Cards (18)

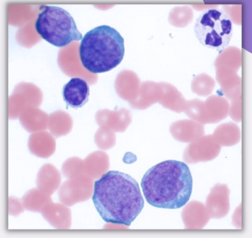
  • Acute leukemia has large/blastic cells on cytology and the patient appears sick
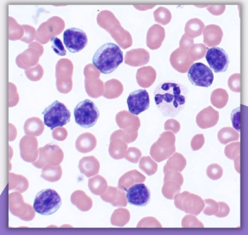
  • chronic lymphocytic leukaemia has small lymphocytes on cytology and may be an incidental finding
  • whats the diagnosis?
    acute leukemia
  • whats the diagnosis?
    chronic lymphocytic leukemia
  • Leukaemia = A neoplastic condition of the bone marrow in which neoplastic cells of lymphoid or non-lymphoid stem cells or their progeny undergo clonal expansion with or without cellular differentiation
  • Clinical signs of leukaemia are due to...
    • Failure of normal marrow function
    • Infiltrated organ dysfunction
    • Hyperviscosity
    • Paraneoplastic syndromes (e.g., IMHA, hypercalcaemia)
  • is cytopenia common in acute or chronic leukaemia?
    acute
  • in acute leukaemia, neoplastic transformation occurs during stem cell proliferation leading to large numbers of immature / undifferentiated cells causing an aggressive and rapid disease
  • in chronic leukaemia, neoplastic transformation occurs after differentiation giving rise to a large number of mature differentiated cells. this disease has a slow progression and is less aggressive
  • ALL = acute lymphoid leukaemia
  • AML = acute myeloid leukaemia
  • acute myeloid leukaemia is more common than acute lymphoid leukaemia (dogs and cats)
  • Acute leukaemia morphology is hard to differentiate between so if we want to know what type of leukaemia we need...
    • Immunophenotyping
    • [Cytochemistry]
    • Clonality testing (PARR)
  • what is the diagnosis and prognosis?
    acute leukaemia - bad prognosis
  • what neoplasm can mimick acute leukaemia?
    lymphoma
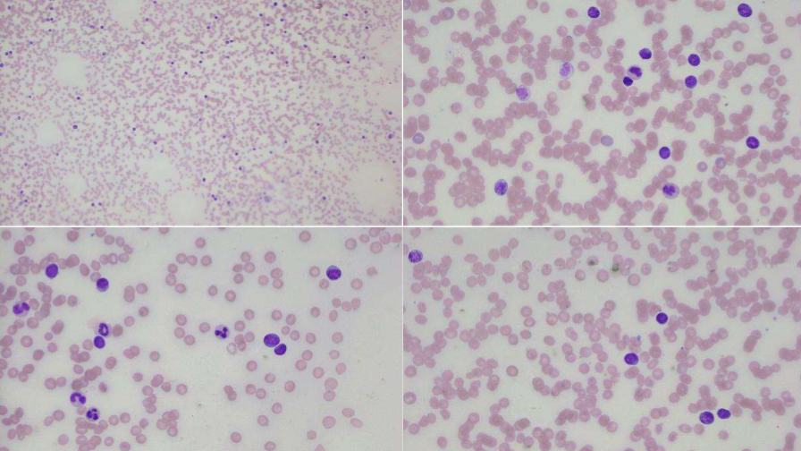
  • what is the diagnosis, on haematology there were high WBC, lymphocytes and platelets?
    chronic lymphocytic leukaemia
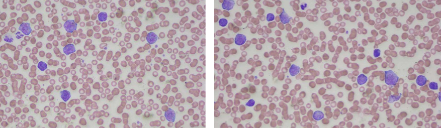
  • fill in the blanks
    A) acute myeloid
    B) acute lymphoid
    C) lymphoma
  • Lymphoid leukaemia arises from marrow but extra-medullary lymphoma may enter the circulation and infiltrate the bone marrow (stage V)