alveolar disease

Cards (25)

  • Alveolar diseases include…
    • Aspiration pneumonia
    • Pulmonary oedema (cardio vs. non-cardiogenic)
    • Pulmonary haemorrhage
    • Eosinophilic lung disease
    • (Pulmonary parasites)
    • (Pulmonary neoplasia –primary/metastatic)
    • (Infectious pneumonias)
  • Clinical signs of pulmonary parenchymal disease usually includes an increased inspiratory and expiratory effort +/- a cough.
    • Some interstitial lung diseases however limit compliance and so inspiratory effort predominates
    Can see less frequently haemoptysis, collapse/syncope or cyanosis. Occasionally minimal signs of respiratory disease are noted even with severe pathology -particularly in cats.
  • Primary infection is uncommon in dogs but secondary respiratory tract infections are common e.g. in chronic bronchitis, and compromised mucociliary clearance. Antibiotic selection should ideally be based on culture and sensitivity and a high concentration is required in the lungs. The antibiotic needs to penetrate, and dissolve in blood-bronchus barrier (drugs reach the airways via passive diffusion)
    • Lipophilic antibiotics (with a low Mr) penetrate this best. They also need to be effective against respiratory pathogens and ideally should be bactericidal.
  • In severe infections, adjuvant mucolytic therapy would be indicated with antibiotics as this enables better penetration of drugs into the respiratory tract.
  • Bromohexine increases lysozyme activity and IgA concentration and is a mucolytic
  • metronidazole = a macrolide
  • fill in the blanks
    A) fluoroquialones
    B) metronidazole
    C) doxycycline
    D) penicillin
    E) amoxicillin
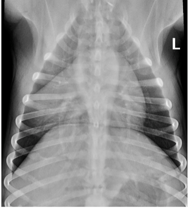
  • what pattern is seen in this image?
    alveolar
  • alveolar infiltrate = patchy / focal
  • aspiration pneumonia is where there is inhalation of material into the lower airway which may be stomach contents with variable amounts of particulate matter.
    • Care with nursing recumbent patients
    The outcome depends on nature and amount of aspiration
    • pH, bacterial contents, volume, particle size
    • Chemical aspiration –pneumonitis
    • Large volumes of fluid –drowning event
    • PEG fluids (bowel prep) –pulls interstitial fluid into the lungs
    • Primary infection due to aspiration is less common
    • This usually occurs as a secondary event due to damage
  • clinical signs of aspiration pneumonia include a cough, harsh/reduced lung sounds, tachypnoea and pyrexia.
    • Be sure to check oxygenation in these patients
    For diagnosis, radiographs can be taken, and in these cases there will be alveolar infiltrate (patchy/focal). The most common affected lobes are right middle, right cranial and left cranial.
  • bronchopneumonia is where the airways and alveoli are full of neutrophils (no air filled structures evident)
  • Pulmonary oedema is often the consequence of various conditions…
    • Increased hydrostatic pressure
    • Reduced oncotic pressure
    • Increased vascular permeability
    • Impaired lymphatic drainage
    This leads to fluid accumulation in the interstitium and subsequently in the alveoli at a rate that exceeds removal.
    • Ventilation perfusion mismatching and hypoxaemia
  • There are two types of pulmonary oedema, and the main difference is the type of fluid…
    • Cardiogenic (more common)
    • Low protein due to increased hydrostatic pressure without increased vascular permeability
    • Non-cardiogenic
    • There is a higher protein fluid in alveoli
  • Causes of non-cardiogenic pulmonary oedema are
    • hypoalbuminemia rarely causes pulmonary oedema due to efficient pulmonary lymphatics
    • Lymphatic damage is more likely to cause a chylous effusion rather than pulmonary oedema
    • Neurogenic form (along with electric shock) (pathophysiology is unclear but thought to be due to intense pulmonary vasoconstriction and inflammation both increase vascular permeability)
    • Most common cause is pulmonary epithelial injury
    • Choking, near-drowning, electric shock, head trauma, smoke inhalation, systemic inflammation (SIRS)
  • what pattern can be seen here?
    broncho-interstitial
  • eosinophillic bronchopneumopathy is more common in dogs, with reactive eosinophilic airway disease occurring in cats. This typically occurs in young adults and can either have an acute or chronic presentation. These cases are usually coughing but you can also see weight loss. Radiographs show a diffuse broncho-interstitial pattern although can see alveolar patterns (can be dense infiltrates).
    • Circulating eosinophilia occurs in about 50% dogs, some will have hypereosinophilic syndrome.
  • For a diagnosis of eosinophilic lung disease, a BAL is performed as a caution to look for parasites, neoplasia and fungal disease. Treatment –prednisolone 1-2mg/kg daily
    • The outcome is often very good unless other organs are involved in which case the prognosis is guarded
  • fill in the blanks
    A) nematode
    B) pulmonary
    C) indirect
  • fill in the blanks
    A) vena cava
    B) pulmonary artery
    C) pulmonary capillaries
    D) alveolar
    E) faeces
  • The clinical signs of A. vasorum:
    • Various respiratory signs, such as a chronic cough (productive with occasional haemoptysis), exercise intolerance, syncope, dyspnoea, and tachypnoea
    • Pulmonary hypertension in heavy burdens
    • Coagulopathies - anaemia, subcutaneous haematomas, internal haemorrhages, prolonged bleeding from wounds or after surgery.
    • Thrombocytopenia, prolonged APTT and OSPT, elevated D-dimer (previously measurement of FDPs was used) –via consumptive coagulopathy –chronic DIC. Also causes immune mediated thrombocytopaenia.
    • Neurological dysfunction
  • A.vasorum may be a difficult disease to diagnose, signs may be very suggestive but you typically need to take a number of diagnostic samples due to intermittent shedding in faeces. Direct evidence include…
    • L1 in faeces (flotation techniques) using pooled samples
    • L1 in faeces also detectable by smear methods
    • L1 in bronchoalveloarlavage fluid (BAL)
    Supportive evidence of A. vasorum include…
    • Radiograph may show alveolar infiltrates
    • Eosinophilic inflammation on BAL fluid
    Diagnosis can be made by a cage side snap test or a PCR on the BAL or pharynx swabs.
  • A.vasorum licensed products include…
    • Advocate (Bayer), Prinovox (Virbac) spot on
    • (Imidacloprid and Moxidectin)
    • Milquantel (MSD), Milbemax (Elanco, 0.5mg/kg orally), Milbactor (Ceva)
    • Milbemycin oxime and praziquantel
    Unlicensed products include..
    • Fenbendazole, effective but unlicensed - suggest treating at weekly intervals every 3 weeks for 3 treatments
    • low dose to reduce the complications of acute treatment deterioration from massive worm death and liberation of worms
    • Levamisole and ivermectin also effective but unlicensed (potential side effects)
  • Dogs in endemic areas of A. vasorum that are treated every 3 months with milbemycin are half as likely to test positive for angiostrongylus as those treated with fenbendazole or untreated.
  • In the early stages of the disease, a multifocal or peripheral alveolar pattern can be visualized. This pattern is associated with pulmonary granulomas or haemorrhage caused by A. vasorum. As the infection progresses, an interstitial pattern is seen throughout the lung parenchyma, along with pleural fissure lines.