Localising breathlessness

Subdecks (3)

Cards (95)

  • pleural diseases = increased inspiratory and an increased expiratory effort
  • LRT restrictive disease = fast shallow breaths
  • URT disease = slow respiratory rate with an increase in inspiratory effort
  • Tachypnoea = Increased respiratory rate
  • Hyperpnoea = Increased respiratory effort
  • Orthopnoea = Dyspnoea in any position other than standing or erect sitting – usually due to bilateral pulmonary oedema
  • Trepopnoea = dyspnoea in one lateral recumbency but not the other – unilateral lung or pleural disease, or unilateral airway obstruction e.g unilateral pleural effusion
  • wheezes = high pitched
  • rhonchi = low pitched
  • wheezes and rhonchi are commonly expiration noises
  • wheezes and rhonchi are often due to the narrowing of airways
  • crackles = rales which can be dry of moist
    • moist = CHF and is most prominent on inspiration
    • dry = acute or chronic
  • with a pleural effusion the tympanic sounds created by the chest wall during percussion are dull below the fluid line but normal above it
  • what makes up the respiratory portion of the resp tract?
    bronchioles, alveolar ducts, alveolar sacs and the alveoli
  • what makes up the air conducting portion of the resp tract?
    the nasal cavities, nasopharynx, larynx, trachea, bronchi and bronchioles
  • the respiratory portion of the resp tract has simple squamous epithelium with scant loose connective tissue
  • Respiratory epithelium = ciliated, pseudostratified columnar epithelium
  • the bronchi have the muscularis, a layer of smooth muscle which the trachea does not have
  • More distally, the respiratory epithelium becomes simple columnar or simple cuboidal (still ciliated!)
  • alveoli epithelium = simple squamous
  • bronchiole epithelium = simple cuboidal
  • Alveolar ducts = Elongated airways that are lined by alveoli only
  • Alveolar sacs = Spaces surrounded by clusters of alveoli
  • Type 1 alveolar cell (type 1 pneumocyte) = Very thin squamous cell, line 95% of the alveolar surface
  • Type 2 alveolar cell (type 2 pneumocyte)= Cuboidal cell, secretes surfactant, covers ~ 5% of the alveolar surface
  • URT disease is characterised by inspiratory difficulty and audible noise
  • Pleural space disease may have characteristic respiratory pattern and possible muffled heart and lung sounds
  • dyspnoea = difficult or laboured breathing
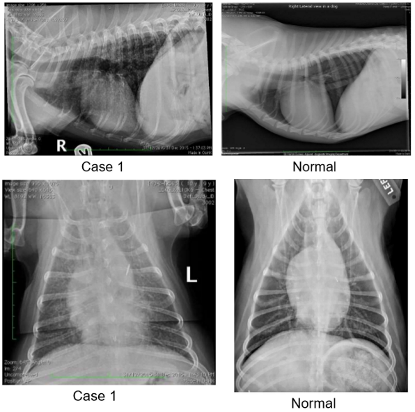
  • what pattern is present in this case?
    interstitial
  • what pattern can be seen below?
    interstitial