pathology of the lymphoid system

Cards (38)

  • Primary lymphoid organs are sites of lymphocyte development and include the thymus, bone marrow, bursa of Fabricius (birds) and Peyer's patches.
  • Secondary lymphoid organs are sites where the lymphocytes respond to antigens and include the tonsils, spleen, lymph nodes and lymph nodules (e.g. MALT) but also the Peyer's patches and bone marrow.
  • in Primary lymphoid organs B and T lymphocytes proliferate, differentiate and mature. In mammals, lymphocytes originate from stem cells in the bone marrow, then B lymphocytes typically continue to develop at this site; progenitor T cells migrate from bone marrow to mature and undergo selection in the thymus.
  • Secondary lymphoid organs are responsible for the immune responses to antigen (i.e. production of antibodies and cell-mediated immune reaction); they are organised to concentrate antigens, antigen-presenting cells and lymphocytes in a way that helps interaction
  • Lymphocytes can only leave via high endothelial venues
  • Lymphoid cells may move from tissue to lymph nodes via the afferent lymph and may subsequently leave that lymph node in the efferent lymphatic vessel. The efferent lymphatic vessel discharges into the common thoracic duct, which in turn drains into the blood circulation.
  • High endothelial venues (HEV) create specialised cuboidal endothelial cells that facilitate receptor-mediated transmigration of lymphocytes from the blood. This is important for the spleen as it has no lymphatic drainage.
  • The lymphatic vasculature consists of afferent lymphatic vessels, which pierce the capsule and drain into the subcapsular sinus. Lymph continues to drain through the trabecular sinuses to the medullary sinuses and finally exits at the hilus via efferent lymphatic vessels.
  • Each lymph node drains specific areas of the body and therefore if we only have one enlarged lymph node we want to check if there is something in the draining area that can justify the lymphadenomegaly. Sometimes multiple lymph nodes are enlarged and therefore we need to search for a systemic cause of this enlargement (rather than a localised cause).
  • name the lymph node
    A) submandibular
    B) parotid
    C) axillary
    D) popliteal
  • fill in the blanks
    A) normal
    B) reactive hyperplasia
  • The lymph node is a heterogeneous tissue, and multiple areas within the node should be sampled to be certain that what has been obtained is representative.
  • When sampling LNs…
    • Avoid aspiration of the centre of markedly enlarged lymph nodes (often necrotic or have areas of haemorrhage)
    • Spread gently as lymphocytes are fragile cells
    • Use a non-suction technique to minimise blood contamination - just move the needle gentle no need for a syringe
    • Keep cytologic preparations away from formalin fumes - especially if sending off as will affect the staining
    • Ideally take sample before giving steroids as this can affect a lymphoma diagnosis
    • Sample multiple LNs is there is multiple lymphadenomegaly
  • what can be shown in this image?
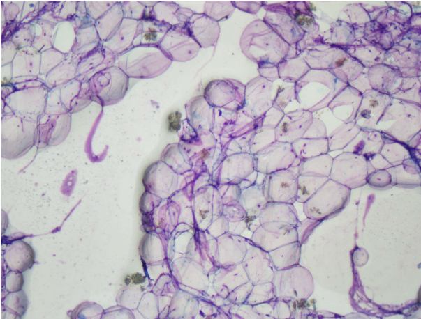
    fat
  • Sometimes you can think the submandibular lymph nodes are enlarged but when you sample them you may realise it was the salivary gland (clusters of epithelial cells, a row of erythrocytes on a foamy background) you were palpating!
