Cards (78)

  • Anaemia  = a decreased haematocrit (HCT/Hct)/ packed cell volume (PCV) or haemoglobin (Hb). 
  • Haematocrit = A calculated value from the mean cell volume, red blood cell [RBC] count, and haemoglobin concentration provided by automated analysers.
    • Hct can be affected by machine errors.
    • HCT = (MCV x RBC count) + 10
  • PCV = A directly measured value measured as a percentage of packed red cells in blood volume.
  • Signs include: 
    • Inadequate perfusion/ oxygenation
    • Pale mucous membranes (severe cases)
    • Altered CRT
    • Cool extremities due to vasoconstriction
    • Lethargy, exercise intolerance (sits down on a walk or can collapse depending on how much exercise they normally do)
    • Compensatory mechanisms for the poor circulation and oxygenation
    • Tachypnoea, tachycardia
    • Other signs
    • Poor pulse quality
    • Haemic/Flow heart murmur (due to the altered viscosity of blood)
    • Signs related to underlying pathology
    • Splenomegaly, lymphadenopathy, pain, pica, icterus, melaena (indicated GIT blood loss)
  • Anaemia is confirmed by reduced PCV/HCT. Total protein (TP) is a useful adjunct as it allows combined assessment with HCT/PCV to give an indication of hydration status. A good example to illustrate this point might be a dog with a HCT at the very bottom of the normal range who also has tacky mucous membranes and an elevated TP (both suggesting dehydration)
  • apparent non-pathological causes of anaemia are...
    • Splenic relaxation (anaesthetic agents, tranquilizers) due to sequestration of RBC in the spleen (up to 30% of RBC may be sequestered in the spleen).
    • Young animals
    • Overhydration (dilution of RBCs to falsely lower the PCV/HCT)
  • Young animals frequently have physiologic anaemia due to rapid growth rate with haemodilution from plasma volume expansion, dilutional from ingested colostrum, destruction of foetal RBC and decreased production due to low erythropoietin concentrations
    • This is present in the first few months of life (generally < 4 months old)
    • They also have an increased ALP as ALP also comes from bone and these animals are growing
  • actual causes of anaemia are...
    • RBC loss - Haemorrhage due to trauma or coagulopathy
    • Internally eg GIT, parasites, pulmonary, abdominal cavity etc
    • Externally eg wounds, epistaxis
    • RBC destruction eg haemolysis
    • This has lots of causes eg Toxicity, infection, immune-mediated, mechanical damage etc
    • Reduced RBC production by the bone marrow
    • Genetic, immune-mediated, infectious chronic disease/inflammation, nutritional deficiencies (iron-deficiency anaemia), myelodysplasia.
  • reference range for a PCV in a dog?
    35 - 55%
  • what is the reference range for PCV in a cat?
    25 - 45%
  • The severity of anaemia typically refers to how low the HCT/PCV has dropped below the reference range but there is no set “grading”r. The challenge is that proportionate drops in HCT/PCV do not relate to clinical conditions. While a severely anaemic animal is more likely to have clinical signs than one with mild anaemia, speed of onset and concurrent disease processes (infection, inflammation, organ damage) will also play a large part in the signs that we see. As a result, there is not a linear relationship between the severity of HCT/PCV reduction and clinical condition.
  • We can categorise RBCs by size, colour, shape and cellular contents. 
    • Mean corpuscular volume (MCV) = average RBC size
    • So will change if large/small RBCs are present
    • Mean corpuscular haemoglobin concentration (MCHC) = the amount of haemoglobin in RBCs
    • This will change dependent on absolute amount of Hb but it is also is affected by cell volume
    MCV and MCHC together allow us to categorise anaemia on the basis of cell volume and haemoglobin concentration.
  • Normocytic = MCV within the reference interval.
  • Microcytic = Small cells; MCV below the reference interval.
  • Macrocytic = MCV above the reference interval.
  • Polychromatic = Lots of colours / many colours; there is variability of RBC colour.  
  • Normochromic = MCHC within the reference interval.
  • Hypochromic = Lighter in colour / less colour; MCHC below the reference interval
  • fill in the blanks
    A) blood loss
    B) haemolysis
    C) intra-marrow
    D) extra-marrow
  • The bone marrow takes 3 - 5 days to respond to anaemia so acute conditions may initially appear non-regenerative. 
