Cards (49)

  • Haematopoiesis is the process if generation of blood cells which happens in the bone marrow. It starts from a pluripotent stem cell which divides into two multipotent cells. One of these multipotent cells produces the T and B lymphocytes while the other will generate the other cells e.g., erythrocytes, eosinophils, basophils and neutrophils.
  • reticulocyte = Young (immature/non-nucleated) erythrocytes prematurely released to blood from the bone marrow in regenerative anaemias.
  • reticulocytes contain a reticulum (a transient network of RNA and ribosomal remnants which differs tot eh permanent endoplasmic reticulum found in other cells) which contains RNA content, to identify the RNA component of these cells you need to stain with special stains…
    • new methylene blue
    • romanowsky stain
    • These cells look bigger, and darker in colour with a grey-bluish tint on normal staining
  • Cats have a low number of reticulocytes (0.2-1.6%) and these come in two morphological types…
    • 'aggregate' blue stained coarse clumping (0.5% of erythrocytes)
    • It takes longer for these to mature and become punctate cells
    • 'punctate'  small, blue stained dots (1-10%).
  • All polychromatophils are reticulocytes but not all reticulocytes are polychromatophils. Only the aggregate form are the ones that correspond to the polychromatophils.
  • Ruminants and horses have virtually no reticulocytes in normal blood and they may not even appear in very severe anaemias in horses. To assess the regenerative response in a horse you instead need to take a bone marrow sample.
    • In cattle peak production occurs 7-14 days post-acute blood loss
  • Number x volume = red cell mass
  • which species are being described, this species have smaller erythrocytes, anisocytosis and scarce central pallor?
    cats
  • which species is being described, this species have large erythrocytes that are uniform in size and have central pallor?
    dog
  • There are variations within dog breeds…
    • Macrocytosis (bigger erythrocytes) in some Poodles
    • Akitas have unusually small erythrocytes and a particularly high potassium content within them
    • If the separation of serum is delayed, the erythrocytes will release the potassium causing an artefactual worrying hyperkalaemia
    • Greyhounds have high PCVs (0.55-0.6 L/L)
  • Rouleaux formation occurs in inflammatory conditions or when there is an increase in globulins in the blood in small animals but is normal in horses.
  • which species are being described, these erythrocytes commonly display anisocytosis and creation?
    ruminants
  • fill in the blanks
    A) iron deficiency
    B) inflammation
    C) regenerative anaemia
    D) cell swelling
    E) lipaemia
    F) haemolysis
  • MCV measure what?
    cell size / volume
  •  MCV (fL) = mean corpuscular volume = PCV (L/L) X1000 / RBC count (10^12/L)
  • RBC sizes include…
    • Normocytosis
    • Normal range of RBC size
    • Macrocytosis
    • Larger RBCs occur in regenerative anaemia (haemorrhage and haemolysis), FeLV infections and myeloproliferative disease
    • It is a normal breed-related finding in poodles but can also be seen in damaged or aged samples due to the artefact from erythrocyte swelling
    • Microcytosis
    • Smaller RBCs occur with an iron deficiency
  • Red cell distribution width (RDW) is a numeric representation of the variability in RBC size, a normal result indicates a normal range of RBC sizes. An increased RDW indicates anisocytosis.
    • Anisocytosis = unusual large variation in RBC size e.g. large number of microcytes or macrocytes
  • Poikilocytosis is an alteration in cell shape and occurs due to abnormal erythropoiesis and specific organ dysfunction.
  • different cell shapes…
    • Codocytes (target cells)
    • Acanthocytes 'spur cells' - “Acantho-”: Thorn
    • Spherocytes
    • Schistocytes
    • Irregular, fragmented erythrocytes caused by mechanical trauma to circulating erythrocytes
    • Echinocyte 'Burr cells' occur when RBCs undergo crenation creating spiked projections of more uniform length.