  • where is this sample from?
    the salivary gland
  • There are four causes of lymphadenopathy…
    • Reactive hyperplasia
    • Lymphoma
    • Metastatic neoplasia
    • Lymphadenitis
  • what is the diagnosis?
    eosinophilic lymphadenitis
  • what is the diagnosis?
    neutrophilic lymphadenitis
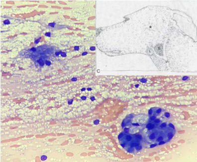
  • which lymph nodes are commonly affected first in lymphoma?
    retromandibular
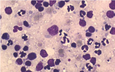
  • Lymphadenitis is the accumulation of inflammatory cells and there are four types…
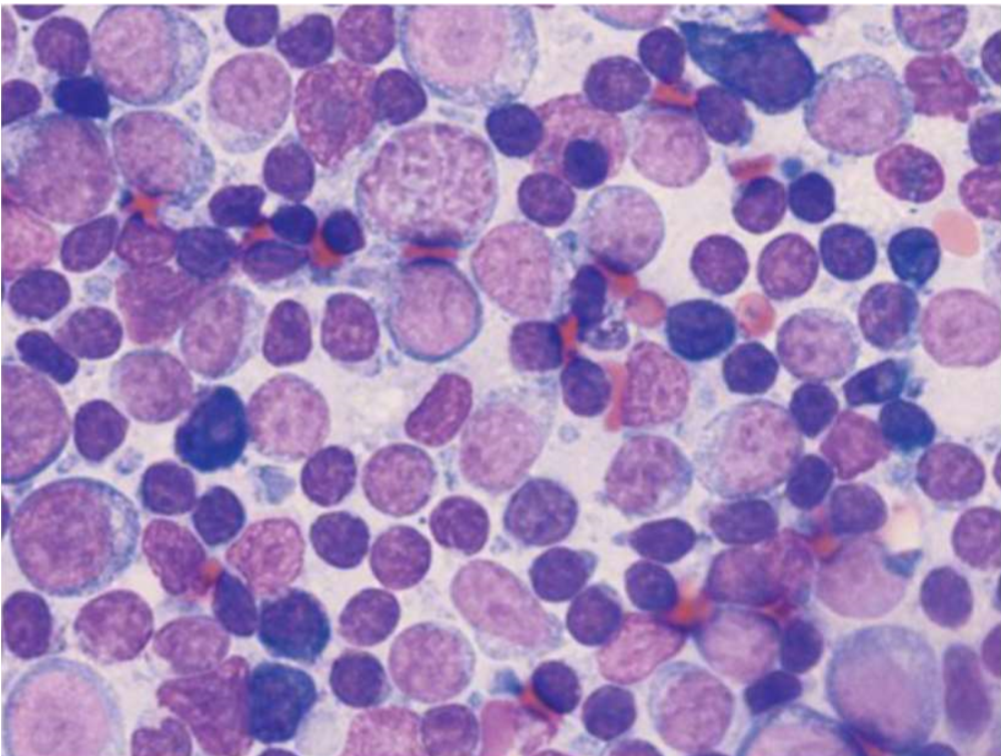
    • Neutrophilic lymphadenitis mainly consists of neutrophils and is due to bacterial, immune-mediated and neoplastic causes
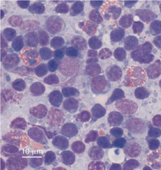
    • Eosinophilic lymphadenitis
    • Macrophagic/granulomatous lymphadenitis
  • Eosinophilic lymphadenitis mainly consists of eosinophils and is due to hypersensitivity reactions, parasites, idiopathic, paraneoplastic (e.g. mast cell tumour, lymphoma) causes
  • Macrophagic/granulomatous lymphadenitis consists of mostly macrophages or can get neutrophils + macrophages in a pyogranulomatous form. These are caused by chronic inflammatory conditions (e.g. fungal infection, mycobacteriosis, leishmaniasis, FIP)
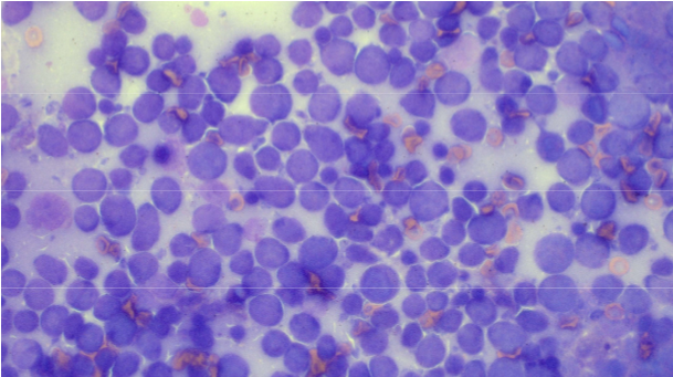
  • what is the diagnosis?