  • Main indicators of regeneration are immature, anucleate RBCs (reticulocytes) and anisocytosis (variable size of RBCs)
  • reticulocytes are typically large and have less Hb than mature RBCs so regenerative anaemia is often described as macrocytic (high MCV) and hypochromic (low MCHC).
    • This results in an increased red cell distribution width (RDW) a term we also call anisocytosis when we see it on a slide. 
  • Non-specific RBC indicators that are more common in regenerative anaemias:
    • Increased numbers of nucleated RBCs (nRBC)
    • Basophilic stippling
    • These are blue dots in the cytoplasm of RBCs which correspond to ribosomes/polyribosomes that would normally not be present in mature RBCs.
    • Howell-Jolly bodies
    • Remnants of nuclear material from when RBCs change from nucleated to non-nucleated in the maturation process.
    • Increased numbers of Heinz Bodies
  • Clumps of damaged haemoglobin attached to RBCs are typically formed during oxidation after exposure to a toxin. Heinz bodies can trigger RBC destruction (haemolysis).
  • fill in the blanks
    A) immune-mediated haemolysis
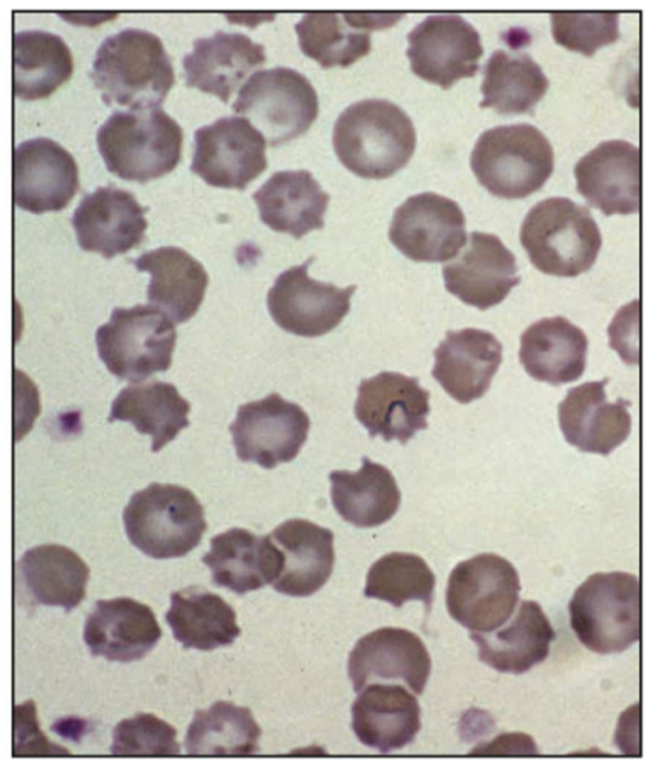
    B) schistocytes
    C) azotaemia
    • The presence of increased numbers of WBCs and/or abnormal WBCs may suggest inflammatory or neoplastic processes causing, or concurrent with, the anaemia.
    • For example, pronounced neutrophilia may make bacterial infection more likely, whereas abnormal circulating lymphocytes would be more suggestive of neoplasia.  
    • IMHA is very commonly accompanied by a moderate-severe leucocytosis (typically neutrophilia with left shift), even in primary/idiopathic cases. 
  • what cell is present?
    schistocytes
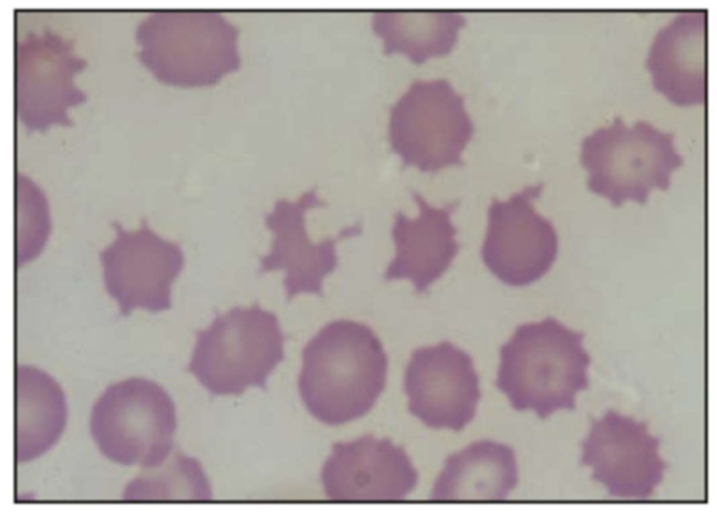
  • what cell is present?