    • Some are normal in ruminants and occasionally occur in dehydration
    • Mostly artefactual - anticoagulant exposure
    • Ghost cells (very pale erythrocytes) have been broken and are now devoid of haemoglobin due to a hole in their membrane
  • name the cell
    A) schistocyte
    B) acanthocyte
    C) echinocyte
  • Codocytes have a target/bullseye appearance, a central, hemoglobinized area surrounded by an area of pallor; the periphery of the cell contains a band of haemoglobin
    • Seen in iron deficiency anaemia, liver disease (abnormalities of lipid metabolism) with cholestasis and after splenectomy of dogs. However, they are often of little significance
  • Acanthocytes are rounded projections of variable diameter and length, unevenly distributed due to an increase in membrane cholesterol or in association with RBC fragmentation
    • Seen in diffuse liver disease, splenic haemangioma, hemangiosarcoma or portosystemic shunts.
    • A high-cholesterol diet could also play a role
  • Spherocytes are small, densely staining spherical RBCs which lack central pallor. Small portions of the cell membrane may have been phagocytosed by mononuclear phagocytes. Then the residual cellular tissue resumes the smallest shape possible, a sphere.
    • Presence implies that erythrocytes have surface-bound antibodies or complement as the macrophage has removed a piece of them. This can arise normally in age or can be pathological e.g., they are an indicator of immune-mediated haemolytic anaemia in dogs (mostly but not exclusively)
  • rouleaux formation = a string (or clustering) of sticky piling of red blood cells
  • agglutination = a 3d aggregate of cells
  • To confirm agglutination, mix 1 drop of blood with 4 drops of saline. Agglutination will persist, while a rouleaux formation will disperse
  • The common abnormal structures include…
    • Heinz bodies - (HgB) Oxidative damage
    • Basophilic stippling - sign of regeneration
    • Nucleated erythrocytes - sign of regeneration
    • Howell-Jolly Bodies - sign of regeneration
    • Infectious agents (parasites, bacteria, viral inclusions
  • what is shown below?
    heinz bodies
  • Multiple, small, dark blue, punctate aggregates in RBC = basophilic stipiling
  • Heinz bodies are irregular shaped, refractile inclusions consisting of oxidative denatured haemoglobin
    • They are more common in cats than in dogs as they are more prone to oxidative stress. Up to 10% of RBCs is normal cats but an increase that creates concern e.g., of CKD and lymphoma
    • increased numbers in paracetamol and onion toxicity and other oxidative compounds. In cats also commonly associated with diabetes mellitus, lymphoma and hyperthyroidism (but also wide range of other diseases)
  • Nucleated erythrocytes are released in cases of regenerative anaemia
    • Early release of RBCs from bone marrow and extra-medullary haematopoiesis sites in response to hypoxia
    • These can also occur due to the following without anaemia
    • Non-functioning spleen
    • Marrow damage
    • In cats, in absence of polychromasia, indication of myelodysplasia or myeloproliferative disease
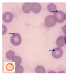
  • what is shown below?
    howell Jolly bodies
  • Howell-Jolly Bodies can be confused with Heinz body but these are internal and do not stain under the normal stain
  • Howell-Jolly Bodies are refractile, single dark blueish bodies in RBCs of variable size and represent nuclear remnants. They can occur due to…
    • Regenerative anaemia
    • Splenectomy
    • Suppressed splenic function
    • A higher percentage is seen in normal cats
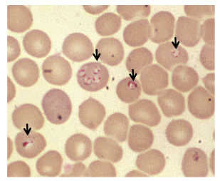
  • what infectious agent is this?
    babesia
  • Babesiosis is an intracellular tick born disease which is endemic in cattle. These are almost pear shaped inclusions which commonly occur in multiples. Uncomplicated or complicated forms:
    • Haemolytic anaemia
    • Systemic inflammatory response syndrome  (SIRS), Multiple organ disfunction syndrome (MODS)
  • Mycoplasma haemofelis (Haemobartonella felis) is highly pleomorphic, appearing as chains, discs or rods on the surface or embedded into RBC membranes
    • Worldwide distribution
    Heamobartonellosis or feline infectious anaemia has variable clinical signs including regenerative anaemia, pyrexia and malaise
  • HCT is the value that the analyser is giving via a calculation from MCV x RBCs while PCV is spined down and calculated as a percentage
  • fill in the blanks
    A) haemolysis
    B) lipaemia
    C) swelling
  • Packed cell volume (PCV (Hct)), red cell count (RBCC) and Hgb are three are measures of red cell mass and oxygen carrying capacity. These are usually interpreted as a block as they are all equally affected by haemoconcentration so. They will usually increase and decrease in line with one another.