pleural space disease

Cards (34)

  • this can be caused by...
    • Pleural effusion (blood, pus, chyle, true/modified transudate)
    • Pneumothorax
    • Neoplasia (pleural or mediastinal)
    • Ruptured diaphragm
    • Pleural space is in contact with the diaphragm so this rupture gut can be in the pleural space.
    • Some animals can cope well with this, but some can't
    • Abdominal abnormality (severe ascites/mass which pushes on the thorax)
    • Gross cardiomegaly
  • the pleura = the inner wall of the body cavities lined by a single layer of mesothelial cells
  • The pleura covering the surface of the lung is the visceral (pulmonary) pleura. It is reflected around the root of the lung and becomes continuous with the mediastinal pleura . This in turn is continuous with the diaphragmatic and costal pleura.
    • Mediastinal, diaphragmatic and costal pleura are the parietal pleura
  • label the image
    A) visceral
    B) parietal
    C) costal
    D) mediastinal
  • pleural space = the narrow space between the parietal and viscera pleura is the pleural cavity
  • the pleural space contains a small amount of serous fluid spread over the surface of the pleura ~ 0.1ml/kg, this establishes adhesion and allows for smooth movement of the lungs when breathing
    • Sub-atmospheric (negative) pressure is normally here. This is sometimes to blame for fluid accumulation
  • mediastinum = the space between the left and right pleural sac around the lungs
  • pleural space disease can be due to the accumulation of:
    • Fluid (pleural effusion)
    • Air (pneumothorax)
    • Soft tissue mass e.g. abdominal organs or neoplasia
  • In addition to direct compression of lungs can also lead to a loss of negative pressure causing the lungs to collapse .
    • Fluid etc restricts the ability of the lungs to inflate so is sometimes called restrictive lung disease
  • Clinical signs can be acute or chronic and include…
    • A “restrictive” breathing pattern: short, shallow breaths (mimics panic attack breathing)
    • Tachypnoea
    • Open mouth breathing (severe sign in cats and means they need immediate oxygen supplementation)
    • Dyspnoea, Respiratory distress
    • Orthopnoea (using their bones to help them breathe)
    • Elbow abduction and prefers  sternal recumbency,
    • Normal in a tortoise but not in small animal species
    • Cyanosis
  • pleural effusion = accumulation of more fluid than normal in the pleural space
  • A number of different fluid types can be present…
    • Transudate
    • Low protein
    • Modified transudate
    • High protein
    • Exudate
    • High celled fluids
  • The most common cause of pure transudate is due to decreased oncotic pressure due to hypoalbuminemia e.g. protein-losing enteropathy, liver disease or malnourished individuals. Transudate will pool in the spaces and legs (areas with negative pressure)
  • The most common cause of modified transudate is due to increased hydrostatic pressure secondary to right sided heart failure (e.g. pericardial disease, cardiomyopathy, pulmonary hypertension, pulmonic stenosis)
    • Other causes include: Diaphragmatic hernia, a lung lobe torsion (the torsion can damage capillaries) or neoplasia (irritates the capillaries and makes them leaky)
  • Exudate is a high celled fluids, these can then be …
    • Non-septic e.g. in cases of FIP, neoplasia, chronic chylothorax, chronic lung lobe torsion, fungal infection
    • Septic (pyothorax) e.g. in Penetrating chest wound, foreign body inhalation (grass seed), ruptured oesophagus, ruptured pulmonary abscess / tumour, haematogenous bacterial spread
    • Blood (haemothorax) e.g. in trauma, coagulopathy, neoplasia, lung lobe torsion
    • Chyle (chylothorax) due to the disruption of the thoracic duct
  • fill in the blank
    A) chylothorax
  • when a diagnosis is made, immediately perform a thoracocentesis, this is diagnostic but also provides immediate relief from clinical signs. Then the fluid can undergo cytology to assess cell counts, protein content and potentially perform bacterial culture. For a thoracocentesis you need to clip the area (quiet clippers if possible to reduce stress) and quickly prepare the site.
