well as routine haematology and blood biochemistries
    • Sometimes thyroid function testing occurs.
  • laryngeal paralysis can be surgically managed via arytenoid lateralisation (tieback) which aims to widen the rima glottidis and prevent dynamic collapse of the arytenoid cartilage.
    • Almost invariably performed as unilateral procedure. If you do it bilaterally then the animal is more likely to aspirate
    During the post-operative period observe feeding and drinking as well as providing strict rest for 2-3 weeks, antibiotics, analgesics. After the rest period a harness is advised.
  • Complications of a tieback include…
    • Seroma formation
    • Aspiration pneumonia
    • Inadequate lateralisation
    • Suture failure/recurrence
    • Change in bark
  • Tracheal collapse generally refers to a condition of excessive collapsibility of the trachea which usually results in dorsoventral flattening of the tracheal lumen.
    Clinical signs include a classic ‘goose-honk’ cough this can be brought on by pulling on collar & lead, exercise or just anything that makes the dog cough. This can be diagnosed via radiography or endoscopy in conjunct with the clinical signs
  • Medical management of tracheal collapse includes…
    • Antitussives
    • Bronchodilators (not always helpful as the muscles are weakened)
    • Antibiotics
    • NSAIDS
    • Corticosteroids (inhaled as is more target and is safer)
    • Bronchodilators (inhaled as is more target and is safer)
    Surgical management includes open ring prosthesis and stenting, this is done when medical management is not as effective as hoped. The stent will grow into the mucosa over time.
  • Chronic rhinitis (can be mild or severe) is a common cause of chronic nasal discharge in cats. It is characterised by inflammation and swelling of the conchae, an increased mucus production and usually secondary infection.
    • The mucopurulent secretion may contain blood
  • In some cats the inflammation continues and becomes more severe, resulting in loss of conchae. Cats with chronic destructive rhinitis look similar endoscopically to dogs with aspergillosis of the nasal passages
    • It has been suggested that feline herpesvirus 1 could play a role in chronic nasal inflammation, resulting in destructive rhinitis
    It is hard to find the specific cause for chronic rhinitis in cats and hence treatment is often supportive and symptomatic.
  • Fungal rhinitis (Aspergillosis) is mainly seen in medium to long nosed breeds of dogs (rarely in cats) and is a common cause of nasal disease (but is less common than neoplasia). Aspergillosis grows in most environments but is common on dogs that run around farm and stable muck heaps.
     
    Clinical signs: unilateral (or bilateral) green mucosal discharge (with blood specks), epistaxis and a head shy dog. It is quite destructive and can erode bone.
  • Fungal rhinitis is challenging to treat, you can remove the plaques endoscopically.
    A) anorexia
    B) V+
    C) topical therapy
  • The delivery method for topical therapy (for fungal rhinitis) includes a catheter placement into the frontal sinuses (twice a day) via surgery and an infusion of nasal cavities under GA. The infusion is less invasive, cheaper, less GA time but long-term resolution is worse.