    lymphoma
  • Neoplasia of the lymphocytes in bone marrow and/or blood. It is a heterogeneous disease, several subtypes are present depending on…
    • The anatomic site (e.g. multicentric, GI, cutaneous)
    • Location of neoplastic cells within the lymph node (e.g. diffuse, follicular, T zone)
    • Cell morphology (small, large, granular)
    • Cell type (T-cell, B-cell, NK)
    • Biological behaviour (indolent, aggressive)
    The subtype is related to prognosis and treatment so identifying the subtype is important. Cytology can be used for diagnosis and staging.
  • Reactive hyperplasia can be localised or systemic. This is often secondary to an antigenic stimulation which can be due to..
    • Infection e.g. dental disease affecting the submandibular LNs
    • Immune-mediated disease (systemic lymphadenopathy)
    • Neoplasia
    • Vaccination
  • what is the diagnosis?
    reactive hyperplasia
  • Cytologically, reactive hyperplasia can be indistinguishable from a normal lymph node as they have a heterogeneous cell population with predominantly small lymphocytes. you may see increase in intermediate and large lymphocytes (up to 15-20%) and may also see increased numbers of plasma cells (up to 5-10%)
    • There are the occasional macrophages (~ 2%) with very few neutrophils, eosinophils and mast cells
  • which cell type in lymphoma has the better prognosis?
    B
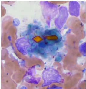
  • Haematomas are benign lesions and can be identified by the presence of blood and haemoglobin break down products (haemosiderin - the blue bit blue, haematodin - the yellow and rhomboid part). This indicates there has been some haemorrhage.
  • The thymus is a primary lymphoid organ (a site of development for T lymphocytes) and is located in the cranial mediastinum. It is prominent before puberty and is then replaced by adipose tissue - it doesn’t disappear entirely but is almost impossible to see.
  • The steps of diagnosis for a thymoma are…
    • Imaging
    • Cytology +/-flow cytometry
    • Flow cytometry, CD4+ and CD8+ lymphocytes indicate a thymoma rather than a lymphoma
    • Histopathology for a definitive diagnosis
    • Paraneoplastic syndrome presence - hypercalcaemia, myasthenia gravis
    • Gives a hint of a neoplastic cause rather than an infectious.
    • Myasthenia gravis is more important regarding thymomas
  • how do you treat lymphoma?
    chemotherapy
  • how do you treat thymoma?
    surgical
  • thymomas contain epithelial cells, small lymphocytes and occasional mast cells on cytology
  • The spleen's structure includes…
    • A capsule
    • Rich in elastic fibres and smooth muscle. Contraction can release blood (from the reservoir in the red pulp) into the circulation for example, in response to acute blood loss.
    • Red pulp
    • A reservoir of blood that can filter for senescent or damages erythrocytes (via macrophages).
    • Also the site of iron metabolism
    • White pulp
    • Splenic lymphoid tissue consisting of antigen presenting cells, macrophages, B and T lymphocytes. This provides immunity against bloodborne antigens
  • There are 5 causes of splenomegaly…
    • Reactive hyperplasia
    • Lymphoma
    • Splenitis
    • Metastatic neoplasia
    • Extramedullary haematopoiesis - can appear as a nodule
  • label the image
    A) trabecualr
    B) red
    C) white
    D) capsule