    • Local anaesthetic is rarely needed unless large bore catheter
    Place a butterfly needle or catheter at between 6 and 8 intercostal spaces (ideally localise large pocket of
    fluid with ultrasound first).
  • indications for thoracostomy include…
    • Animals that will require multiple thoracocentesis over a short period of time
    • If large volumes of effusion
    • Pneumothorax
    • Chest wall injuries (Flail chest / Flail segment)
    • Bite wounds
    • Most pyothorax cases
    • Following chest surgery
  • Fluid is produced mainly from parietal pleural vessels by capillary filtration and this is reabsorbed mainly by parietal lymphatic vessels.
    Effusion occurs if there is decreased pleural fluid absorption or increased fluid formation
  • pleural fluid is usually unilat or bilat?
    bilateral
  • causes of pneumothorax include…
    • Rupture of major airways / lung parenchyma
    • Thoracic trauma (e.g. broken rib lacerates pleura, penetrating wound)
    • Perforation of the oesophagus into the pleural space
    • Bullous, necrotising or neoplastic lung disease which leak air into pleural space
    • Iatrogenic (e.g. prolonged ventilation (or overventilation) under GA, bronchoscopy)
    • Gas producing bacterial infection in pleural space (rare)
  • The loss of negative pressure in pleural space means that lungs are not effectively “coupled” to rib cage. As the rib cage is raised, the lungs do not inflate this causes the lungs to collapse and tidal volume is very low.
    • Severity depends on the degree of pneumothorax and the underlying disease
    Clinical findings include restrictive breathing (slow and rapid breaths), auscultation reveals dull lung sounds dorsally but increased sounds ventrally (bronchovesicular) and percussion will have an increased resonance (like a drum!).
  • Heimlich valve = a One way valve allows air to exit chest but not enter
  • a tension pneumothorax occurs when there is a lesion in the lung parenchyma or an airway that acts as “one way valve”, this leads to a rise in pleural pressure causing severe lung compression. This pressure can exceed central venous pressure, reducing venous return and cardiac output.
    • Rapidly life threatening
  • Most cases of spontaneous pneumothorax present with rapid progression of respiratory distress with a history of dyspnoea, anorexia and vomiting. The most common cause is ruptured pulmonary bulla or sub-pleural bleb which can occur with chronic asthma in cats.
    • Diagnosis as for traumatic pneumothorax
    Medical management aims to stabilise until diagnostic tests decide whether surgical intervention is required, this includes a lobectomy as necessary (referral).
    • Prognosis is dependent on the underlying cause
  • mediastinal lymphoma occurs most commonly in young cats (predisposition for Siamese), also seen in dogs with multicentric or stage 3-5 lymphoma if so, is considered a negative prognostic indicator. The clinical signs are tachypnoea, inspiratory hyperpnoea, dull heart sounds, pleural effusion (cytology for dx) and a non-compressible anterior mediastinum
    • Check FeLV/ FIV status (~50% positive for FeLV)
    To properly diagnose a thymoma consult a cytologist and treatment includes chemo +/- radiotherapy, the animal often enters remission but is rarely cured.
  • Mesotheliomas are rare and arise from epithelial lining cells (this can be pleural, abdominal, pericardial), there is a major link with asbestos inhalation but the mechanism is very complex. This leads to large volume effusions and a lot of pain. This will present with multifocal small masses that are hard to image (Ultrasound and CT most useful)
    • Diagnosis is hard, histopathology is ideal but thoracoscopy is best as it's non-invasive.
  • whats the diagnosis?
    pleural effusion
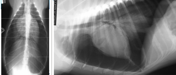
  • whats the diagnosis?
    pneumothorax
  • fill in the blanks
    A) transudate
    B) modified transudate
    C) exudate
  • fill in the blanks
    A) pyothorax
    B) congestive heart failure
    C) FIP
    D) Neoplasia
  • fill in the blanks
    A) transudate
    B) modified transudate
    C) exudate
    D) pyothorax
    E) chylothorax
  • what can be seen in the blue square?
    a retracted lung lobe
  • what is the diagnosis?
    chylothorax