    echinocytes and keratocytes
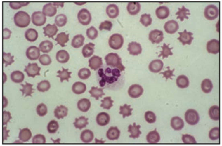
  • what cell is present?
    acanthocytes
  • In the case of acute bleeding, there may be no change in PCV to begin with. Whole blood is lost and so the “percentage” of RBCs (the PCV) of what remains will not immediately change. Hypovolaemia without a reduced PCV may result acutely. As the body attempts to compensate, the spleen will contract to release some of its RBC store and as a result the PCV may still not drop despite haemorrhage. Over a period of hours to days (depending upon the severity of the bleed), the PCV will become more representative of what has been lost.
  • Immune-mediated haemolytic anaemia (IMHA) is one of the most common causes of haemolysis and can causes intravascular and extravascular destruction of RBCs via a T2 (antibody-dependent cytotoxicity) mechanism. This reaction might be triggered by lots of inciting factors…
    • Reaction to normal self-antigen (Ag)
    • Primary immune system dysfunction and loss of tolerance
    • Antigen exposed due to cell damage
    • Similarity between self Ag and foreign Ag (eg infectious agent or drug)
    • Reaction to infectious agents bound to cell surface
    • Reaction to non-biologic Ag bound to cell surface (eg drug, toxin)
  • Intravascular haemolysis is often much more severe and acute for the animal. 
  • Tests that directly indicate IMHA are…
    • Autoagglutination, Slide agglutination test  
    • 1 drop EDTA blood + 1 drop saline
    • Indicates that RBCs are clumping together (agglutinating) due to the presence of antibodies, and differentiates Rouleaux formation. 
    • Coombe’s Test (aka the Direct Antibody Test, DAT)
    • Identifies antibody or complement attached to RBCs. 
    • Will detect some cases of IMHA which are not positive on the slide agglutination test but sensitivity still only 60-90%.  
  • In the case of haemolysis, there may be a range of indicators in the haematology examination and also in your clinical examination…
    • Clinical signs associated with an increase in haemoglobin catabolism: Hemoglobinemia, Haemoglobinuria, Icterus, jaundice
    • signs of systemic illness related to an underlying disease process
    • Spherocytes
    • Neutrophilia with left shift. 
    • Leucocytosis in some dogs 
    • Thrombocytopenia (IMTP) (in Evans syndrome.)
    • Presence of RBC parasites
    • Indicators of regeneration e.g., increased numbers of reticulocytes, basophilic stippling and Howell Jolly bodies
  • icteric serum will occur when serum bilirubin levels exceed 20mmol/L. By comparison, icteric tissues often won’t be seen until serum bilirubin levels exceed 50 mmol/L
  • name three extra marrow causes of non-regenerative anaemia
    excessive oestrogen, FeLV and chronic kidney disease
  • anaemia of inflammation is usually normocytic and normochromic
  • The hormone and acute phase protein, hepcidin, is critically involved in anaemia of inflammation. It is made in the liver and is increased in states of inflammation. It acts on iron transporters to reduce the ability of cells to move iron out of cells. The effect is to reduce dietary absorption of iron and also reduce the release of stored iron, resulting in a functional iron deficiency.  
    • Inflammation can also contribute to anaemia via other mechanisms such as decreased erythrocyte survival times and suppression of erythropoiesis by inflammatory cytokines.
  • True iron deficiency (aka absolute iron deficiency) occurs most commonly because of chronic haemorrhage, and
    thus loss of iron-rich haemoglobin. It can be regenerative or nonregenerative but is classically microcytic and hypochromic.
  • Non-regenerative anaemia is considered a complication of CKD. The main mechanism is that erythropoietin production is reduced in advanced renal disease. However, the presence of inflammation, uraemic toxins and also the reduced urinary excretion of hepcidin may also add to the problem.