Cards (41)

  • Macrophage in the tissue monocyte in the blood
  • Neutrophils are predominantly produced in the bone marrow but occasionally extramedullary haematopoiesis occurs (when the bone marrow isn't working or demand is too high) and they are made in the spleen, liver and other organs.
  •  
    Left shift = higher immature neutrophils
  • Right shift = higher mature neutrophils
  • In the proliferation and maturation stage the myeloblast becomes a progranulocyte and then a myelocyte. Once this has occurred, only maturation follows creating the metamyelocyte, the band neutrophil and finally the segmented neutrophil.
  • When in the circulation, neutrophils can be found in different locations.
    • Circulating pool - middle of the vessel
    • This is collected when taking a blood sample
    • Marginal - at the vessels walls which are prepared to exit quickly when needed
  • for neutrophils to leave the circulation, three steps must occur…
    • Marginalisation
    • Adhesion
    • Migration
  • various factors can produce a shift from marginal to circulating pool which can increase the number of neutrophils when analysing blood, this includes…
    • Epinephrine
    • Glucocorticoids
    • Infection
    • Stress
    • Acute phase proteins can be used alongside neutrophils to confirm if there is inflammation in the animal
  • If you have a normal neutrophil count but you still suspect an inflammatory disease, look at the blood smear and look for toxic changes. These toxic changes always indicates pathology.
  • Neutropoenia in the blood occurs when there is a very large neutrophil demand in a certain area e.g. start of a pyometra
    • Bone marrow hasn’t had time to respond
    Later on in the pyometra the bone marrow may have responded and cause a neutrophilia
    Also immediately after surgery for pyometra there may be a severe neutrophilia but this is because the bone marrow is still overproducing
    • The body hasn’t realised the problem is gone so can slow back down
  • Causes of neutrophilia include…
    • Inflammation
    • Infections (bacterial, viral, fungal, protozoal)
    • Immune mediated anaemia
    • Necrosis (including haemolysis,  sterile inflammation and FB’s)
    • (Inflammatory mediators must be able to get from lesion to circulation to reach marrow –think about superficial skin, LUTD, CNS)
    • Steroids
    • Stress
    • Steroid therapy
    • Hyperadrenocorticism
    • Physiological
    • Epinephrine
    • Fight or flight (excitement, fear, pain, exercise)
    • Chronic neutrophil leukaemia
    • Paraneoplastic (rectal polyp, renal tubular carcinoma, metastatic fibrosarcoma)
  • There are two cases where a left shift can occur
    • Something is stimulating the release of the precursor cells of the neutrophils
    • Examples include a chronic infection or inflammation, tumours, rebound from neutropoenia and myeloproliferative disorders
    • Something is stimulating the increase of release from the bone marrow storage pool of cells
    • Examples include endotoxemia, acute infection, hypoxia and glucocorticoids
  • A right shift is only caused by glucocorticoids and can produce hyper-segmented neutrophils (5 or more nuclear lobes) so are hyper mature. This occurs as glucocorticoids down-regulate adhesion molecules, less neutrophils leave the circulation to die, aged cells remain in circulation.
  • toxic change occurs due to rapid neutropoeisis which often occurs due to a severe bacterial infection but there are other possibilities. The neutrophils can be immature e.g., left shift and toxic change but not always as in some cases, toxic changes occur without a left shift as the body is dealing with a localised infection (so has not yet mobilized a large number of immature neutrophils).
    • Parvovirus, IMHA, ARF, DIC, neoplasia and can be induced by injecting G-CSF.
  • The main toxic changes are…
    • Toxic granulation - diffuse cytoplasmic basophilia
    • Increased segmented neutrophils with persistent cytoplasmic RNA
    • Dohle bodies
    • These are focal blue-grey cytoplasmic structures (RER/RNA)
    • They may be an isolated finding in some healthy cats
    • Cytoplasmic vacuoles
    • Foamy cytoplasm from dispersed organelles
    • Asynchronous nuclear maturation
    • Finely granular nuclear chromatin but in segments which can make the nucleus appear larger
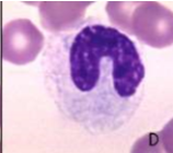
  • what type of neutrophil is shown below?
    normal mature neutrophil
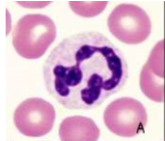
  • what type of neutrophil is shown below?
    toxic
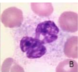
  • what type of neutrophil is shown below?
    band
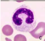
  • what type of neutrophil is shown below?
    toxic band
  • Normally matured segmented and late band neutrophils, have white cytoplasm with pink granules, long and fairly narrow nuclei and tightly condensed chromatin.
    Segmented and band neutrophils with toxic change have less condensed chromatin than their normal counterparts and bluer cytoplasm due to retention of ribosomal RNA. The cytoplasmic basophilia can be focal, streaked, or diffuse.
  • Many cells with toxic change are larger than normal and have frothy or vacuolated cytoplasm, which represents degranulation of lysosomes. Specific granules are less visible than in normally matured cells.
  • Causes of neutropoenia include…
    • Inflammation
    • Per-acute/overwhelming bacterial infections
    • Canine and feline parvo-virus
    • Decreased production
    • Infections: parvovirus, FeLV, toxoplasma
    • Toxicity: chemotherapy, oestrogen, chloramphenicol (cats)
    • Neoplasia: leukaemia, myelodysplastic, metastatic
    • Marrow necrosis
    • Myelofibrosis
    • Rare (often genetic)
    • Immune mediated neutropenia, Chediak-Higashi, acyclic haematopoiesis in grey collies, canine hereditary neutropenia
  • Neutropoenia in acute inflammation in the different species indicate different severities due to the differences in their bone marrow reserve of neutrophils…
    • In the dog or Cat = very severe lesion
    • In the horse = probable severe lesion
    • In the cow = neutropenia is typical in inflammation regardless of severity
  • Once lymphocytes have matured, they circulate continuously throughout the body, acting as sentries to sniff out any invading organism or object. In a naïve animal, encounter with antigen leads to the lymphocytes draining to the local lymph node to initiate an immune response. In a primed animal, immune responses can initiate at the local site of invasion.
  • Lymphocytes are typically small cells with a round nucleus and scant blue cytoplasm.
    • Sometimes confused with nucleated RBCs
    Dogs and cats have similar looking lymphocytes but there differences with horses and cows. These two species have larger lymphocytes with more cytoplasm with ruminants having more variability in their appearance
  • Reactive lymphocytes are larger cells (than those in the peripheral blood) with coarse (mature) chromatin, and deep blue cytoplasm. Lymphocytes with these characteristics are sometimes called immunocytes (or plasmacytoid lymphocytes) and are associated with an immune response (stimulation of T or B lymphocytes) e.g., after a viral infection
    • These are fairly common in the blood of young animals, especially ones that have been recently vaccinated.
  • reactive lymphocytes = an increase in cytoplasm, cytoplasmic basophilia and an eccentric cleaved nucleus. They have a perinuclear halo and prominent Golgi zone also
  • Another type of lymphocyte that is found in low number in healthy animals is the granular lymphocyte, these are distinguished by the presence of small pink granules collected into one area of the cytoplasm.
    • NOTE - Not all lymphocytes in blood smears are round. Some are distorted into other shapes by the mechanical forces applied to them during smearing and some are molded by contact with red cells.
  • lymphcytosis...
    • Physiological
    • Catecholamine mediated leading to a splenic contraction (especially in cats)
    • This can occur when a blood sample is taken
    • Chronic Inflammation
    • Chronic antigenic stimulation
    • May include reactive lymphocytes
    • Usually with neutrophilia and/or monocytosis (± eosinophilia)
    • Young animals and recent vaccination
    • Lymphoproliferative disorder (e.g. FeLV, BLV)
    • May be lymphopenia in lymphoma
    • Hypoadrenocorticism (Addison's)
    • Loss of normal level of lymphocyte inhibition by glucocorticoids
  • lymphopenia...
    • Stress/steroid (major cause)
    • Endogenous or exogenous glucocorticoids shifts lymphocytes out of circulation and causes lymphocytolysis
    • Acute inflammation
    • Bacterial, viral or endotoxemia causes migration of lymphocytes to inflamed tissue and homing to lymph nodes
    • Often with neutrophilia or neutropenia
    • Correction of lymphopenia provides a better prognosis
    • Loss of lymph e.g., Chylothorax (drainage) or lymphangiectasia
    • Cytotoxic drugs, radiation
    • Immunodeficiency syndrome
    • Lymphoma
    • Lymph node pathology and disrupted circulation
  • Monocytes are blood residents, they differentiate into macrophages when they enter tissues and take on a more spindle like appearance.
    • These cells are responsible for phagocytosis and result in  the release of immune mediators e.g. cytokines
    These cells are bigger than lymphocytes and the nucleus is variable in shape but typically symmetrical. They may have a “reactive” appearance similar to changes in lymphocytes or like “macrophages” in inflammation
    • When they become activated they develop vacuoles in the cytoplasm
  • causes of monocytosis are...
    • Inflammation
    • May imply “chronic”
    • Bacterial, fungal, protozoal
    • Necrosis: haemolysis, haemorrhage, neoplasia, infarction, trauma
    • Inconsistent finding (chronic but also acute inflammation)
    • Steroid/Stress
    • Glucocorticoids (occasionally ACTH)
    • Hyperadrenocorticism
    • Monocytic/myelomonocytic leukaemia
  • Eosinophils have an affinity for eosin, the red dye in the routine stain, so the granules typically appear pink to orange/red. The shape and size of these granules varies considerably between the species
    • Round and brighter in dogs
    • Horses have brighter larger round granulose
    • Cats have pale pink rod shaped ones
    • Grey eosinophils can occur in sighthounds where the granules are poor to non-staining and the cytoplasm often appears highly vacuolated
    • Often misinterpreted as toxic neutrophils or vacuolated monocytes
    Their nucleus is also less lobulated than neutrophils
  • causes of eosinophilia...
    • Hypersensitivity (most common)
    • Parasitism (most common)
    • Hypoadrenocorticism
    • Paraneoplastic (e.g., mast cell tumours but also others)
    • Idiopathic eosinophilic syndromes e.g., canine eosinophilic broncho pneumopathy, myositis, feline eosinophilic granuloma
    • Eosinophilic leukaemia (very rare)
  • Eosinopenia can be caused by glucocorticoids, stress, inflammation however it is rarely noted as many reference intervals include “0”
  • name the species eosinophil
    A) canine
    B) feline
    C) equine
    D) bovine
  • basophils are extremely rare as they traffic from blood to tissue
    • will almost never be found on blood smears (especially in dogs and cats).
    These cells have dense blue granules within the cytoplasm and their lobes are not so well defined
  • Nucleated red blood cells can be present in moderate numbers in regenerative anaemias and lead toxicity
    • EMH and splenic contraction, damaged marrow
    They are present in inappropriately high numbers in erythroleukemia (erythemic myelosis; cats)
    • Manual and automated counting methods  for total WBCs that count nuclei in lysed samples, will need WBCs correcting for nRBC’s
  • fill in the blanks
    A) excitement
    B) stress or steroids